Antibody data
- Antibody Data
- Antigen structure
- References [25]
- Comments [0]
- Validations
- Western blot [1]
- Immunohistochemistry [2]
Submit
Validation data
Reference
Comment
Report error
- Product number
- 15235-1-AP - Provider product page

- Provider
- Proteintech Group
- Proper citation
- Proteintech Cat#15235-1-AP, RRID:AB_2254794
- Product name
- SLC25A1 antibody
- Antibody type
- Polyclonal
- Description
- KD/KO validated SLC25A1 antibody (Cat. #15235-1-AP) is a rabbit polyclonal antibody that shows reactivity with human, mouse, rat and has been validated for the following applications: IF, IHC, IP, WB,ELISA.
- Reactivity
- Human, Mouse, Rat
- Host
- Rabbit
- Conjugate
- Unconjugated
- Isotype
- IgG
- Vial size
- 20ul, 150ul
Submitted references Angiotensin-(1-7) Modulates the Warburg Effect to Alleviate Inflammation in LPS-Induced Macrophages and Septic Mice.
Loss of the mitochondrial carrier, SLC25A1, during embryogenesis induces a unique senescence program controlled by p53.
Mitochondrial citrate carrier SLC25A1 is a dosage-dependent regulator of metabolic reprogramming and morphogenesis in the developing heart.
The citrate transporters SLC13A5 and SLC25A1 elicit different metabolic responses and phenotypes in the mouse.
A novel SLC25A1 inhibitor, parthenolide, suppresses the growth and stemness of liver cancer stem cells with metabolic vulnerability.
Systemic Proteome Phenotypes Reveal Defective Metabolic Flexibility in Mecp2 Mutants.
Lipin-1 restrains macrophage lipid synthesis to promote inflammation resolution.
A comprehensive analysis of SLC25A1 expression and its oncogenic role in pan-cancer.
Mitochondrial citrate metabolism and efflux regulate BeWo differentiation.
Transmembrane protein 135 regulates lipid homeostasis through its role in peroxisomal DHA metabolism.
Mitochondrial citrate metabolism and efflux regulates trophoblast differentiation.
Systemic proteome phenotypes reveal defective metabolic flexibility in Mecp2 mutants.
IL-1R-IRAKM-Slc25a1 signaling axis reprograms lipogenesis in adipocytes to promote diet-induced obesity in mice.
A non-canonical tricarboxylic acid cycle underlies cellular identity.
Hypoxia promotes osteogenesis by facilitating acetyl-CoA-mediated mitochondrial-nuclear communication.
SLC25A1 promotes tumor growth and survival by reprogramming energy metabolism in colorectal cancer.
Mitochondrial Efflux of Citrate and Isocitrate Is Fully Dispensable for Glucose-Stimulated Insulin Secretion and Pancreatic Islet β-Cell Function.
Regulation on Citrate Influx and Metabolism through Inhibiting SLC13A5 and ACLY: A Novel Mechanism Mediating the Therapeutic Effects of Curcumin on NAFLD.
Inhibition of the mitochondrial citrate carrier, Slc25a1, reverts steatosis, glucose intolerance, and inflammation in preclinical models of NAFLD/NASH.
Long non-coding RNA BRM promotes proliferation and invasion of papillary thyroid carcinoma by regulating the microRNA-331-3p/SLC25A1 axis.
Proline biosynthesis is a vent for TGFβ-induced mitochondrial redox stress.
A novel isoform of myosin 18A (Myo18Aγ) is an essential sarcomeric protein in mouse heart.
Glycolytic Switch Is Required for Transdifferentiation to Endothelial Lineage.
An overview of combined D-2- and L-2-hydroxyglutaric aciduria: functional analysis of CIC variants.
Deficiency in SLC25A1, encoding the mitochondrial citrate carrier, causes combined D-2- and L-2-hydroxyglutaric aciduria.
