Antibody data
- Antibody Data
- Antigen structure
- References [0]
- Comments [0]
- Validations
- Western blot [3]
- Immunohistochemistry [2]
- Other assay [1]
Submit
Validation data
Reference
Comment
Report error
- Product number
- 10453-1-AP - Provider product page

- Provider
- Invitrogen Antibodies
- Product name
- SLC45A2 Polyclonal Antibody
- Antibody type
- Polyclonal
- Antigen
- Other
- Description
- Immunogen sequence: KKQRGRPSS QPRRNIVGCR ISHGWKEGDE PITQWKGTVL DQVPINPSLY LVKYDGIDCV YGLELHRDER VLSLKILSDR VASSHISDAN LANTIIGKAV EHMFEGEHGS KDEWRGMVLA QAPIMKAWFY ITYEKDPVLY MYQLLDDYKE GDLRIMPESS ESPPTEREPG GVVDGLIGKH VEYTKEDGSK (35-223 aa encoded by BC000044)
- Reactivity
- Human, Mouse, Rat
- Host
- Rabbit
- Isotype
- IgG
- Vial size
- 150 µL
- Concentration
- 0.15 mg/mL
- Storage
- -20°C
No comments: Submit comment
Supportive validation
- Submitted by
- Invitrogen Antibodies (provider)
- Main image

- Experimental details
- MCF7 cells were subjected to SDS PAGE followed by western blot with 10453-1-AP (SLC45A2 antibody) at dilution of 1:1000 incubated at room temperature for 1.5 hours.
- Submitted by
- Invitrogen Antibodies (provider)
- Main image

- Experimental details
- MCF7 cells were subjected to SDS PAGE followed by western blot with 10453-1-AP (SLC45A2 antibody) at dilution of 1:500 incubated at room temperature for 1.5 hours.
- Submitted by
- Invitrogen Antibodies (provider)
- Main image

- Experimental details
- HL-60 cells were subjected to SDS PAGE followed by western blot with 10453-1-AP (SLC45A2 antibody) at dilution of 1:1000 incubated at room temperature for 1.5 hours.
Supportive validation
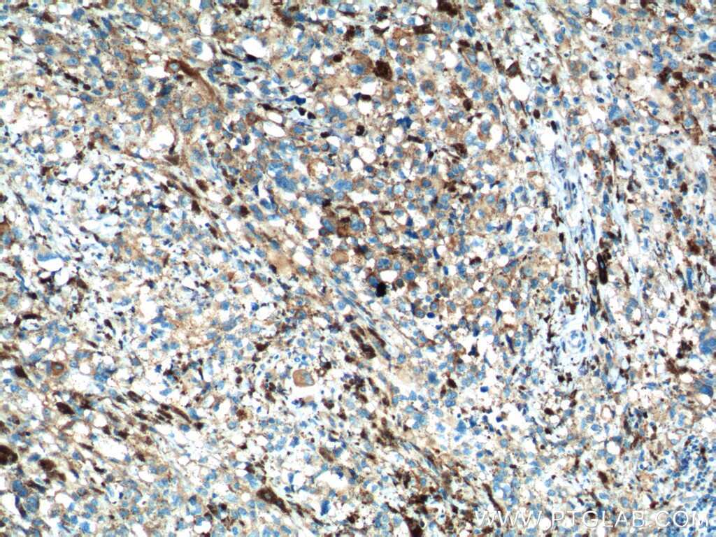
- Submitted by
- Invitrogen Antibodies (provider)
- Main image

- Experimental details
- Immunohistochemistry of paraffin-embedded human malignant melanoma tissue slide using 10453-1-AP ( SLC45A2 Antibody) at dilution of 1:400 (under 10x lens). heat mediated antigen retrieved with Tris-EDTA buffer (pH 9).
- Submitted by
- Invitrogen Antibodies (provider)
- Main image

- Experimental details
- Immunohistochemistry of paraffin-embedded human malignant melanoma tissue slide using 10453-1-AP ( SLC45A2 Antibody) at dilution of 1:400 (under 40x lens). heat mediated antigen retrieved with Tris-EDTA buffer (pH 9).
Supportive validation
- Submitted by
- Invitrogen Antibodies (provider)
- Main image

- Experimental details
- IP result of anti-SLC45A2 (IP:10453-1-AP, 4ug; Detection:10453-1-AP 1:500) with HL-60 cells lysate 1600ug.