Antibody data
- Antibody Data
- Antigen structure
- References [0]
- Comments [0]
- Validations
- Western blot [2]
- Immunohistochemistry [1]
Submit
Validation data
Reference
Comment
Report error
- Product number
- AP50926PU-N - Provider product page

- Provider
- Acris Antibodies GmbH
- Proper citation
- Acris Antibodies GmbH Cat#AP50926PU-N, RRID:AB_11147411
- Product name
- anti CIRBP (C-term)
- Antibody type
- Polyclonal
- Antigen
- KLH conjugated synthetic peptide selected from the C-terminal region of human CIRBP
- Reactivity
- Human
- Host
- Rabbit
- Vial size
- 0.4 ml
- Concentration
- lot specific
No comments: Submit comment
Supportive validation
- Submitted by
- Acris Antibodies GmbH (provider)
- Main image

- Experimental details
- Western blot analysis of CIRBP (arrow) using rabbit polyclonal CIRBP Antibody (C-term) (Cat. #AP50926PU-N). 293 cell lysates (2 µg/lane) either nontransfected (Lane 1) or transiently transfected (Lane 2) with the CIRBP gene.
- Submitted by
- Acris Antibodies GmbH (provider)
- Main image

- Experimental details
- Western blot analysis of CIRBP Antibody (C-term) (Cat. #AP50926PU-N) in Y79 cell line lysates (35µg/lane). CIRBP (arrow) was detected using the purified Pab.
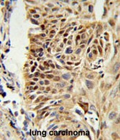
Supportive validation
- Submitted by
- Acris Antibodies GmbH (provider)
- Main image

- Experimental details
- CIRBP Antibody (C-term) (Cat. #AP50926PU-N) IHC analysis in formalin fixed and paraffin embedded human lung carcinoma followed by peroxidase conjugation of the secondary antibody and DAB staining. This data demonstrates the use of the CIRBP Antibody (C-term) for immunohistochemistry. Clinical relevance has not been evaluated.