PA5-57887
antibody from Invitrogen Antibodies
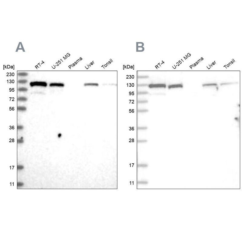
Targeting: RAI14
DKFZp564G013, KIAA1334, NORPEG, RAI13
Antibody data
- Antibody Data
- Antigen structure
- References [0]
- Comments [0]
- Validations
- Immunocytochemistry [1]
- Immunohistochemistry [4]
Submit
Validation data
Reference
Comment
Report error
- Product number
- PA5-57887 - Provider product page

- Provider
- Invitrogen Antibodies
- Product name
- RAI14 Polyclonal Antibody
- Antibody type
- Polyclonal
- Antigen
- Recombinant protein fragment
- Description
- Immunogen sequence: ISPTQLSDVS SPRSITSTPL SGKESVFFAE PPFKAEISSI RENKDRLSDS TTGADSLLDI SSEADQQDLL SLLQAKVASL TLHNKELQDK Highest antigen sequence identity to the following orthologs: Mouse - 96%, Rat - 94%.
- Reactivity
- Human, Mouse
- Host
- Rabbit
- Isotype
- IgG
- Vial size
- 100 μL
- Concentration
- 0.05 mg/mL
- Storage
- Store at 4°C short term. For long term storage, store at -20°C, avoiding freeze/thaw cycles.
No comments: Submit comment
Supportive validation
- Submitted by
- Invitrogen Antibodies (provider)
- Main image

- Experimental details
- Immunofluorescent staining of RAI14 in human cell line U-251 MG shows positivity in cytoplasm & nucleus but excluded from the nucleoli. Samples were probed using a RAI14 Polyclonal Antibody (Product # PA5-57887).
Supportive validation
- Submitted by
- Invitrogen Antibodies (provider)
- Main image

- Experimental details
- Immunohistochemical analysis of RAI14 in human kidney using RAI14 Polyclonal Antibody (Product # PA5-57887) shows strong cytoplasmic and membranous positivity in cells in glomeruli and cells in tubules.
- Submitted by
- Invitrogen Antibodies (provider)
- Main image

- Experimental details
- Immunohistochemical analysis of RAI14 in human skeletal muscle using RAI14 Polyclonal Antibody (Product # PA5-57887) shows no positivity in myocytes as expected.
- Submitted by
- Invitrogen Antibodies (provider)
- Main image

- Experimental details
- Immunohistochemical analysis of RAI14 in human testis using RAI14 Polyclonal Antibody (Product # PA5-57887) shows strong cytoplasmic and membranous positivity in cells in seminiferous ducts.
- Submitted by
- Invitrogen Antibodies (provider)
- Main image

- Experimental details
- Immunohistochemical analysis of RAI14 in human placenta using RAI14 Polyclonal Antibody (Product # PA5-57887) shows strong cytoplasmic and membranous positivity in trophoblastic cells.