Antibody data
- Antibody Data
- Antigen structure
- References [0]
- Comments [0]
- Validations
- Immunohistochemistry [6]
Submit
Validation data
Reference
Comment
Report error
- Product number
- PA5-58854 - Provider product page

- Provider
- Invitrogen Antibodies
- Product name
- SPEF2 Polyclonal Antibody
- Antibody type
- Polyclonal
- Antigen
- Recombinant protein fragment
- Description
- Immunogen sequence: VPQPPKPGSE EWVYVNEPVP EEMPLFLVPY WELIENSYIN TIKTVLRHLR EDQHTVLAYL YEIRTSFQEF LKRPDHKQDF VAQWQ Highest antigen sequence identity to the following orthologs: Mouse - 82%, Rat - 78%.
- Reactivity
- Human
- Host
- Rabbit
- Isotype
- IgG
- Vial size
- 100 μL
- Concentration
- 0.05 mg/mL
- Storage
- Store at 4°C short term. For long term storage, store at -20°C, avoiding freeze/thaw cycles.
No comments: Submit comment
Supportive validation
- Submitted by
- Invitrogen Antibodies (provider)
- Main image

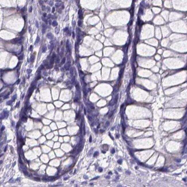
- Experimental details
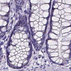
- Immunohistochemical staining of SPEF2 in human colon using SPEF2 Polyclonal Antibody (Product # PA5-58854).
- Submitted by
- Invitrogen Antibodies (provider)
- Main image

- Experimental details
- Immunohistochemical staining of SPEF2 in human fallopian tube and liver tissues using SPEF2 Polyclonal Antibody (Product # PA5-58854). Corresponding SPEF2 RNA-seq data are presented for the same tissues.
- Submitted by
- Invitrogen Antibodies (provider)
- Main image

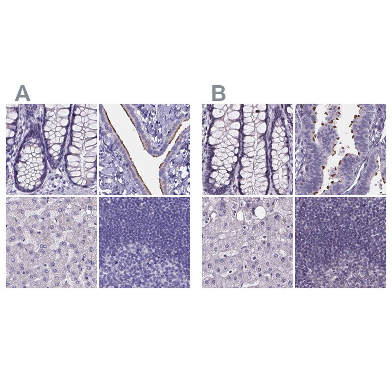
- Experimental details
- Immunohistochemical staining of SPEF2 in human colon, fallopian tube, liver and lymph node using SPEF2 Polyclonal Antibody (Product # PA5-58854) (A) shows similar protein distribution across tissues to an independent SPEF2 Polyclonal Antibody (B).
- Submitted by
- Invitrogen Antibodies (provider)
- Main image

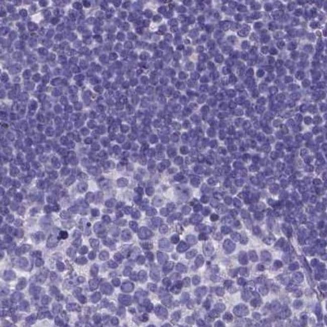
- Experimental details
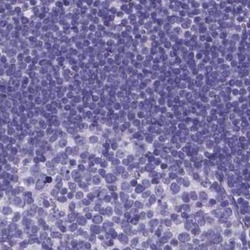
- Immunohistochemical staining of SPEF2 in human lymph node using SPEF2 Polyclonal Antibody (Product # PA5-58854).
- Submitted by
- Invitrogen Antibodies (provider)
- Main image

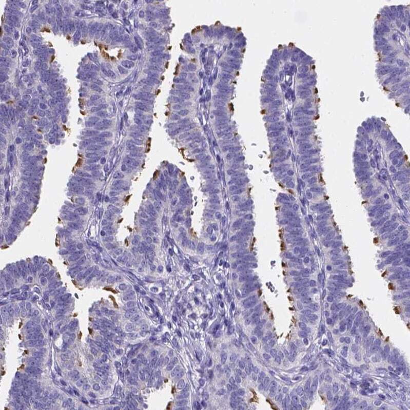
- Experimental details
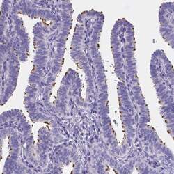
- Immunohistochemical analysis of SPEF2 in human fallopian tube using SPEF2 Polyclonal Antibody (Product # PA5-58854) shows strong cytoplasmic positivity in cilia in glandular cells.
- Submitted by
- Invitrogen Antibodies (provider)
- Main image

- Experimental details
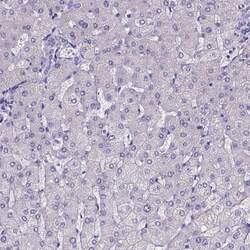
- Immunohistochemical staining of SPEF2 in human liver using SPEF2 Polyclonal Antibody (Product # PA5-58854) shows low expression as expected.