Antibody data
- Antibody Data
- Antigen structure
- References [0]
- Comments [0]
- Validations
- Western blot [1]
- Immunocytochemistry [1]
- Immunohistochemistry [2]
Submit
Validation data
Reference
Comment
Report error
- Product number
- RQ5991 - Provider product page

- Provider
- NSJ Bioreagents
- Product name
- MNT Antibody
- Antibody type
- Polyclonal
- Description
- This highly specific MNT antibody is suitable for use in Western blot/Immunohistochemistry/Immunofluorescence/Direct ELISA applications with human samples.
- Reactivity
- Human
- Host
- Rabbit
- Conjugate
- Unconjugated
- Vial size
- 100 ug
- Concentration
- 0.5mg/ml if reconstituted with 0.2ml sterile DI water
- Storage
- After reconstitution, the MNT antibody can be stored for up to one month at 4oC. For long-term, aliquot and store at -20oC. Avoid repeated freezing and thawing.
No comments: Submit comment
Supportive validation
- Submitted by
- NSJ Bioreagents (provider)
- Main image

- Experimental details
- Western blot testing of human 1) HeLa, 2) Raji, 3) A549, 4) HEK293, 5) K562, 6) PC-3 and 7) Caco-2 lysate with MNT antibody. Predicted molecular weight ~62 kDa.
Supportive validation
- Submitted by
- NSJ Bioreagents (provider)
- Main image

- Experimental details
- Immunofluorescent staining of FFPE human A549 cells with MNT antibody (green) and DAPI nuclear stain (blue). HIER: steam section in pH6 citrate buffer for 20 min.
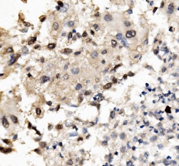
Supportive validation
- Submitted by
- NSJ Bioreagents (provider)
- Main image

- Experimental details
- IHC staining of FFPE human liver cancer with MNT antibody. HIER: boil tissue sections in pH8 EDTA for 20 min and allow to cool before testing.
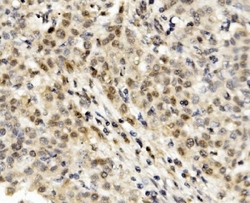
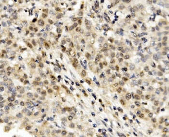
- Submitted by
- NSJ Bioreagents (provider)
- Main image

- Experimental details
- IHC staining of FFPE human liver cancer with MNT antibody. HIER: boil tissue sections in pH8 EDTA for 20 min and allow to cool before testing.