Antibody data
- Antibody Data
- Antigen structure
- References [0]
- Comments [0]
- Validations
- Immunohistochemistry [9]
Submit
Validation data
Reference
Comment
Report error
- Product number
- NBP1-84361 - Provider product page

- Provider
- Novus Biologicals
- Proper citation
- Novus Cat#NBP1-84361, RRID:AB_11040917
- Product name
- Rabbit Polyclonal Sperm Flagellar 2 Antibody
- Antibody type
- Polyclonal
- Description
- Immunogen affinity purified. Specificity of human Sperm Flagellar 2 antibody verified on a Protein Array containing target protein plus 383 other non-specific proteins.
- Reactivity
- Human
- Host
- Rabbit
- Isotype
- IgG
- Vial size
- 0.1 ml
- Storage
- Store at 4C short term. Aliquot and store at -20C long term. Avoid freeze-thaw cycles.
No comments: Submit comment
Supportive validation
- Submitted by
- Novus Biologicals (provider)
- Main image

- Experimental details
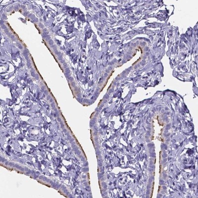
- Immunohistochemistry-Paraffin: Sperm Flagellar 2 Antibody [NBP1-84361] - Staining of human fallopian tube shows high expression.
- Submitted by
- Novus Biologicals (provider)
- Main image

- Experimental details
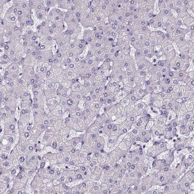
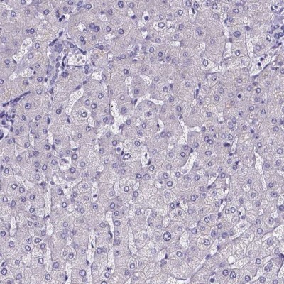
- Immunohistochemistry-Paraffin: Sperm Flagellar 2 Antibody [NBP1-84361] - Staining of human liver shows low expression as expected.
- Submitted by
- Novus Biologicals (provider)
- Main image

- Experimental details
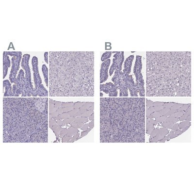
- Immunohistochemistry-Paraffin: Sperm Flagellar 2 Antibody [NBP1-84361] - Staining of human colon, fallopian tube, liver and lymph node using Anti-SPEF2 antibody NBP1-84361 (A) shows similar protein distribution across tissues to independent antibody NBP2-38461 (B).
- Submitted by
- Novus Biologicals (provider)
- Main image

- Experimental details
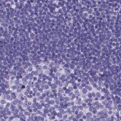
- Immunohistochemistry-Paraffin: Sperm Flagellar 2 Antibody [NBP1-84361] - Staining of human lymph node.
- Submitted by
- Novus Biologicals (provider)
- Main image

- Experimental details
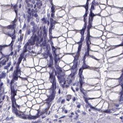
- Immunohistochemistry-Paraffin: Sperm Flagellar 2 Antibody [NBP1-84361] - Staining of human colon.
- Submitted by
- Novus Biologicals (provider)
- Main image

- Experimental details
- Immunohistochemistry-Paraffin: Sperm Flagellar 2 Antibody [NBP1-84361] - Analysis in human fallopian tube and skeletal muscle tissues. Corresponding Sperm Flagellar 2 RNA-seq data are presented for the same tissues.
- Submitted by
- Novus Biologicals (provider)
- Main image

- Experimental details
- Immunohistochemistry-Paraffin: Sperm Flagellar 2 Antibody [NBP1-84361] - Staining of human fallopian tube, liver, pancreas and skeletal muscle using Anti-Sperm Flagellar 2 antibody NBP1-84361 (A) shows similar protein distribution across tissues to independent antibody NBP2-38461 (B).
- Submitted by
- Novus Biologicals (provider)
- Main image

- Experimental details
- Immunohistochemistry-Paraffin: Sperm Flagellar 2 Antibody [NBP1-84361] - Staining of human fallopian tube shows strong cytoplasmic positivity in cilia in glandular cells.
- Submitted by
- Novus Biologicals (provider)
- Main image

- Experimental details
- Immunohistochemistry-Paraffin: Sperm Flagellar 2 Antibody [NBP1-84361] - Staining of human liver shows no positivity in hepatocytes as expected.