Antibody data
- Antibody Data
- Antigen structure
- References [41]
- Comments [0]
- Validations
- Western blot [1]
- Immunohistochemistry [2]
Submit
Validation data
Reference
Comment
Report error
- Product number
- 12245-1-AP - Provider product page

- Provider
- Proteintech Group
- Proper citation
- Proteintech Cat#12245-1-AP, RRID:AB_2088058
- Product name
- Cystatin C antibody
- Antibody type
- Polyclonal
- Description
- Cystatin C antibody (Cat. #12245-1-AP) is a rabbit polyclonal antibody that shows reactivity with human, mouse and has been validated for the following applications: IF, IHC, IP, WB, ELISA.
- Reactivity
- Human, Mouse
- Host
- Rabbit
- Conjugate
- Unconjugated
- Isotype
- IgG
- Vial size
- 20ul, 150ul
Submitted references Shifts in protein aggregate stability define proteostasis decline in the aging human brain.
Loss of FMRP in microglia promotes degeneration of parvalbumin neurons and audiogenic seizures via progranulin insufficiency.
Cadmium and polyvinyl chloride microplastics induce mitochondrial damage and apoptosis under oxidative stress in duck kidney.
Macrophage-derived CTSS drives the age-dependent disruption of the blood-CSF barrier.
Isoquercitrin alleviates OGD/R-induced oxidative stress and impaired mitochondrial biogenesis in SH-SY5Y cells via the NRF1/TFAM pathway.
Genetic variation perspective reveals potential drug targets for subtypes of endometrial cancer.
Genome-Wide Search Links Senescence-Associated Secretory Proteins With Susceptibility for Coronary Artery Disease in Mouse and Human.
YAP1 inhibits the senescence of alveolar epithelial cells by targeting Prdx3 to alleviate pulmonary fibrosis.
Angiopoietin-like 4 is upregulated by amphiregulin and activates cell proliferation and migration through p38 kinase in head and neck squamous cell carcinoma.
CHEK2 knockout is a therapeutic target for TP53-mutated hepatocellular carcinoma.
Piezo1 facilitates the initiation and progression of renal fibrosis by mediating cell apoptosis and mitochondrial dysfunction.
MCU inhibition protects against intestinal ischemia‒reperfusion by inhibiting Drp1-dependent mitochondrial fission.
Long non-coding RNA PFI inhibits apoptosis of alveolar epithelial cells to alleviate lung injury via miR-328-3p/Creb1 axis.
Wei-Tong-Xin ameliorated cisplatin-induced mitophagy and apoptosis in gastric antral mucosa by activating the Nrf2/HO-1 pathway.
Dioscin ameliorates silica-aggravated systemic lupus erythematosus via suppressing apoptosis and improving LC3-associated phagocytosis in MRL/lpr mice.
Clinicopathological diversity of semantic dementia: Comparisons of patients with early-onset versus late-onset, left-sided versus right-sided temporal atrophy, and TDP-type A versus type C pathology.
Explore the alterations of downstream molecular pathways caused by ARID1A mutation/knockout in human endometrial cancer cells.
Dopamine Transporter Imaging for Frontotemporal Lobar Degeneration With Motor Neuron Disease.
Alleviating effect of quercetin on cadmium-induced oxidative damage and apoptosis by activating the Nrf2-keap1 pathway in BRL-3A cells.
Cangfudaotan decoction inhibits mitochondria-dependent apoptosis of granulosa cells in rats with polycystic ovarian syndrome.
Jian-Pi-Yi-Shen decoction inhibits mitochondria-dependent granulosa cell apoptosis in a rat model of POF.
Renoprotective effect of Tanshinone IIA against kidney injury induced by ischemia-reperfusion in obese rats.
Graphene oxide leads to mitochondrial-dependent apoptosis by activating ROS-p53-mPTP pathway in intestinal cells.
A possible new activator of PI3K-Huayu Qutan Recipe alleviates mitochondrial apoptosis in obesity rats with acute myocardial infarction.
CUX1 promotes epithelial-mesenchymal transition (EMT) in renal fibrosis of UUO model by targeting MMP7.
