Antibody data
- Antibody Data
- Antigen structure
- References [2]
- Comments [0]
- Validations
- Immunohistochemistry [5]
Submit
Validation data
Reference
Comment
Report error
- Product number
- NLS4753 - Provider product page

- Provider
- Novus Biologicals
- Proper citation
- Novus Cat#NLS4753, RRID:AB_2184840
- Product name
- Rabbit Polyclonal Relaxin R2/LGR8 Antibody
- Antibody type
- Polyclonal
- Description
- Immunogen affinity purified. Human RXFP2. BLAST analysis of the peptide immunogen showed no homology with other human proteins.
- Reactivity
- Human, Mouse, Rat
- Host
- Rabbit
- Isotype
- IgG
- Vial size
- 0.05 ml
- Concentration
- 1.0 mg/ml
- Storage
- Store at 4C short term. Aliquot and store at -20C long term. Avoid freeze-thaw cycles.
Submitted references Relaxin 2 carried by magnetically directed liposomes accelerates rat midpalatal suture expansion and subsequent new bone formation.
Insulin-like 3-induced rat preantral follicular growth is mediated by growth differentiation factor 9.
Kamimoto H, Kobayashi Y, Moriyama K
Bone reports 2019 Jun;10:100202
Bone reports 2019 Jun;10:100202
Insulin-like 3-induced rat preantral follicular growth is mediated by growth differentiation factor 9.
Xue K, Kim JY, Liu JY, Tsang BK
Endocrinology 2014 Jan;155(1):156-67
Endocrinology 2014 Jan;155(1):156-67
No comments: Submit comment
Supportive validation
- Submitted by
- Novus Biologicals (provider)
- Main image

- Experimental details
- Immunohistochemistry-Paraffin: Relaxin R2/LGR8 Antibody [NLS4753] - Human Uterus
- Submitted by
- Novus Biologicals (provider)
- Main image

- Experimental details
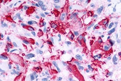
- Immunohistochemistry-Paraffin: Relaxin R2/LGR8 Antibody [NLS4753] - Breast, carcinoma
- Submitted by
- Novus Biologicals (provider)
- Main image

- Experimental details
- Immunohistochemistry-Paraffin: Relaxin R2/LGR8 Antibody [NLS4753] - Lung, Non Small-Cell Carcinoma
- Submitted by
- Novus Biologicals (provider)
- Main image

- Experimental details
- Immunohistochemistry-Paraffin: Relaxin R2/LGR8 Antibody [NLS4753] - Brain, Glioblastoma
- Submitted by
- Novus Biologicals (provider)
- Main image

- Experimental details
- Immunohistochemistry-Paraffin: Relaxin R2/LGR8 Antibody [NLS4753] - Skin, Malignant Melanoma