Antibody data
- Antibody Data
- Antigen structure
- References [0]
- Comments [0]
- Validations
- Western blot [1]
- Immunocytochemistry [1]
- Immunohistochemistry [1]
Submit
Validation data
Reference
Comment
Report error
- Product number
- GTX111927 - Provider product page

- Provider
- GeneTex
- Proper citation
- GeneTex Cat#GTX111927, RRID:AB_1951102
- Product name
- PAN3 antibody
- Antibody type
- Polyclonal
- Reactivity
- Human
- Host
- Rabbit
- Storage
- Keep as concentrated solution. Aliquot and store at -20°C or below. Avoid multiple freeze-thaw cycles.
No comments: Submit comment
Supportive validation
- Submitted by
- GeneTex (provider)
- Main image

- Experimental details
- Sample (30 μg of whole cell lysate) A: H1299 B: Hela C: Hep G2 (GTX27900) D: Molt-4 (GTX27912) 7.5% SDS PAGE GTX111927 diluted at 1:1000
Supportive validation
- Submitted by
- GeneTex (provider)
- Main image

- Experimental details
- Immunofluorescence analysis of methanol-fixed HeLa, using PAN3(GTX111927) antibody at 1:200 dilution.
Supportive validation
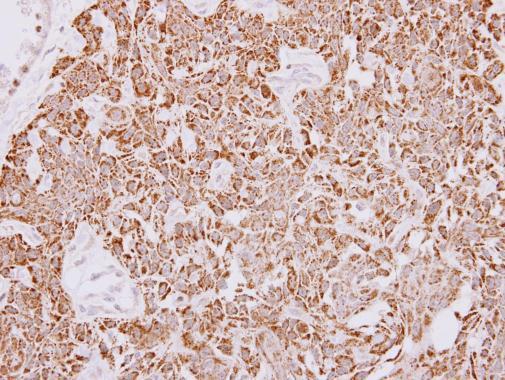
- Submitted by
- GeneTex (provider)
- Main image

- Experimental details
- PAN3 antibody detects PAN3 protein at mitochondrion and cytoplasm on Ca922 xenograft by immunohistochemical analysis. Sample: Paraffin-embedded Ca922 xenograft. PAN3 antibody (GTX111927) dilution: 1:500.