Antibody data
- Antibody Data
- Antigen structure
- References [20]
- Comments [0]
- Validations
- Western blot [8]
- Immunoprecipitation [1]
- Immunohistochemistry [1]
Submit
Validation data
Reference
Comment
Report error
- Product number
- NB100-612 - Provider product page

- Provider
- Novus Biologicals
- Proper citation
- Novus Cat#NB100-612, RRID:AB_10000886
- Product name
- Rabbit Polyclonal Rictor Antibody
- Antibody type
- Polyclonal
- Description
- Immunogen affinity purified.
- Reactivity
- Human, Mouse
- Host
- Rabbit
- Isotype
- IgG
- Vial size
- 100 ul
- Concentration
- 1.0 mg/ml
- Storage
- Store at 4C. Do not freeze.
Submitted references Transforming growth factor β1 alters the 3'-UTR of mRNA to promote lung fibrosis.
Uncoupling TORC2 from AGC kinases inhibits tumour growth.
Cadmium Activates Multiple Signaling Pathways That Coordinately Stimulate Akt Activity to Enhance c-Myc mRNA Stability.
Pegylated IFN-α suppresses hepatitis C virus by promoting the DAPK-mTOR pathway.
17ß-Estradiol regulates mTORC2 sensitivity to rapamycin in adaptive cardiac remodeling.
Rictor negatively regulates high-affinity receptors for IgE-induced mast cell degranulation.
Novel mTOR inhibitory activity of ciclopirox enhances parthenolide antileukemia activity.
PI3K regulation of the SKP-2/p27 axis through mTORC2.
HLA class I-mediated stress fiber formation requires ERK1/2 activation in the absence of an increase in intracellular Ca2+ in human aortic endothelial cells.
mTORC1 and mTORC2 regulate EMT, motility, and metastasis of colorectal cancer via RhoA and Rac1 signaling pathways.
Contribution of human amniotic fluid stem cells to renal tissue formation depends on mTOR.
Targeted inhibition of mammalian target of rapamycin signaling inhibits tumorigenesis of colorectal cancer.
Rictor and integrin-linked kinase interact and regulate Akt phosphorylation and cancer cell survival.
A Rictor-Myo1c complex participates in dynamic cortical actin events in 3T3-L1 adipocytes.
HLA class I antibody-mediated endothelial cell proliferation via the mTOR pathway.
HLA class I antibody-mediated endothelial cell proliferation via the mTOR pathway.
mTORC1 promotes survival through translational control of Mcl-1.
Rapamycin limits formation of active eukaryotic initiation factor 4F complex following meal feeding in rat hearts.
Nutrient-dependent multimerization of the mammalian target of rapamycin through the N-terminal HEAT repeat region.
Identification of Sin1 as an essential TORC2 component required for complex formation and kinase activity.
Ko J, Mills T, Huang J, Chen NY, Mertens TCJ, Collum SD, Lee G, Xiang Y, Han L, Zhou Y, Lee CG, Elias JA, Jyothula SSK, Rajagopal K, Karmouty-Quintana H, Blackburn MR
The Journal of biological chemistry 2019 Oct 25;294(43):15781-15794
The Journal of biological chemistry 2019 Oct 25;294(43):15781-15794
Uncoupling TORC2 from AGC kinases inhibits tumour growth.
Cameron AJM, Veeriah S, Marshall JJT, Murray ER, Larijani B, Parker PJ
Oncotarget 2017 Oct 17;8(49):84685-84696
Oncotarget 2017 Oct 17;8(49):84685-84696
Cadmium Activates Multiple Signaling Pathways That Coordinately Stimulate Akt Activity to Enhance c-Myc mRNA Stability.
Tsai JS, Chao CH, Lin LY
PloS one 2016;11(1):e0147011
PloS one 2016;11(1):e0147011
Pegylated IFN-α suppresses hepatitis C virus by promoting the DAPK-mTOR pathway.
Liu WL, Yang HC, Hsu CS, Wang CC, Wang TS, Kao JH, Chen DS
Proceedings of the National Academy of Sciences of the United States of America 2016 Dec 20;113(51):14799-14804
Proceedings of the National Academy of Sciences of the United States of America 2016 Dec 20;113(51):14799-14804
17ß-Estradiol regulates mTORC2 sensitivity to rapamycin in adaptive cardiac remodeling.
Kusch A, Schmidt M, Gürgen D, Postpieszala D, Catar R, Hegner B, Davidson MM, Mahmoodzadeh S, Dragun D
PloS one 2015;10(4):e0123385
PloS one 2015;10(4):e0123385
Rictor negatively regulates high-affinity receptors for IgE-induced mast cell degranulation.
Smrz D, Cruse G, Beaven MA, Kirshenbaum A, Metcalfe DD, Gilfillan AM
Journal of immunology (Baltimore, Md. : 1950) 2014 Dec 15;193(12):5924-32
Journal of immunology (Baltimore, Md. : 1950) 2014 Dec 15;193(12):5924-32
