Antibody data
- Antibody Data
- Antigen structure
- References [6]
- Comments [0]
- Validations
- Western blot [1]
- Immunocytochemistry [1]
- Immunohistochemistry [2]
Submit
Validation data
Reference
Comment
Report error
- Product number
- 14957-1-AP - Provider product page

- Provider
- Proteintech Group
- Proper citation
- Proteintech Cat#14957-1-AP, RRID:AB_2180163
- Product name
- RPS15 antibody
- Antibody type
- Polyclonal
- Description
- RPS15 antibody (Cat. #14957-1-AP) is a rabbit polyclonal antibody that shows reactivity with human, mouse, rat and has been validated for the following applications: IF, IHC, WB,ELISA.
- Reactivity
- Human, Mouse, Rat
- Host
- Rabbit
- Conjugate
- Unconjugated
- Isotype
- IgG
- Vial size
- 20ul, 150ul
Submitted references An artificial intelligence network-guided signature for predicting outcome and immunotherapy response in lung adenocarcinoma patients based on 26 machine learning algorithms.
TIAR and FMRP shape pro-survival nascent proteome of leukemia cells in the bone marrow microenvironment.
The molecular basis of coupling between poly(A)-tail length and translational efficiency.
FKBP10 Regulates Protein Translation to Sustain Lung Cancer Growth.
The unfolded protein response and endoplasmic reticulum protein targeting machineries converge on the stress sensor IRE1.
RPL10L Is Required for Male Meiotic Division by Compensating for RPL10 during Meiotic Sex Chromosome Inactivation in Mice.
Zhang N, Zhang H, Liu Z, Dai Z, Wu W, Zhou R, Li S, Wang Z, Liang X, Wen J, Zhang X, Zhang B, Ouyang S, Zhang J, Luo P, Li X, Cheng Q
Cell proliferation 2023 Apr;56(4):e13409
Cell proliferation 2023 Apr;56(4):e13409
TIAR and FMRP shape pro-survival nascent proteome of leukemia cells in the bone marrow microenvironment.
Wolczyk M, Serwa R, Kominek A, Klejman A, Milek J, Chwałek M, Turos-Korgul L, Charzyńska A, Dabrowski M, Dziembowska M, Skorski T, Piwocka K, Podszywalow-Bartnicka P
iScience 2023 Apr 21;26(4):106543
iScience 2023 Apr 21;26(4):106543
The molecular basis of coupling between poly(A)-tail length and translational efficiency.
Xiang K, Bartel DP
eLife 2021 Jul 2;10
eLife 2021 Jul 2;10
FKBP10 Regulates Protein Translation to Sustain Lung Cancer Growth.
Ramadori G, Ioris RM, Villanyi Z, Firnkes R, Panasenko OO, Allen G, Konstantinidou G, Aras E, Brenachot X, Biscotti T, Charollais A, Luchetti M, Bezrukov F, Santinelli A, Samad M, Baldi P, Collart MA, Coppari R
Cell reports 2020 Mar 17;30(11):3851-3863.e6
Cell reports 2020 Mar 17;30(11):3851-3863.e6
The unfolded protein response and endoplasmic reticulum protein targeting machineries converge on the stress sensor IRE1.
Acosta-Alvear D, Karagöz GE, Fröhlich F, Li H, Walther TC, Walter P
eLife 2018 Dec 24;7
eLife 2018 Dec 24;7
RPL10L Is Required for Male Meiotic Division by Compensating for RPL10 during Meiotic Sex Chromosome Inactivation in Mice.
Jiang L, Li T, Zhang X, Zhang B, Yu C, Li Y, Fan S, Jiang X, Khan T, Hao Q, Xu P, Nadano D, Huleihel M, Lunenfeld E, Wang PJ, Zhang Y, Shi Q
Current biology : CB 2017 May 22;27(10):1498-1505.e6
Current biology : CB 2017 May 22;27(10):1498-1505.e6
No comments: Submit comment
Supportive validation
- Submitted by
- Proteintech Group (provider)
- Main image

- Experimental details
- human liver tissue were subjected to SDS PAGE followed by western blot with 14957-1-AP(RPS15 antibody) at dilution of 1:500
- Sample type
- tissue
Supportive validation
- Submitted by
- Proteintech Group (provider)
- Main image

- Experimental details
- Immunofluorescent analysis of Hela cells, using RPS15 antibody 14957-1-AP at 1:50 dilution and Rhodamine-labeled goat anti-rabbit IgG (red). Blue pseudocolor = DAPI (fluorescent DNA dye).
- Sample type
- cell line
Supportive validation
- Submitted by
- Proteintech Group (provider)
- Main image

- Experimental details
- Immunohistochemical of paraffin-embedded human liver cancer using 14957-1-AP(RPS15 antibody) at dilution of 1:100 (under 10x lens)
- Sample type
- tissue
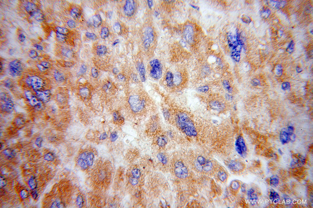
- Submitted by
- Proteintech Group (provider)
- Main image

- Experimental details
- Immunohistochemical of paraffin-embedded human liver cancer using 14957-1-AP(RPS15 antibody) at dilution of 1:100 (under 40x lens)
- Sample type
- tissue