Microneedle patches integrated with lateral flow cassettes for blood-free chronic kidney disease point-of-care testing during a pandemic.
Icaritin protects SH-SY5Y cells transfected with TDP-43 by alleviating mitochondrial damage and oxidative stress.
Tanshinone IIA Combined With Cyclosporine A Alleviates Lung Apoptosis Induced by Renal Ischemia-Reperfusion in Obese Rats.
Inhibition of ER stress attenuates kidney injury and apoptosis induced by 3-MCPD via regulating mitochondrial fission/fusion and Ca(2+) homeostasis.
Tanshinone IIA combined with CsA inhibit myocardial cell apoptosis induced by renal ischemia-reperfusion injury in obese rats.
Diosgenin Protects Against Kidney Injury and Mitochondrial Apoptosis Induced by 3-MCPD Through the Regulation of ER Stress, Ca(2+) Homeostasis, and Bcl2 Expression.
Graphene oxide disrupted mitochondrial homeostasis through inducing intracellular redox deviation and autophagy-lysosomal network dysfunction in SH-SY5Y cells.
Xuan Bi Tong Yu Fang Promotes Angiogenesis via VEGF-Notch1/Dll4 Pathway in Myocardial Ischemic Rats.
Mycobacterium tuberculosis infection increases the number of osteoclasts and inhibits osteoclast apoptosis by regulating TNF-α-mediated osteoclast autophagy.
Inhibitory effect of Lycium barbarum polysaccharide on sperm damage during cryopreservation.
LINC00963 targeting miR-128-3p promotes acute kidney injury process by activating JAK2/STAT1 pathway.
Mitophagy in the Hippocampus Is Excessive Activated After Cardiac Arrest and Cardiopulmonary Resuscitation.
SIRT5 Promotes Hepatocellular Carcinoma Progression by Regulating Mitochondrial Apoptosis.
Insight into the negative impact of ionic liquid: A cytotoxicity mechanism of 1-methyl-3-octylimidazolium bromide.
Expression of cystatin C and its effect on EC9706 cells in esophageal carcinoma.
Total protein is an effective loading control for cerebrospinal fluid western blots.
Anderton E, Burton JB, King CD, Foulger AC, Bhaumik D, Timonina D, Mayeri Z, Chamoli M, Andersen JK, Schilling B, Lithgow GJ
bioRxiv : the preprint server for biology 2026 Apr 18;
bioRxiv : the preprint server for biology 2026 Apr 18;
Loss of FMRP in microglia promotes degeneration of parvalbumin neurons and audiogenic seizures via progranulin insufficiency.
Li H, Choi JJ, Huang EJ, Xu B
bioRxiv : the preprint server for biology 2025 Jul 12;
bioRxiv : the preprint server for biology 2025 Jul 12;
Cadmium and polyvinyl chloride microplastics induce mitochondrial damage and apoptosis under oxidative stress in duck kidney.
Zou H, Song J, Luo X, Ali W, Li S, Xiong L, Chen Y, Yuan Y, Ma Y, Tong X, Liu Z
Poultry science 2025 Jan;104(1):104490
Poultry science 2025 Jan;104(1):104490
Macrophage-derived CTSS drives the age-dependent disruption of the blood-CSF barrier.
Chen Y, Zhou Y, Bai Y, Jia K, Zhang H, Chen Q, Song M, Dai Y, Shi J, Chen Z, Yan X, Shen Y
Neuron 2025 Apr 2;113(7):1082-1097.e8
Neuron 2025 Apr 2;113(7):1082-1097.e8
Isoquercitrin alleviates OGD/R-induced oxidative stress and impaired mitochondrial biogenesis in SH-SY5Y cells via the NRF1/TFAM pathway.
Li X, Li Y, Wang K, Qi S, Zhang Z, Cai S
Cell biochemistry and biophysics 2024 Sep;82(3):2455-2464
Cell biochemistry and biophysics 2024 Sep;82(3):2455-2464
Genetic variation perspective reveals potential drug targets for subtypes of endometrial cancer.