Novel mTOR inhibitory activity of ciclopirox enhances parthenolide antileukemia activity.
Sen S, Hassane DC, Corbett C, Becker MW, Jordan CT, Guzman ML
Experimental hematology 2013 Sep;41(9):799-807.e4
Experimental hematology 2013 Sep;41(9):799-807.e4
PI3K regulation of the SKP-2/p27 axis through mTORC2.
Shanmugasundaram K, Block K, Nayak BK, Livi CB, Venkatachalam MA, Sudarshan S
Oncogene 2013 Apr 18;32(16):2027-36
Oncogene 2013 Apr 18;32(16):2027-36
HLA class I-mediated stress fiber formation requires ERK1/2 activation in the absence of an increase in intracellular Ca2+ in human aortic endothelial cells.
Ziegler ME, Jin YP, Young SH, Rozengurt E, Reed EF
American journal of physiology. Cell physiology 2012 Oct 15;303(8):C872-82
American journal of physiology. Cell physiology 2012 Oct 15;303(8):C872-82
mTORC1 and mTORC2 regulate EMT, motility, and metastasis of colorectal cancer via RhoA and Rac1 signaling pathways.
Gulhati P, Bowen KA, Liu J, Stevens PD, Rychahou PG, Chen M, Lee EY, Weiss HL, O'Connor KL, Gao T, Evers BM
Cancer research 2011 May 1;71(9):3246-56
Cancer research 2011 May 1;71(9):3246-56
Contribution of human amniotic fluid stem cells to renal tissue formation depends on mTOR.
Siegel N, Rosner M, Unbekandt M, Fuchs C, Slabina N, Dolznig H, Davies JA, Lubec G, Hengstschläger M
Human molecular genetics 2010 Sep 1;19(17):3320-31
Human molecular genetics 2010 Sep 1;19(17):3320-31
Targeted inhibition of mammalian target of rapamycin signaling inhibits tumorigenesis of colorectal cancer.
Gulhati P, Cai Q, Li J, Liu J, Rychahou PG, Qiu S, Lee EY, Silva SR, Bowen KA, Gao T, Evers BM
Clinical cancer research : an official journal of the American Association for Cancer Research 2009 Dec 1;15(23):7207-16
Clinical cancer research : an official journal of the American Association for Cancer Research 2009 Dec 1;15(23):7207-16
Rictor and integrin-linked kinase interact and regulate Akt phosphorylation and cancer cell survival.
McDonald PC, Oloumi A, Mills J, Dobreva I, Maidan M, Gray V, Wederell ED, Bally MB, Foster LJ, Dedhar S
Cancer research 2008 Mar 15;68(6):1618-24
Cancer research 2008 Mar 15;68(6):1618-24
A Rictor-Myo1c complex participates in dynamic cortical actin events in 3T3-L1 adipocytes.
Hagan GN, Lin Y, Magnuson MA, Avruch J, Czech MP
Molecular and cellular biology 2008 Jul;28(13):4215-26
Molecular and cellular biology 2008 Jul;28(13):4215-26
HLA class I antibody-mediated endothelial cell proliferation via the mTOR pathway.
Jindra PT, Jin YP, Rozengurt E, Reed EF
Journal of immunology (Baltimore, Md. : 1950) 2008 Feb 15;180(4):2357-66
Journal of immunology (Baltimore, Md. : 1950) 2008 Feb 15;180(4):2357-66
HLA class I antibody-mediated endothelial cell proliferation via the mTOR pathway.
Jindra PT, Jin YP, Rozengurt E, Reed EF
Journal of immunology (Baltimore, Md. : 1950) 2008 Feb 15;180(4):2357-66
Journal of immunology (Baltimore, Md. : 1950) 2008 Feb 15;180(4):2357-66
mTORC1 promotes survival through translational control of Mcl-1.
Mills JR, Hippo Y, Robert F, Chen SM, Malina A, Lin CJ, Trojahn U, Wendel HG, Charest A, Bronson RT, Kogan SC, Nadon R, Housman DE, Lowe SW, Pelletier J
Proceedings of the National Academy of Sciences of the United States of America 2008 Aug 5;105(31):10853-8
Proceedings of the National Academy of Sciences of the United States of America 2008 Aug 5;105(31):10853-8
Rapamycin limits formation of active eukaryotic initiation factor 4F complex following meal feeding in rat hearts.
Vary TC, Deiter G, Lynch CJ
The Journal of nutrition 2007 Aug;137(8):1857-62
The Journal of nutrition 2007 Aug;137(8):1857-62
Nutrient-dependent multimerization of the mammalian target of rapamycin through the N-terminal HEAT repeat region.
Takahara T, Hara K, Yonezawa K, Sorimachi H, Maeda T
The Journal of biological chemistry 2006 Sep 29;281(39):28605-14
The Journal of biological chemistry 2006 Sep 29;281(39):28605-14
Identification of Sin1 as an essential TORC2 component required for complex formation and kinase activity.
Yang Q, Inoki K, Ikenoue T, Guan KL
Genes & development 2006 Oct 15;20(20):2820-32
Genes & development 2006 Oct 15;20(20):2820-32
No comments: Submit comment
Supportive validation
- Submitted by
- Novus Biologicals (provider)
- Main image

