Antibody data
- Antibody Data
 - Antigen structure
 - References [0]
 - Comments [0]
 - Validations
 - Western blot [4]
 - Immunocytochemistry [1]
 - Immunohistochemistry [5]
 - Other assay [1]
 
Submit
Validation data
Reference
Comment
Report error
- Product number
 - 11019-2-AP - Provider product page

 - Provider
 - Invitrogen Antibodies
 - Product name
 - SGTA Polyclonal Antibody
 - Antibody type
 - Polyclonal
 - Antigen
 - Other
 - Reactivity
 - Human, Mouse, Rat
 - Host
 - Rabbit
 - Isotype
 - IgG
 - Vial size
 - 150 µL
 - Concentration
 - 0.37 mg/mL
 - Storage
 - -20°C
 
				No comments: Submit comment	
	
			
							
					Supportive validation
					
									
				
				- Submitted by
 - Invitrogen Antibodies (provider)
 - Main image
 
- Experimental details
 - Human skeletal muscle tissue were subjected to SDS PAGE followed by western blot with 11019-2-AP (SGTA antibody) at dilution of 1:0 incubated at room temperature for 1.5 hours.
 
- Submitted by
 - Invitrogen Antibodies (provider)
 - Main image
 
- Experimental details
 - HeLa cells were subjected to SDS PAGE followed by western blot with 11019-2-AP (SGTA antibody) at dilution of 1:800 incubated at room temperature for 1.5 hours.
 
- Submitted by
 - Invitrogen Antibodies (provider)
 - Main image
 
- Experimental details
 - K-562 cells were subjected to SDS PAGE followed by western blot with 11019-2-AP (SGTA antibody) at dilution of 1:800 incubated at room temperature for 1.5 hours.
 
- Submitted by
 - Invitrogen Antibodies (provider)
 - Main image
 
- Experimental details
 - SH-SY5Y cells were subjected to SDS PAGE followed by western blot with 11019-2-AP (SGTA antibody) at dilution of 1:800 incubated at room temperature for 1.5 hours.
 
							
					Supportive validation
					
									
				
				- Submitted by
 - Invitrogen Antibodies (provider)
 - Main image
 
- Experimental details
 - Immunofluorescent analysis of ( -20°C Ethanol ) fixed HeLa cells using 11019-2-AP (SGTA antibody) at dilution of 1:50 and Alexa Fluor 488-conjugated AffiniPure Goat Anti-Rabbit IGG (H+L).
 
							
					Supportive validation
					
									
				
				- Submitted by
 - Invitrogen Antibodies (provider)
 - Main image
 
- Experimental details
 - Immunohistochemistry of paraffin-embedded human prostate cancer tissue slide using 11019-2-AP (SGTA Antibody) at dilution of 1:50 (under 10x lens).
 
- Submitted by
 - Invitrogen Antibodies (provider)
 - Main image
 
- Experimental details
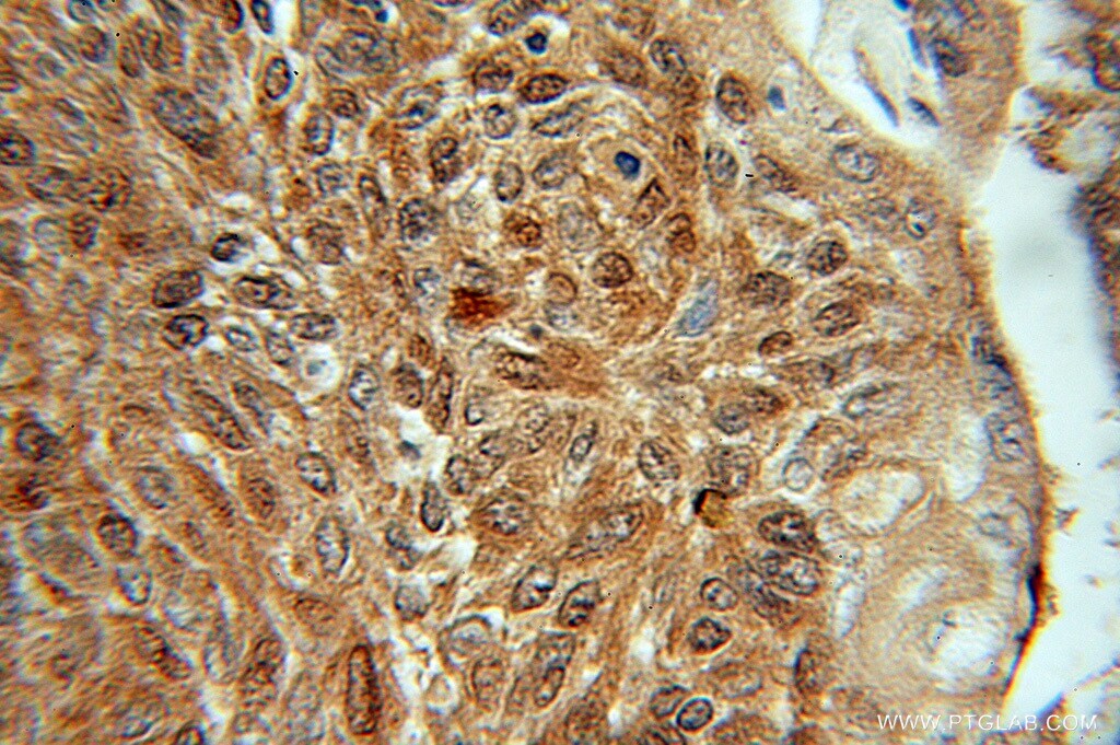
 - Immunohistochemistry of paraffin-embedded human prostate cancer tissue slide using 11019-2-AP (SGTA Antibody) at dilution of 1:50 (under 40x lens).
 
- Submitted by
 - Invitrogen Antibodies (provider)
 - Main image
 
- Experimental details
 - Immunohistochemistry of paraffin-embedded human liver cancer tissue slide using 11019-2-AP (SGTA Antibody) at dilution of 1:50 (under 10x lens).
 
- Submitted by
 - Invitrogen Antibodies (provider)
 - Main image
 
- Experimental details
 - Immunohistochemistry of paraffin-embedded human liver cancer tissue slide using 11019-2-AP (SGTA Antibody) at dilution of 1:50 (under 40x lens).
 
- Submitted by
 - Invitrogen Antibodies (provider)
 - Main image
 
- Experimental details
 - Immunohistochemistry of paraffin-embedded human lung cancer using 11019-2-AP (SGTA antibody) at dilution of 1:50 (under 10x lens).
 
							
					Supportive validation
					
									
				
		- Submitted by
 - Invitrogen Antibodies (provider)
 - Main image
 
- Experimental details
 - IP result of anti-SGTA (IP:11019-2-AP, 4ug; Detection:11019-2-AP 1:1000) with HeLa cells lysate 2480ug.