Zhu J, Zhang T, Jiang J, Yang M, Xia N, Chen Y
Scientific reports 2024 Nov 15;14(1):28180
Scientific reports 2024 Nov 15;14(1):28180
Genome-Wide Search Links Senescence-Associated Secretory Proteins With Susceptibility for Coronary Artery Disease in Mouse and Human.
Zhu YZ, Liu JK, Li XE, Yu ZP, Yang LQ, Wan Q, Zhao Y, Saeed M, Wu AD, Tian XL
The journals of gerontology. Series A, Biological sciences and medical sciences 2024 May 1;79(5)
The journals of gerontology. Series A, Biological sciences and medical sciences 2024 May 1;79(5)
YAP1 inhibits the senescence of alveolar epithelial cells by targeting Prdx3 to alleviate pulmonary fibrosis.
Su W, Guo Y, Wang Q, Ma L, Zhang Q, Zhang Y, Geng Y, Jin T, Guo J, Yang R, Niu Z, Ren L, Wang Y, Ning Z, Li W, He W, Sun J, Li T, Li Z, Shan H, Liang H
Experimental & molecular medicine 2024 Jul;56(7):1643-1654
Experimental & molecular medicine 2024 Jul;56(7):1643-1654
Angiopoietin-like 4 is upregulated by amphiregulin and activates cell proliferation and migration through p38 kinase in head and neck squamous cell carcinoma.
Kumar A, Asiedu E, Hefni E, Armstrong C, Menon D, Ma T, Sands L, Mbadugha E, Sodhi A, Schneider A, Montaner S
Journal of oral pathology & medicine : official publication of the International Association of Oral Pathologists and the American Academy of Oral Pathology 2024 Jul;53(6):366-375
Journal of oral pathology & medicine : official publication of the International Association of Oral Pathologists and the American Academy of Oral Pathology 2024 Jul;53(6):366-375
CHEK2 knockout is a therapeutic target for TP53-mutated hepatocellular carcinoma.
Chen Y, Zhu Z, Wu X, Li H, Guan W, Ren H
Cell death discovery 2024 Jan 19;10(1):37
Cell death discovery 2024 Jan 19;10(1):37
Piezo1 facilitates the initiation and progression of renal fibrosis by mediating cell apoptosis and mitochondrial dysfunction.
Zhang Y, Lv L, Zhou Z, Zhang H, Li Q, Yang S, Wen Y, Wang Q, Feng J, Lu W, Jia W, Wen JG
Renal failure 2024 Dec;46(2):2415519
Renal failure 2024 Dec;46(2):2415519
MCU inhibition protects against intestinal ischemia‒reperfusion by inhibiting Drp1-dependent mitochondrial fission.
Kadier T, Zhang YG, Jing YX, Weng ZY, Liao SS, Luo J, Ding K, Cao C, Chen R, Meng QT
Free radical biology & medicine 2024 Aug 20;221:111-124
Free radical biology & medicine 2024 Aug 20;221:111-124
Long non-coding RNA PFI inhibits apoptosis of alveolar epithelial cells to alleviate lung injury via miR-328-3p/Creb1 axis.
Li Z, Jin T, Yang R, Guo J, Niu Z, Gao H, Song X, Zhang Q, Ning Z, Ren L, Wang Y, Fan X, Liang H, Li T, He W
Experimental cell research 2023 Sep 1;430(1):113685
Experimental cell research 2023 Sep 1;430(1):113685
Wei-Tong-Xin ameliorated cisplatin-induced mitophagy and apoptosis in gastric antral mucosa by activating the Nrf2/HO-1 pathway.
Zhang X, Wang S, Jin Y, Wang J, Wang R, Yang X, Zhang S, Yan T, Jia Y
Journal of ethnopharmacology 2023 May 23;308:116253
Journal of ethnopharmacology 2023 May 23;308:116253
Dioscin ameliorates silica-aggravated systemic lupus erythematosus via suppressing apoptosis and improving LC3-associated phagocytosis in MRL/lpr mice.
