Antibody data
- Antibody Data
- Antigen structure
- References [3]
- Comments [0]
- Validations
- Western blot [1]
- Immunocytochemistry [1]
- Immunohistochemistry [1]
Submit
Validation data
Reference
Comment
Report error
- Product number
- 12655-1-AP - Provider product page

- Provider
- Proteintech Group
- Proper citation
- Proteintech Cat#12655-1-AP, RRID:AB_2127342
- Product name
- IL-5RA antibody
- Antibody type
- Polyclonal
- Description
- IL-5RA antibody (Cat. #12655-1-AP) is a rabbit polyclonal antibody that shows reactivity with human, mouse, rat and has been validated for the following applications: IHC, WB, ELISA.
- Reactivity
- Human, Mouse, Rat
- Host
- Rabbit
- Conjugate
- Unconjugated
- Isotype
- IgG
- Vial size
- 20ul, 150ul
Submitted references Methionine regulates maternal-fetal immune tolerance and endometrial receptivity by enhancing embryonic IL-5 secretion.
NET Formation in Bullous Pemphigoid Patients With Relapse Is Modulated by IL-17 and IL-23 Interplay.
Mepolizumab does not alter levels of eosinophils, T cells, and mast cells in the duodenal mucosa in eosinophilic esophagitis.
Cai S, Xue B, Li S, Wang X, Zeng X, Zhu Z, Fan X, Zou Y, Yu H, Qiao S, Zeng X
Cell reports 2025 Feb 25;44(2):115291
Cell reports 2025 Feb 25;44(2):115291
NET Formation in Bullous Pemphigoid Patients With Relapse Is Modulated by IL-17 and IL-23 Interplay.
Giusti D, Bini E, Terryn C, Didier K, Le Jan S, Gatouillat G, Durlach A, Nesmond S, Muller C, Bernard P, Antonicelli F, Pham BN
Frontiers in immunology 2019;10:701
Frontiers in immunology 2019;10:701
Mepolizumab does not alter levels of eosinophils, T cells, and mast cells in the duodenal mucosa in eosinophilic esophagitis.
Conus S, Straumann A, Bettler E, Simon HU
The Journal of allergy and clinical immunology 2010 Jul;126(1):175-7
The Journal of allergy and clinical immunology 2010 Jul;126(1):175-7
No comments: Submit comment
Supportive validation
- Submitted by
- Proteintech Group (provider)
- Main image

- Experimental details
- Jurkat cells were subjected to SDS PAGE followed by western blot with 12655-1-AP(IL5RA antibody) at dilution of 1:300
- Sample type
- cell line
Supportive validation
- Submitted by
- Proteintech Group (provider)
- Main image

- Experimental details
- Immunofluorescent analysis of HepG2 cells, using IL5RA antibody 12655-1-AP at 1:25 dilution and Rhodamine-labeled goat anti-rabbit IgG (red).
- Sample type
- cell line
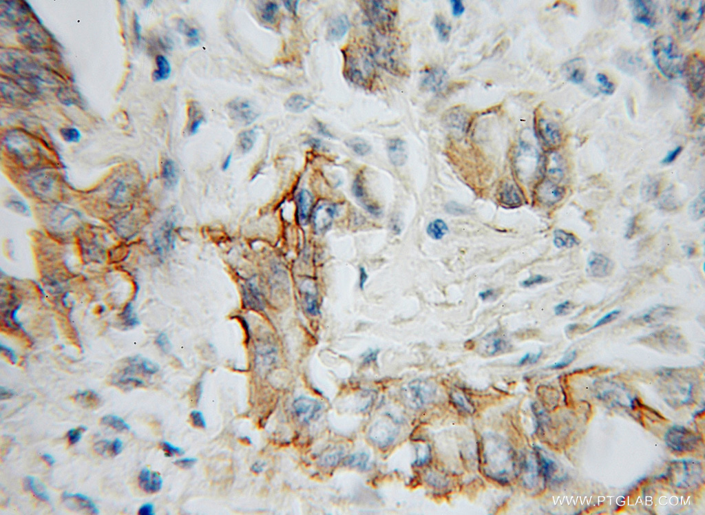
Supportive validation
- Submitted by
- Proteintech Group (provider)
- Main image

- Experimental details
- Immunohistochemical of paraffin-embedded human pancreas cancer using 12655-1-AP(IL5RA antibody) at dilution of 1:100 (under 10x lens)
- Sample type
- tissue