Antibody data
- Antibody Data
- Antigen structure
- References [0]
- Comments [0]
- Validations
- Western blot [2]
- Immunohistochemistry [7]
Submit
Validation data
Reference
Comment
Report error
- Product number
- NBP1-82960 - Provider product page

- Provider
- Novus Biologicals
- Proper citation
- Novus Cat#NBP1-82960, RRID:AB_11009897
- Product name
- Rabbit Polyclonal NUP155 Antibody
- Antibody type
- Polyclonal
- Description
- Immunogen affinity purified. Specificity of human NUP155 antibody verified on a Protein Array containing target protein plus 383 other non-specific proteins.
- Reactivity
- Human
- Host
- Rabbit
- Isotype
- IgG
- Vial size
- 0.1 ml
- Storage
- Store at 4C short term. Aliquot and store at -20C long term. Avoid freeze-thaw cycles.
No comments: Submit comment
Supportive validation
- Submitted by
- Novus Biologicals (provider)
- Main image

- Experimental details
- Western Blot: NUP155 Antibody [NBP1-82960] - Analysis in control (vector only transfected HEK293T lysate) and NUP155 over-expression lysate (Co-expressed with a C-terminal myc-DDK tag (3.1 kDa) in mammalian HEK293T cells).
- Submitted by
- Novus Biologicals (provider)
- Main image

- Experimental details
- Western Blot: NUP155 Antibody [NBP1-82960] - Analysis in human cell line HeLa and human cell line MCF-7.
Supportive validation
- Submitted by
- Novus Biologicals (provider)
- Main image

- Experimental details
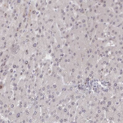
- Immunohistochemistry-Paraffin: NUP155 Antibody [NBP1-82960] - Staining of human liver shows low expression as expected.
- Submitted by
- Novus Biologicals (provider)
- Main image

- Experimental details
- Immunohistochemistry-Paraffin: NUP155 Antibody [NBP1-82960] - Staining of human testis shows high expression.
- Submitted by
- Novus Biologicals (provider)
- Main image

- Experimental details
- Immunohistochemistry-Paraffin: NUP155 Antibody [NBP1-82960] - Staining of human skin shows weak to moderate nuclear membrane positivity in squamous epithelial cells.
- Submitted by
- Novus Biologicals (provider)
- Main image

- Experimental details
- Immunohistochemistry-Paraffin: NUP155 Antibody [NBP1-82960] - Analysis in human testis and liver tissues. Corresponding NUP155 RNA-seq data are presented for the same tissues.
- Submitted by
- Novus Biologicals (provider)
- Main image

- Experimental details
- Immunohistochemistry-Paraffin: NUP155 Antibody [NBP1-82960] - Staining of human cerebral cortex shows moderate nuclear membrane positivity in neurons.
- Submitted by
- Novus Biologicals (provider)
- Main image

- Experimental details
- Immunohistochemistry-Paraffin: NUP155 Antibody [NBP1-82960] - Staining of human testis shows moderate nuclear membrane positivity in cells in seminiferous ducts.
- Submitted by
- Novus Biologicals (provider)
- Main image

- Experimental details
- Immunohistochemistry-Paraffin: NUP155 Antibody [NBP1-82960] - Staining of human liver shows very weak positivity in hepatocytes as expected.