- Experimental details
- Western Blot: Rictor Antibody [NB100-612] - Detection of Human and Mouse Rictor by Western Blot and Human Rictor by Immunoprecipitation. Samples: Whole cell lysate from HeLa (0.5, 1, 2.5 and 5 ug for WB; 1 mg for IP, 1/4 of IP reaction loaded) and NIH3T3 (M, 50 ug) cells. Antibodies: NB100-612 used at 0.04 ug/ml for WB (A and B) and at 3 ug/mg lysate for IP (B). Rictor was also immunoprecipitated by NB100-611 and to a lesser degree by another Rictor antibody. Normal rabbit IgG was used as a negative control for IP reactions. Detection: Chemiluminescence with exposure times of less than 5 minutes.
- Submitted by
- Novus Biologicals (provider)
- Main image

- Experimental details
- Western Blot: Rictor Antibody [NB100-612] - Detection of RICTOR on SKOV3 whole cell lysate, treated with PEITC. Image courtesy of product review by Parul Gupta (Texas Tech University Health Sciences Center).
- Submitted by
- Novus Biologicals (provider)
- Main image

- Experimental details
- Western Blot: Rictor Antibody [NB100-612] - Whole cell lysate from HeLa (15 and 50 ug), 293T (50ug), and Jurkat 50ug) cells. Antibodies: Affinity purified rabbit anti-Rictor antibody used for WB at 0.1 ug/ml. Detection: Chemiluminescence with an exposure time of 30 seconds.
- Submitted by
- Novus Biologicals (provider)
- Main image

- Experimental details
- Western Blot: Rictor Antibody [NB100-612] - Whole cell lysate from NIH3T3 (50ug) and TCKM (50ug) cells. Antibodies: Affinity purified rabbit anti-Rictor antibody used for WB at 0.1 ug/ml. Detection: Chemiluminescence with an exposure time of 30 seconds.
- Submitted by
- Novus Biologicals (provider)
- Main image

