Antibody data
- Antibody Data
- Antigen structure
- References [0]
- Comments [0]
- Validations
- Immunohistochemistry [2]
Submit
Validation data
Reference
Comment
Report error
- Product number
- PA5-68394 - Provider product page

- Provider
- Invitrogen Antibodies
- Product name
- CECR6 Polyclonal Antibody
- Antibody type
- Polyclonal
- Antigen
- Synthetic peptide
- Reactivity
- Human
- Host
- Rabbit
- Isotype
- IgG
- Vial size
- 100 μL
- Concentration
- 0.8 mg/mL
- Storage
- -20°C
No comments: Submit comment
Supportive validation
- Submitted by
- Invitrogen Antibodies (provider)
- Main image

- Experimental details
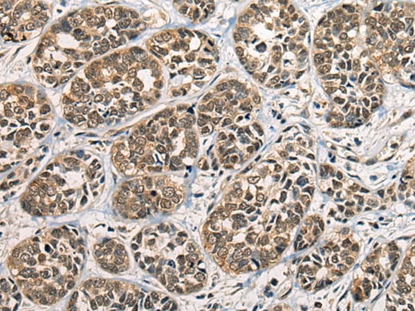
- Immunohistochemical analysis of CECR6 in paraffin-embedded Human lung cancer tissue using (left) CECR6 Polyclonal Antibody (Product # PA5-68394) at a 1:20 dilution and (right) is treated with synthetic peptide. (Original magnification: x200).
- Submitted by
- Invitrogen Antibodies (provider)
- Main image

- Experimental details
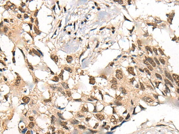
- Immunohistochemical analysis of CECR6 in paraffin-embedded Human esophagus cancer tissue using (left) CECR6 Polyclonal Antibody (Product # PA5-68394) at a 1:20 dilution and (right) is treated with synthetic peptide. (Original magnification: x200).