Antibody data
- Antibody Data
 - Antigen structure
 - References [0]
 - Comments [0]
 - Validations
 - Western blot [1]
 - Immunocytochemistry [1]
 - Immunohistochemistry [1]
 
Submit
Validation data
Reference
Comment
Report error
- Product number
 - NBP1-31679 - Provider product page

 - Provider
 - Novus Biologicals
 - Proper citation
 - Novus Cat#NBP1-31679, RRID:AB_10003845
 - Product name
 - Rabbit Polyclonal GCN2 Antibody
 - Antibody type
 - Polyclonal
 - Description
 - Immunogen affinity purified.
 - Reactivity
 - Human
 - Host
 - Rabbit
 - Isotype
 - IgG
 - Vial size
 - 0.1 ml
 - Storage
 - Aliquot and store at -20C or -80C. Avoid freeze-thaw cycles.
 
				No comments: Submit comment	
	
			
							
					Supportive validation
					
									
				
				- Submitted by
 - Novus Biologicals (provider)
 - Main image
 
- Experimental details
 - Western Blot: GCN2 Antibody [NBP1-31679] - Sample (30 ug of whole cell lysate) A: H1299 B: Molt-4 5% SDS PAGE; antibody diluted at 1:1000.
 
							
					Supportive validation
					
									
				
				- Submitted by
 - Novus Biologicals (provider)
 - Main image
 
- Experimental details
 - Immunocytochemistry/Immunofluorescence: GCN2 Antibody [NBP1-31679] - Sample: HeLa cells were fixed in iced-cold MeOH for 5 min. Green: EIF2AK4 protein stained by GCN2 antibody, C-term diluted at 1:500. Blue: Hoechst 33343 staining.
 
							
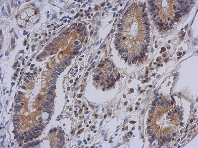
					Supportive validation
					
									
				
		- Submitted by
 - Novus Biologicals (provider)
 - Main image
 
- Experimental details
 - Immunohistochemistry-Paraffin: GCN2 Antibody [NBP1-31679] - Paraffin-embedded Gastric ca, using antibody at 1:500 dilution.