Antibody data
- Antibody Data
- Antigen structure
- References [1]
- Comments [0]
- Validations
- Western blot [1]
- Immunohistochemistry [5]
Submit
Validation data
Reference
Comment
Report error
- Product number
- NBP1-87581 - Provider product page

- Provider
- Novus Biologicals
- Proper citation
- Novus Cat#NBP1-87581, RRID:AB_11007009
- Product name
- Rabbit Polyclonal SI Sucrase-Isomaltase Antibody
- Antibody type
- Polyclonal
- Description
- Immunogen affinity purified. Specificity of human SI Sucrase-Isomaltase antibody verified on a Protein Array containing target protein plus 383 other non-specific proteins.
- Reactivity
- Human
- Host
- Rabbit
- Isotype
- IgG
- Vial size
- 0.1 ml
- Storage
- Store at 4C short term. Aliquot and store at -20C long term. Avoid freeze-thaw cycles.
Submitted references Rab25 regulates integrin expression in polarized colonic epithelial cells.
Krishnan M, Lapierre LA, Knowles BC, Goldenring JR
Molecular biology of the cell 2013 Mar;24(6):818-31
Molecular biology of the cell 2013 Mar;24(6):818-31
No comments: Submit comment
Supportive validation
- Submitted by
- Novus Biologicals (provider)
- Main image

- Experimental details
- Western Blot: SI Sucrase-Isomaltase Antibody [NBP1-87581] - Analysis in human small intestine tissue.
Supportive validation
- Submitted by
- Novus Biologicals (provider)
- Main image

- Experimental details
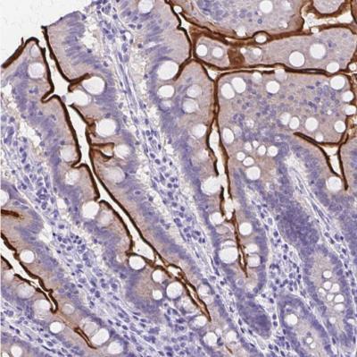
- Immunohistochemistry-Paraffin: SI Sucrase-Isomaltase Antibody [NBP1-87581] - Staining of human small intestine shows moderate to strong membranous positivity in glandular cells.
- Submitted by
- Novus Biologicals (provider)
- Main image

- Experimental details
- Immunohistochemistry-Paraffin: SI Sucrase-Isomaltase Antibody [NBP1-87581] - Staining of human duodenum shows moderate to strong membranous positivity in glandular cells.
- Submitted by
- Novus Biologicals (provider)
- Main image

- Experimental details
- Immunohistochemistry-Paraffin: SI Sucrase-Isomaltase Antibody [NBP1-87581] - Analysis in human small intestine and stomach tissues. Corresponding SI RNA-seq data are presented for the same tissues.
- Submitted by
- Novus Biologicals (provider)
- Main image

- Experimental details
- Immunohistochemistry-Paraffin: SI Sucrase-Isomaltase Antibody [NBP1-87581] - Staining of human colon shows no positivity in glandular cells as expected.
- Submitted by
- Novus Biologicals (provider)
- Main image

- Experimental details
- Immunohistochemistry-Paraffin: SI Sucrase-Isomaltase Antibody [NBP1-87581] - Staining of human stomach shows no positivity in glandular cells as expected.