Antibody data
- Antibody Data
- Antigen structure
- References [0]
- Comments [0]
- Validations
- Western blot [1]
- Immunohistochemistry [1]
Submit
Validation data
Reference
Comment
Report error
- Product number
- LS-C774506 - Provider product page

- Provider
- LSBio
- Product name
- RICTOR Antibody (Atto 488) LS-C774506
- Antibody type
- Polyclonal
- Description
- Peptide Affinity Purified
- Reactivity
- Human, Mouse
- Host
- Rabbit
- Conjugate
- Green dye
- Storage
- Store at -20°C.
No comments: Submit comment
Enhanced validation
- Submitted by
- LSBio (provider)
- Enhanced method
- Genetic validation
- Main image

- Experimental details
- Western blot analysis of Mouse Brain showing detection of 192 kDa RICTOR protein using Rabbit Anti-RICTOR Polyclonal Antibody. Lane 1: Molecular Weight Ladder (MW). Lane 2: Mouse Brain. Load: 10 µg. Block: 5% Skim Milk powder in TBST. Primary Antibody: Rabbit Anti-RICTOR Polyclonal Antibody at 1:1000 for 2 hours at RT with shaking. Secondary Antibody: Goat Anti-Rabbit IgG: HRP at 1:5000 for 1 hour at RT. Color Development: ECL solution for 5 min at RT. Predicted/Observed Size: 192 kDa.
Supportive validation
- Submitted by
- LSBio (provider)
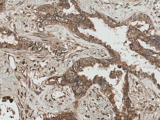
- Main image

- Experimental details
- Immunohistochemistry analysis using Rabbit Anti-RICTOR Polyclonal Antibody. Tissue: Lung Cancer. Species: Human. Fixation: Formalin Fixed Paraffin-Embedded. Primary Antibody: Rabbit Anti-RICTOR Polyclonal Antibody at 1:50 for 30 min at RT. Counterstain: Hematoxylin. Magnification: 20X. HRP-DAB Detection.