Antibody data
- Antibody Data
- Antigen structure
- References [0]
- Comments [0]
- Validations
- Western blot [1]
- Immunohistochemistry [4]
- Flow cytometry [1]
Submit
Validation data
Reference
Comment
Report error
- Product number
- NBP2-75440 - Provider product page

- Provider
- Novus Biologicals
- Product name
- Rabbit Monoclonal CHIP/STUB1 Antibody
- Antibody type
- Monoclonal
- Description
- Protein A purified.
- Reactivity
- Human, Mouse, Rat
- Host
- Rabbit
- Isotype
- IgG
- Vial size
- 100 ul
- Storage
- Store at 4C short term. Aliquot and store at -20C long term. Avoid freeze-thaw cycles.
No comments: Submit comment
Supportive validation
- Submitted by
- Novus Biologicals (provider)
- Main image

- Experimental details
- Western Blot: CHIP/STUB1 Antibody (JG38-22) [NBP2-75440] - Analysis of STUB1 on different lysates using anti-STUB1 antibody at 1/2,000 dilution. Positive control: Lane 1: 293 Lane 2: MCF-7 Lane 3: SK-Br-3 Lane 4: Mouse kidney
Supportive validation
- Submitted by
- Novus Biologicals (provider)
- Main image

- Experimental details
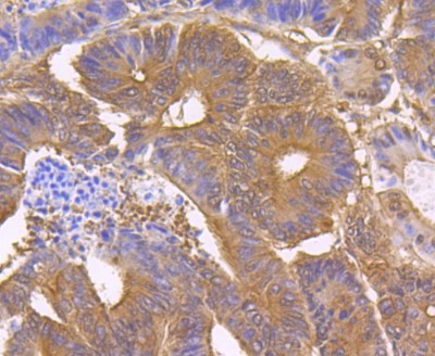
- Immunohistochemistry-Paraffin: CHIP/STUB1 Antibody (JG38-22) [NBP2-75440] - Analysis of paraffin-embedded human colon cancer tissue using anti-STUB1 antibody. Counter stained with hematoxylin.
- Submitted by
- Novus Biologicals (provider)
- Main image

- Experimental details
- Immunohistochemistry-Paraffin: CHIP/STUB1 Antibody (JG38-22) [NBP2-75440] - Analysis of paraffin-embedded human placenta tissue using anti-STUB1 antibody. Counter stained with hematoxylin.
- Submitted by
- Novus Biologicals (provider)
- Main image

- Experimental details
- Immunohistochemistry-Paraffin: CHIP/STUB1 Antibody (JG38-22) [NBP2-75440] - Analysis of paraffin-embedded mouse kidney tissue using anti-STUB1 antibody. Counter stained with hematoxylin.
- Submitted by
- Novus Biologicals (provider)
- Main image

- Experimental details
- Immunohistochemistry-Paraffin: CHIP/STUB1 Antibody (JG38-22) [NBP2-75440] - Analysis of paraffin-embedded rat epididymis tissue using anti-STUB1 antibody. Counter stained with hematoxylin.
Supportive validation
- Submitted by
- Novus Biologicals (provider)
- Main image

- Experimental details
- Flow Cytometry: CHIP/STUB1 Antibody (JG38-22) [NBP2-75440] - Analysis of SH-SY-5Y cells with STUB1 antibody at 1/100 dilution (purple) compared with an unlabelled control (cells without incubation with primary antibody; yellow). Alexa Fluor 488-conjugated goat anti-rabbit IgG was used as the secondary antibody.