Antibody data
- Antibody Data
- Antigen structure
- References [0]
- Comments [0]
- Validations
- Western blot [1]
- Immunohistochemistry [5]
Submit
Validation data
Reference
Comment
Report error
- Product number
- LS-C781790 - Provider product page

- Provider
- LSBio
- Product name
- ABR Antibody LS-C781790
- Antibody type
- Polyclonal
- Description
- Antigen Affinity purification
- Reactivity
- Human, Mouse, Rat
- Host
- Rabbit
- Isotype
- IgG
- Storage
- Store at 4°C. After reconstitution, store at 4°C for up to 1 month. Long-term: aliquot and store at -20°C. Avoid freeze-thaw cycles.
No comments: Submit comment
Enhanced validation
- Submitted by
- LSBio (provider)
- Enhanced method
- Genetic validation
- Main image

- Experimental details
- Western blot testing of 1) rat brain and 2) mouse brain lysate with ABR antibody at 0.5ug/ml. Predicted molecular weight ~98 kDa.
Supportive validation
- Submitted by
- LSBio (provider)
- Enhanced method
- Genetic validation
- Main image

- Experimental details
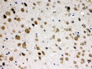
- IHC testing of FFPE mouse brain with ABR antibody at 1ug/ml. HIER: steam in pH6 citrate buffer and allow to cool prior to staining.
- Submitted by
- LSBio (provider)
- Enhanced method
- Genetic validation
- Main image

- Experimental details
- IHC testing of FFPE rat brain with ABR antibody at 1ug/ml. HIER: steam in pH6 citrate buffer and allow to cool prior to staining.
- Submitted by
- LSBio (provider)
- Main image

- Experimental details
- IHC testing of FFPE human breast cancer tissue with ABR antibody at 1ug/ml. HIER: steam in pH6 citrate buffer and allow to cool prior to staining.
- Submitted by
- LSBio (provider)
- Main image

- Experimental details
- IHC testing of FFPE mouse brain with ABR antibody at 1ug/ml. HIER: steam in pH6 citrate buffer and allow to cool prior to staining.
- Submitted by
- LSBio (provider)
- Main image

- Experimental details
- IHC testing of FFPE rat brain with ABR antibody at 1ug/ml. HIER: steam in pH6 citrate buffer and allow to cool prior to staining.