- Experimental details
- Western Blot: Rictor Antibody [NB100-612] - Whole cell lysate (50 ug) from HeLa, HEK293T, and Jurkat cells prepared using NETN lysis buffer. Antibody: Affinity purified rabbit anti-Rictor antibody used for WB at 0.1 ug/ml. Detection: Chemiluminescence with an exposure time of 30 seconds.
- Submitted by
- Novus Biologicals (provider)
- Main image

- Experimental details
- Western Blot: Rictor Antibody [NB100-612] - Whole cell lysate (50 ug) from TCMK-1 and NIH 3T3 cells prepared using NETN lysis buffer. Antibody: Affinity purified rabbit anti-Rictor antibody used for WB at 0.1 ug/ml. Detection: Chemiluminescence with an exposure time of 3 minutes.
- Submitted by
- Novus Biologicals (provider)
- Main image

- Experimental details
- Western Blot: Rictor Antibody [NB100-612] - mTOR complex protein expressions & rictor phosphorylation at Ser1235. Cardiomyocytes were pretreated for 30 min with 20 nM rapamycin, then stimulated with 10 nM IGF-1 in presence/absence of 10 nM E2 for 24 h. Western blots for GSK3beta-pS9, GSK3beta, rictor pS1235 and rictor. At least 3 independent experiments indicate that rictor phosphorylation at S1235 by GSK-3beta downregulates mTORC2 activity. IGF-1 induced strong phosphorylation of GSK-3beta at Ser9 in the absence and presence of E2. Rapamycin pretreatment reduced phosphorylation in E2 co-treated cardiomyocytes, indicating increased activity of GSK-3beta, which was not associated with increased phosphorylation of rictor at S1235. Image collected and cropped by CiteAb from the following publication (http://dx.plos.org/10.1371/journal.pone.0123385), licensed under a CC-BY licence.
- Submitted by
- Novus Biologicals (provider)
- Main image

- Experimental details
- Western Blot: Rictor Antibody [NB100-612] - mTOR complex protein expressions and rictor phosphorylation at Ser1235.Cardiomyocytes were pretreated for 30 min with 20 nM rapamycin and then stimulated with 10 nM IGF-1 in presence or absence of 10 nM E2 for 24 h. A, shown are representative western blots for mTOR, rictor and raptor; quantitative analysis was performed with mean +/- SEM of fold stimulation by IGF-1 of at least 3 independently performed experiments. Image collected and cropped by CiteAb from the following publication (http://dx.plos.org/10.1371/journal.pone.0123385), licensed under a CC-BY licence.
Supportive validation
- Submitted by
- Novus Biologicals (provider)
- Main image

- Experimental details
- Immunoprecipitation: Rictor Antibody [NB100-612] - Detection of human Rictor by western blot of immunoprecipitates. Samples: Whole cell lysate (1.0 mg per IP reaction; 20% of IP loaded) from HeLa cells prepared using NETN lysis buffer. Antibodies: Affinity purified rabbit anti-Rictor antibody NB100-612 (lot NB100-612-4) used for IP at 3 ug per reaction. Rictor was also immunoprecipitated by a previous lot of this antibody (lot NB100-612-3) and rabbit anti-Rictor antibody NB100-611. For blotting immunoprecipitated Rictor, NB100-612 was used at 1 ug/ml. Detection: Chemiluminescence with an exposure time of 10 seconds.
Supportive validation
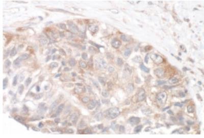
- Submitted by
- Novus Biologicals (provider)
- Main image

- Experimental details
- Immunohistochemistry-Paraffin: Rictor Antibody [NB100-612] - Human lung carcinoma. Antibody: Affinity purified rabbit anti-Rictor used at a dilution of 1:1,000 (1ug/ml). Detection: DAB