Antibody data
- Antibody Data
- Antigen structure
- References [0]
- Comments [0]
- Validations
- Immunohistochemistry [2]
Submit
Validation data
Reference
Comment
Report error
- Product number
- MA5-41578 - Provider product page
- Provider
- Invitrogen Antibodies
- Product name
- Cystatin C Monoclonal Antibody (C10)
- Antibody type
- Monoclonal
- Antigen
- Recombinant full-length protein
- Reactivity
- Human
- Host
- Mouse
- Isotype
- IgG
- Antibody clone number
- C10
- Vial size
- 200 µL
- Concentration
- 0.64 mg/mL
- Storage
- -20°C
No comments: Submit comment
Supportive validation
- Submitted by
- Invitrogen Antibodies (provider)
- Main image
- Experimental details
- Immunohistochemistry analysis of Cystatin C in paraffin-embedded Human Stomach tissue. Samples were incubated with monoclonal antibody (Product # MA5-41578) at a dilution of 30 µg/mL, followed by HRP-Linked Caprine Anti-Mouse IgG using a dilution of 2 µg/mL.
- Submitted by
- Invitrogen Antibodies (provider)
- Main image
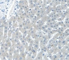
- Experimental details
- Immunohistochemistry analysis of Cystatin C in paraffin-embedded Human Liver tissue. Samples were incubated with monoclonal antibody (Product # MA5-41578).