Zhang P, Lei X, Ou L, Cheng Y, Miao Q, Li C, Chen Y
International immunopharmacology 2023 Mar;116:109814
International immunopharmacology 2023 Mar;116:109814
Clinicopathological diversity of semantic dementia: Comparisons of patients with early-onset versus late-onset, left-sided versus right-sided temporal atrophy, and TDP-type A versus type C pathology.
Kawakatsu S, Kobayashi R, Morioka D, Hayashi H, Utsunomiya A, Kabasawa T, Ohe R, Futakuchi M, Otani K
Neuropathology : official journal of the Japanese Society of Neuropathology 2023 Feb;43(1):5-26
Neuropathology : official journal of the Japanese Society of Neuropathology 2023 Feb;43(1):5-26
Explore the alterations of downstream molecular pathways caused by ARID1A mutation/knockout in human endometrial cancer cells.
Xing B, Zhang X, Gu X, Xiang L, Wang C, Jin Y
Journal of cancer research and clinical oncology 2023 Dec;149(19):17529-17541
Journal of cancer research and clinical oncology 2023 Dec;149(19):17529-17541
Dopamine Transporter Imaging for Frontotemporal Lobar Degeneration With Motor Neuron Disease.
Kobayashi R, Kawakatsu S, Ohba M, Morioka D, Kanoto M, Otani K
Frontiers in neuroscience 2022;16:755211
Frontiers in neuroscience 2022;16:755211
Alleviating effect of quercetin on cadmium-induced oxidative damage and apoptosis by activating the Nrf2-keap1 pathway in BRL-3A cells.
Wang J, Wang K, Ding L, Zhao P, Zhang C, Wang H, Yang Z, Liu Z
Frontiers in pharmacology 2022;13:969892
Frontiers in pharmacology 2022;13:969892
Cangfudaotan decoction inhibits mitochondria-dependent apoptosis of granulosa cells in rats with polycystic ovarian syndrome.
Jiang XL, Tai H, Xiao XS, Zhang SY, Cui SC, Qi SB, Hu DD, Zhang LN, Kuang JS, Meng XS, Li SM
Frontiers in endocrinology 2022;13:962154
Frontiers in endocrinology 2022;13:962154
Jian-Pi-Yi-Shen decoction inhibits mitochondria-dependent granulosa cell apoptosis in a rat model of POF.
Jiang XL, Tai H, Kuang JS, Zhang JY, Cui SC, Lu YX, Qi SB, Zhang SY, Li SM, Chen JP, Meng XS
Aging 2022 Oct 27;14(20):8321-8345
Aging 2022 Oct 27;14(20):8321-8345
Renoprotective effect of Tanshinone IIA against kidney injury induced by ischemia-reperfusion in obese rats.
Tai H, Cui XZ, He J, Lan ZM, Li SM, Li LB, Yao SC, Jiang XL, Meng XS, Kuang JS
Aging 2022 Oct 20;14(20):8302-8320
Aging 2022 Oct 20;14(20):8302-8320
Graphene oxide leads to mitochondrial-dependent apoptosis by activating ROS-p53-mPTP pathway in intestinal cells.
Feng W, Wang J, Li B, Liu Y, Xu D, Cheng K, Zhuang J
The international journal of biochemistry & cell biology 2022 May;146:106206
The international journal of biochemistry & cell biology 2022 May;146:106206
A possible new activator of PI3K-Huayu Qutan Recipe alleviates mitochondrial apoptosis in obesity rats with acute myocardial infarction.
Tai H, Tong YJ, Yu R, Yu Y, Yao SC, Li LB, Liu Y, Cui XZ, Kuang JS, Meng XS, Jiang XL
Journal of cellular and molecular medicine 2022 Jun;26(12):3423-3445
Journal of cellular and molecular medicine 2022 Jun;26(12):3423-3445
CUX1 promotes epithelial-mesenchymal transition (EMT) in renal fibrosis of UUO model by targeting MMP7.
Teng S, Liu G, Li L, Ou J, Yu Y
Biochemical and biophysical research communications 2022 Jun 11;608:128-134
Biochemical and biophysical research communications 2022 Jun 11;608:128-134
Microneedle patches integrated with lateral flow cassettes for blood-free chronic kidney disease point-of-care testing during a pandemic.
