Antibody data
- Antibody Data
- Antigen structure
- References [0]
- Comments [0]
- Validations
- Western blot [1]
- Immunohistochemistry [2]
Submit
Validation data
Reference
Comment
Report error
- Product number
- LS-B4069 - Provider product page

- Provider
- LSBio
- Product name
- Anti-ALOX5AP / FLAP Antibody IHC-plus™ LS-B4069
- Antibody type
- Polyclonal
- Description
- Immunoaffinity purified
- Reactivity
- Human
- Host
- Rabbit
- Vial size
- 50µl
- Storage
- Short term 4°C, long term aliquot and store at -20°C, avoid freeze thaw cycles.
No comments: Submit comment
Supportive validation
- Submitted by
- LSBio (provider)
- Main image

- Experimental details
- Sample (30 ug of whole cell lysate). A: Raji. 12% SDS PAGE. ALOX5AP antibody diluted at 1:1000.
Supportive validation
- Submitted by
- LSBio (provider)
- Main image

- Experimental details
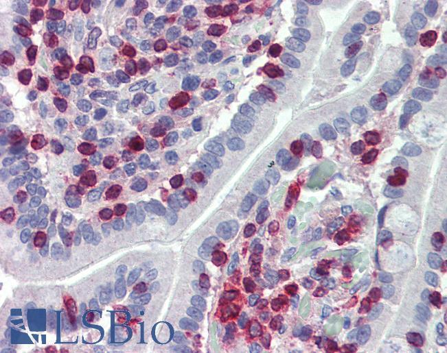
- Anti-ALOX5AP / FLAP antibody IHC of human small intestine. Immunohistochemistry of formalin-fixed, paraffin-embedded tissue after heat-induced antigen retrieval. Antibody LS-B4069 concentration 10 ug/ml.
- Submitted by
- LSBio (provider)
- Main image

- Experimental details
- Anti-ALOX5AP / FLAP antibody IHC of human spleen. Immunohistochemistry of formalin-fixed, paraffin-embedded tissue after heat-induced antigen retrieval. Antibody LS-B4069 concentration 10 ug/ml.