Antibody data
- Antibody Data
- Antigen structure
- References [0]
- Comments [0]
- Validations
- Western blot [2]
- Immunohistochemistry [1]
Submit
Validation data
Reference
Comment
Report error
- Product number
- NBP1-94076 - Provider product page

- Provider
- Novus Biologicals
- Proper citation
- Novus Cat#NBP1-94076, RRID:AB_11009281
- Product name
- Rabbit Polyclonal RAI14 Antibody
- Antibody type
- Polyclonal
- Description
- Immunogen affinity purified. Specificity of human RAI14 antibody verified on a Protein Array containing target protein plus 383 other non-specific proteins.
- Reactivity
- Human
- Host
- Rabbit
- Isotype
- IgG
- Vial size
- 0.1 ml
- Storage
- Store at 4C short term. Aliquot and store at -20C long term. Avoid freeze-thaw cycles.
No comments: Submit comment
Supportive validation
- Submitted by
- Novus Biologicals (provider)
- Main image

- Experimental details
- Western Blot: RAI14 Antibody [NBP1-94076] - Western blot analysis in human cell lines U2OS and MCF-7. Corresponding RNA-seq data are presented for the same cell lines. Loading control: Anti-GAPDH.
- Submitted by
- Novus Biologicals (provider)
- Main image

- Experimental details
- Western Blot: RAI14 Antibody [NBP1-94076] - Analysis using Anti-RAI14 antibody NBP1-94076 (A) shows similar pattern to independent antibody NBP1-94075 (B).
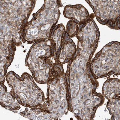
Supportive validation
- Submitted by
- Novus Biologicals (provider)
- Main image

- Experimental details
- Immunohistochemistry-Paraffin: RAI14 Antibody [NBP1-94076] - Staining of human placenta shows strong membrane and cytoplasmic positivity in trophoblastic cells.