Chen YJ, Hsu YP, Tain YL, Li NS, Pang HH, Kuo SW, Yang HW
Biosensors & bioelectronics 2022 Jul 15;208:114234
Biosensors & bioelectronics 2022 Jul 15;208:114234
Icaritin protects SH-SY5Y cells transfected with TDP-43 by alleviating mitochondrial damage and oxidative stress.
Zhou Y, Huang N, Li Y, Ba Z, Zhou Y, Luo Y
PeerJ 2021;9:e11978
PeerJ 2021;9:e11978
Tanshinone IIA Combined With Cyclosporine A Alleviates Lung Apoptosis Induced by Renal Ischemia-Reperfusion in Obese Rats.
Tai H, Jiang XL, Song N, Xiao HH, Li Y, Cheng MJ, Yin XM, Chen YR, Yang GL, Jiang XY, Kuang JS, Lan ZM, Jia LQ
Frontiers in medicine 2021;8:617393
Frontiers in medicine 2021;8:617393
Inhibition of ER stress attenuates kidney injury and apoptosis induced by 3-MCPD via regulating mitochondrial fission/fusion and Ca(2+) homeostasis.
Zhong Y, Jin C, Han J, Zhu J, Liu Q, Sun D, Xia X, Peng X
Cell biology and toxicology 2021 Oct;37(5):795-809
Cell biology and toxicology 2021 Oct;37(5):795-809
Tanshinone IIA combined with CsA inhibit myocardial cell apoptosis induced by renal ischemia-reperfusion injury in obese rats.
Tai H, Jiang XL, Lan ZM, Li Y, Kong L, Yao SC, Song N, Lv MJ, Wu J, Yang P, Xiao XS, Yang GL, Kuang JS, Jia LQ
BMC complementary medicine and therapies 2021 Mar 22;21(1):100
BMC complementary medicine and therapies 2021 Mar 22;21(1):100
Diosgenin Protects Against Kidney Injury and Mitochondrial Apoptosis Induced by 3-MCPD Through the Regulation of ER Stress, Ca(2+) Homeostasis, and Bcl2 Expression.
Zhong Y, Jin C, Han J, Zhu J, Liu Q, Sun D, Xia X, Zhang Y, Peng X
Molecular nutrition & food research 2021 Aug;65(15):e2001202
Molecular nutrition & food research 2021 Aug;65(15):e2001202
Graphene oxide disrupted mitochondrial homeostasis through inducing intracellular redox deviation and autophagy-lysosomal network dysfunction in SH-SY5Y cells.
Xiaoli F, Yaqing Z, Ruhui L, Xuan L, Aijie C, Yanli Z, Chen H, Lili C, Longquan S
Journal of hazardous materials 2021 Aug 15;416:126158
Journal of hazardous materials 2021 Aug 15;416:126158
Xuan Bi Tong Yu Fang Promotes Angiogenesis via VEGF-Notch1/Dll4 Pathway in Myocardial Ischemic Rats.
Li S, Dong J, Ta G, Liu Y, Cui J, Li X, Song J, Liu A, Cheng G
Evidence-based complementary and alternative medicine : eCAM 2020;2020:5041629
Evidence-based complementary and alternative medicine : eCAM 2020;2020:5041629
Mycobacterium tuberculosis infection increases the number of osteoclasts and inhibits osteoclast apoptosis by regulating TNF-α-mediated osteoclast autophagy.
Liu W, Zhou J, Niu F, Pu F, Wang Z, Huang M, Zhao X, Yang L, Tao P, Xia P, Feng J
Experimental and therapeutic medicine 2020 Sep;20(3):1889-1898
Experimental and therapeutic medicine 2020 Sep;20(3):1889-1898
Inhibitory effect of Lycium barbarum polysaccharide on sperm damage during cryopreservation.
Yan B, Zhang X, Wang J, Jia S, Zhou Y, Tian J, Wang H, Tang Y
Experimental and therapeutic medicine 2020 Oct;20(4):3051-3063
Experimental and therapeutic medicine 2020 Oct;20(4):3051-3063
LINC00963 targeting miR-128-3p promotes acute kidney injury process by activating JAK2/STAT1 pathway.
Xie LB, Chen B, Liao X, Chen YF, Yang R, He SR, Pei LJ, Jiang R
Journal of cellular and molecular medicine 2020 May;24(10):5555-5564
Journal of cellular and molecular medicine 2020 May;24(10):5555-5564
Mitophagy in the Hippocampus Is Excessive Activated After Cardiac Arrest and Cardiopulmonary Resuscitation.
Huang Y, Gao X, Zhou X, Xie B, Zhang Y, Zhu J, Zhu S
Neurochemical research 2020 Feb;45(2):322-330
Neurochemical research 2020 Feb;45(2):322-330
SIRT5 Promotes Hepatocellular Carcinoma Progression by Regulating Mitochondrial Apoptosis.
Zhang R, Wang C, Tian Y, Yao Y, Mao J, Wang H, Li Z, Xu Y, Ye M, Wang L
Journal of Cancer 2019;10(16):3871-3882
Journal of Cancer 2019;10(16):3871-3882
Insight into the negative impact of ionic liquid: A cytotoxicity mechanism of 1-methyl-3-octylimidazolium bromide.
Ma J, Li X
Environmental pollution (Barking, Essex : 1987) 2018 Nov;242(Pt B):1337-1345
Environmental pollution (Barking, Essex : 1987) 2018 Nov;242(Pt B):1337-1345
Expression of cystatin C and its effect on EC9706 cells in esophageal carcinoma.
Yan Y, Zhou K, Wang L, Zhou Y, Chen X, Fan Q
International journal of clinical and experimental pathology 2015;8(9):10102-11
International journal of clinical and experimental pathology 2015;8(9):10102-11
Total protein is an effective loading control for cerebrospinal fluid western blots.
Collins MA, An J, Peller D, Bowser R
Journal of neuroscience methods 2015 Aug 15;251:72-82
Journal of neuroscience methods 2015 Aug 15;251:72-82
No comments: Submit comment
Supportive validation
- Submitted by
- Proteintech Group (provider)
- Main image

- Experimental details
- human brain tissue were subjected to SDS PAGE followed by western blot with 12245-1-AP(CST3 antibody) at dilution of 1:400
- Sample type
- tissue
Supportive validation
- Submitted by
- Proteintech Group (provider)
- Main image

- Experimental details
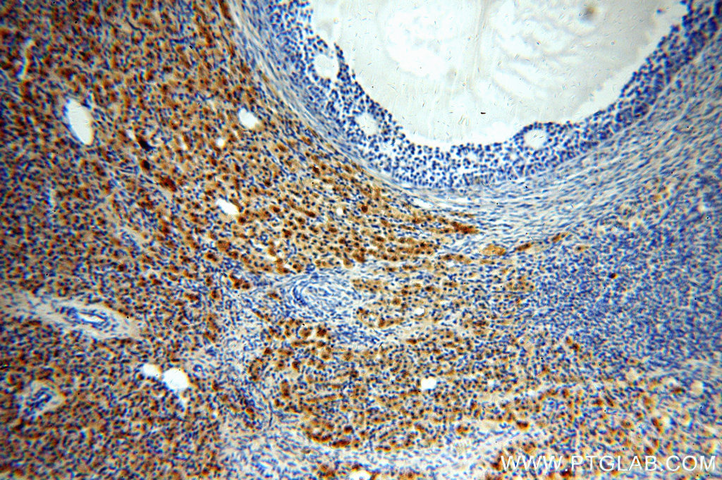
- Immunohistochemical of paraffin-embedded human ovary using 12245-1-AP(CST3 antibody) at dilution of 1:50 (under 10x lens)
- Sample type
- tissue
- Submitted by
- Proteintech Group (provider)
- Main image

- Experimental details
- The Cystatin C antibody from Proteintech is a rabbit polyclonal antibody to a recombinant protein of human Cystatin C. This antibody recognizes human,mouse,rat antigen. The Cystatin C antibody has been validated for the following applications: ELISA, WB, IHC analysis.