Yu D, Huang W, Sheng M, Zhang S, Pan H, Ren F, Luo L, Zhou J, Huang D, Tang L
Journal of inflammation research 2024;17:469-485
Journal of inflammation research 2024;17:469-485
Loss of the mitochondrial carrier, SLC25A1, during embryogenesis induces a unique senescence program controlled by p53.
Kasprzyk-Pawelec A, Tan M, Rahhal R, McIntosh A, Fernandez H, Mosaoa R, Jiang L, Pearson GW, Glasgow E, Vockley J, Albanese C, Avantaggiati ML
bioRxiv : the preprint server for biology 2024 May 31;
bioRxiv : the preprint server for biology 2024 May 31;
Mitochondrial citrate carrier SLC25A1 is a dosage-dependent regulator of metabolic reprogramming and morphogenesis in the developing heart.
Ohanele C, Peoples JN, Karlstaedt A, Geiger JT, Gayle AD, Ghazal N, Sohani F, Brown ME, Davis ME, Porter GA, Faundez V, Kwong JQ
bioRxiv : the preprint server for biology 2024 May 13;
bioRxiv : the preprint server for biology 2024 May 13;
The citrate transporters SLC13A5 and SLC25A1 elicit different metabolic responses and phenotypes in the mouse.
Fernandez-Fuente G, Overmyer KA, Lawton AJ, Kasza I, Shapiro SL, Gallego-Muñoz P, Coon JJ, Denu JM, Alexander CM, Puglielli L
Communications biology 2023 Sep 9;6(1):926
Communications biology 2023 Sep 9;6(1):926
A novel SLC25A1 inhibitor, parthenolide, suppresses the growth and stemness of liver cancer stem cells with metabolic vulnerability.
Zhang Z, Qiao Y, Sun Q, Peng L, Sun L
Cell death discovery 2023 Sep 23;9(1):350
Cell death discovery 2023 Sep 23;9(1):350
Systemic Proteome Phenotypes Reveal Defective Metabolic Flexibility in Mecp2 Mutants.
Zlatic SA, Werner E, Surapaneni V, Lee CE, Gokhale A, Singleton K, Duong D, Crocker A, Gentile K, Middleton F, Dalloul JM, Liu WL, Patgiri A, Tarquinio D, Carpenter R, Faundez V
bioRxiv : the preprint server for biology 2023 Sep 1;
bioRxiv : the preprint server for biology 2023 Sep 1;
Lipin-1 restrains macrophage lipid synthesis to promote inflammation resolution.
Bamgbose TT, Schilke RM, Igiehon OO, Nkadi EH, Custis D, Bharrhan S, Schwarz B, Bohrnsen E, Bosio CM, Scott RS, Yurdagul A Jr, Finck BN, Woolard MD
bioRxiv : the preprint server for biology 2023 Oct 25;
bioRxiv : the preprint server for biology 2023 Oct 25;
A comprehensive analysis of SLC25A1 expression and its oncogenic role in pan-cancer.
You X, Huang L, Huang O, Deng Y, Shi X
Discover oncology 2023 Nov 19;14(1):207
Discover oncology 2023 Nov 19;14(1):207
Mitochondrial citrate metabolism and efflux regulate BeWo differentiation.
Mahr RM, Jena S, Nashif SK, Nelson AB, Rauckhorst AJ, Rome FI, Sheldon RD, Hughey CC, Puchalska P, Gearhart MD, Taylor EB, Crawford PA, Wernimont SA
Scientific reports 2023 May 6;13(1):7387
Scientific reports 2023 May 6;13(1):7387
Transmembrane protein 135 regulates lipid homeostasis through its role in peroxisomal DHA metabolism.
Landowski M, Bhute VJ, Grindel S, Haugstad Z, Gyening YK, Tytanic M, Brush RS, Moyer LJ, Nelson DW, Davis CR, Yen CE, Ikeda S, Agbaga MP, Ikeda A
Communications biology 2023 Jan 4;6(1):8
Communications biology 2023 Jan 4;6(1):8
Mitochondrial citrate metabolism and efflux regulates trophoblast differentiation.
