Antibody data
- Antibody Data
- Antigen structure
- References [0]
- Comments [0]
- Validations
- Western blot [2]
- Immunohistochemistry [11]
Submit
Validation data
Reference
Comment
Report error
- Product number
- NBP1-88477 - Provider product page

- Provider
- Novus Biologicals
- Proper citation
- Novus Cat#NBP1-88477, RRID:AB_11046342
- Product name
- Rabbit Polyclonal C1GALT1 Antibody
- Antibody type
- Polyclonal
- Description
- Immunogen affinity purified. Specificity of human C1GALT1 antibody verified on a Protein Array containing target protein plus 383 other non-specific proteins.
- Reactivity
- Human
- Host
- Rabbit
- Isotype
- IgG
- Vial size
- 0.1 ml
- Storage
- Store at 4C short term. Aliquot and store at -20C long term. Avoid freeze-thaw cycles.
No comments: Submit comment
Supportive validation
- Submitted by
- Novus Biologicals (provider)
- Main image

- Experimental details
- Western Blot: C1GALT1 Antibody [NBP1-88477] - Lane 1: Marker [kDa] 230, 130, 95, 72, 56, 36, 28, 17, 11. Lane 2: Human cell line RT-4. Lane 3: Human cell line U-251MG sp. Lane 4: Human plasma (IgG/HSA depleted). Lane 5: Human liver tissue. Lane 6: Human tonsil tissue
- Submitted by
- Novus Biologicals (provider)
- Main image

- Experimental details
- Western Blot: C1GALT1 Antibody [NBP1-88477] - Analysis in human cell lines U2OS and HEK293 using anti-C1GALT1 antibody. Corresponding C1GALT1 RNA-seq data are presented for the same cell lines. Loading control: anti-HSP90B1.
Supportive validation
- Submitted by
- Novus Biologicals (provider)
- Main image

- Experimental details
- Immunohistochemistry-Paraffin: C1GALT1 Antibody [NBP1-88477] - Staining of human kidney shows strong cytoplasmic positivity in cells in tubules.
- Submitted by
- Novus Biologicals (provider)
- Main image

- Experimental details
- Immunohistochemistry-Paraffin: C1GALT1 Antibody [NBP1-88477] - Staining of human cerebral cortex.
- Submitted by
- Novus Biologicals (provider)
- Main image

- Experimental details
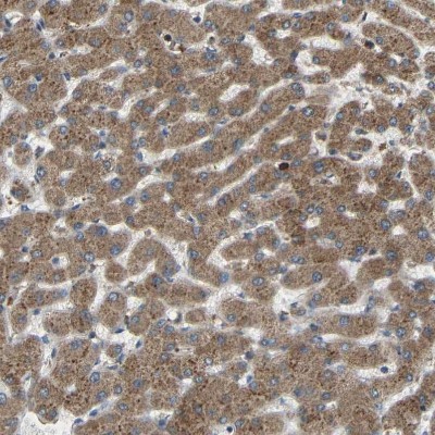
- Immunohistochemistry-Paraffin: C1GALT1 Antibody [NBP1-88477] - Staining of human liver.
- Submitted by
- Novus Biologicals (provider)
- Main image

- Experimental details
- Immunohistochemistry-Paraffin: C1GALT1 Antibody [NBP1-88477] - Staining of human parathyroid gland.
- Submitted by
- Novus Biologicals (provider)
- