Antibody data
- Antibody Data
- Antigen structure
- References [0]
- Comments [0]
- Validations
- Western blot [1]
Submit
Validation data
Reference
Comment
Report error
- Product number
- BS7732 - Provider product page

- Provider
- Bioworld Technology, Inc
- Product name
- TPI1 polyclonal antibody
- Antibody type
- Polyclonal
- Antigen
- Recombinant full length Human TPI1.
- Description
- Triosephosphate isomerase, known as TIM or TPI, is ubiquitously expressed and catalyzes the interconversion of dihydroxyacetone phosphate (DHAP) and glyceraldehyde-3-phosphate in the glycolitic pathway. The human TIM gene spans 3.5 kilobase pairs, contains seven exons and encodes a 249 amino acid protein. =
- Reactivity
- Human, Mouse, Rat
- Host
- Rabbit
- Isotype
- IgG
- Vial size
- 100ul
- Concentration
- 1 mg/ml
- Storage
- Store at 4°C short term. Aliquot and store at -20°C long term. Avoid freeze-thaw cycles.
No comments: Submit comment
Supportive validation
- Submitted by
- Bioworld Technology, Inc (provider)
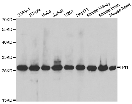
- Main image

- Experimental details
- WesternBlot (WB) analysis of TPI1 polyclonal antibody