Mahr RM, Jena S, Nashif SK, Nelson AB, Rauckhorst AJ, Rome FI, Sheldon RD, Hughey CC, Puchalska P, Gearhart MD, Taylor EB, Crawford PA, Wernimont SA
bioRxiv : the preprint server for biology 2023 Jan 22;
bioRxiv : the preprint server for biology 2023 Jan 22;
Systemic proteome phenotypes reveal defective metabolic flexibility in Mecp2 mutants.
Zlatic SA, Werner E, Surapaneni V, Lee CE, Gokhale A, Singleton K, Duong D, Crocker A, Gentile K, Middleton F, Dalloul JM, Liu WL, Patgiri A, Tarquinio D, Carpenter R, Faundez V
Human molecular genetics 2023 Dec 12;33(1):12-32
Human molecular genetics 2023 Dec 12;33(1):12-32
IL-1R-IRAKM-Slc25a1 signaling axis reprograms lipogenesis in adipocytes to promote diet-induced obesity in mice.
Liu W, Zhou H, Wang H, Zhang Q, Zhang R, Willard B, Liu C, Kang Z, Li X, Li X
Nature communications 2022 May 18;13(1):2748
Nature communications 2022 May 18;13(1):2748
A non-canonical tricarboxylic acid cycle underlies cellular identity.
Arnold PK, Jackson BT, Paras KI, Brunner JS, Hart ML, Newsom OJ, Alibeckoff SP, Endress J, Drill E, Sullivan LB, Finley LWS
Nature 2022 Mar;603(7901):477-481
Nature 2022 Mar;603(7901):477-481
Hypoxia promotes osteogenesis by facilitating acetyl-CoA-mediated mitochondrial-nuclear communication.
Pouikli A, Maleszewska M, Parekh S, Yang M, Nikopoulou C, Bonfiglio JJ, Mylonas C, Sandoval T, Schumacher AL, Hinze Y, Matic I, Frezza C, Tessarz P
The EMBO journal 2022 Dec 1;41(23):e111239
The EMBO journal 2022 Dec 1;41(23):e111239
SLC25A1 promotes tumor growth and survival by reprogramming energy metabolism in colorectal cancer.
Yang Y, He J, Zhang B, Zhang Z, Jia G, Liu S, Wu T, He X, Wang N
Cell death & disease 2021 Nov 27;12(12):1108
Cell death & disease 2021 Nov 27;12(12):1108
Mitochondrial Efflux of Citrate and Isocitrate Is Fully Dispensable for Glucose-Stimulated Insulin Secretion and Pancreatic Islet β-Cell Function.
Bauchle CJ, Rohli KE, Boyer CK, Pal V, Rocheleau JV, Liu S, Imai Y, Taylor EB, Stephens SB
Diabetes 2021 Aug;70(8):1717-1728
Diabetes 2021 Aug;70(8):1717-1728
Regulation on Citrate Influx and Metabolism through Inhibiting SLC13A5 and ACLY: A Novel Mechanism Mediating the Therapeutic Effects of Curcumin on NAFLD.
Sun Q, Niu Q, Guo Y, Zhuang Y, Li X, Liu J, Li N, Li Z, Huang F, Qiu Z
Journal of agricultural and food chemistry 2021 Aug 11;69(31):8714-8725
Journal of agricultural and food chemistry 2021 Aug 11;69(31):8714-8725
Inhibition of the mitochondrial citrate carrier, Slc25a1, reverts steatosis, glucose intolerance, and inflammation in preclinical models of NAFLD/NASH.
Tan M, Mosaoa R, Graham GT, Kasprzyk-Pawelec A, Gadre S, Parasido E, Catalina-Rodriguez O, Foley P, Giaccone G, Cheema A, Kallakury B, Albanese C, Yi C, Avantaggiati ML
Cell death and differentiation 2020 Jul;27(7):2143-2157
Cell death and differentiation 2020 Jul;27(7):2143-2157
Long non-coding RNA BRM promotes proliferation and invasion of papillary thyroid carcinoma by regulating the microRNA-331-3p/SLC25A1 axis.
Liu S, Zhang D, Chen L, Gao S, Huang X
Oncology letters 2020 Apr;19(4):3071-3078
Oncology letters 2020 Apr;19(4):3071-3078
Proline biosynthesis is a vent for TGFβ-induced mitochondrial redox stress.
Schwörer S, Berisa M, Violante S, Qin W, Zhu J, Hendrickson RC, Cross JR, Thompson CB
The EMBO journal 2020 Apr 15;39(8):e103334
The EMBO journal 2020 Apr 15;39(8):e103334
A novel isoform of myosin 18A (Myo18Aγ) is an essential sarcomeric protein in mouse heart.
Horsthemke M, Nutter LMJ, Bachg AC, Skryabin BV, Honnert U, Zobel T, Bogdan S, Stoll M, Seidl MD, Müller FU, Ravens U, Unger A, Linke WA, van Gorp PRR, de Vries AAF, Bähler M, Hanley PJ
The Journal of biological chemistry 2019 May 3;294(18):7202-7218
The Journal of biological chemistry 2019 May 3;294(18):7202-7218
Glycolytic Switch Is Required for Transdifferentiation to Endothelial Lineage.
Lai L, Reineke E, Hamilton DJ, Cooke JP
Circulation 2019 Jan 2;139(1):119-133
Circulation 2019 Jan 2;139(1):119-133
An overview of combined D-2- and L-2-hydroxyglutaric aciduria: functional analysis of CIC variants.
Pop A, Williams M, Struys EA, Monné M, Jansen EEW, De Grassi A, Kanhai WA, Scarcia P, Ojeda MRF, Porcelli V, van Dooren SJM, Lennertz P, Nota B, Abdenur JE, Coman D, Das AM, El-Gharbawy A, Nuoffer JM, Polic B, Santer R, Weinhold N, Zuccarelli B, Palmieri F, Palmieri L, Salomons GS
Journal of inherited metabolic disease 2018 Mar;41(2):169-180
Journal of inherited metabolic disease 2018 Mar;41(2):169-180
Deficiency in SLC25A1, encoding the mitochondrial citrate carrier, causes combined D-2- and L-2-hydroxyglutaric aciduria.
Nota B, Struys EA, Pop A, Jansen EE, Fernandez Ojeda MR, Kanhai WA, Kranendijk M, van Dooren SJ, Bevova MR, Sistermans EA, Nieuwint AW, Barth M, Ben-Omran T, Hoffmann GF, de Lonlay P, McDonald MT, Meberg A, Muntau AC, Nuoffer JM, Parini R, Read MH, Renneberg A, Santer R, Strahleck T, van Schaftingen E, van der Knaap MS, Jakobs C, Salomons GS
American journal of human genetics 2013 Apr 4;92(4):627-31
American journal of human genetics 2013 Apr 4;92(4):627-31
No comments: Submit comment
Supportive validation
- Submitted by
- Proteintech Group (provider)
- Main image

- Experimental details
- HeLa cells were subjected to SDS PAGE followed by western blot with 15235-1-AP(SLC25A1 antibody) at dilution of 1:400
- Sample type
- cell line
Supportive validation
- Submitted by
- Proteintech Group (provider)
- Main image

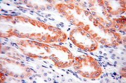
- Experimental details
- Immunohistochemical of paraffin-embedded human kidney using 15235-1-AP(SLC25A1 antibody) at dilution of 1:100 (under 10x lens)
- Sample type
- tissue
- Submitted by
- Proteintech Group (provider)
- Main image

- Experimental details
- The SLC25A1 antibody from Proteintech is a rabbit polyclonal antibody to a recombinant protein of human SLC25A1. This antibody recognizes human, mouse, rat antigen. The SLC25A1 antibody has been validated for the following applications: ELISA, WB, IHC analysis.