Antibody data
- Antibody Data
- Antigen structure
- References [0]
- Comments [0]
- Validations
- Immunohistochemistry [1]
- Blocking/Neutralizing [1]
Submit
Validation data
Reference
Comment
Report error
- Product number
- LS-C388330 - Provider product page

- Provider
- LSBio
- Product name
- CST3 / Cystatin C Antibody (aa45-63) LS-C388330
- Antibody type
- Polyclonal
- Description
- Immunoaffinity purified
- Reactivity
- Human
- Host
- Rabbit
- Isotype
- IgG
- Storage
- Prior to reconstitution, 4°C. Following reconstitution store at -20°C. Avoid freeze-thaw cycles.
No comments: Submit comment
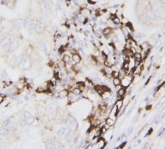
Supportive validation
- Submitted by
- LSBio (provider)
- Main image

- Experimental details
- IHC-P: Cystatin C antibody testing of human breast cancer tissue
Supportive validation
- Submitted by
- LSBio (provider)
- Main image

- Experimental details
- Western blot testing of Cystatin C antibody and Lane 1: recombinant human protein 10ng; 2: 5ng; 3: 2.5ng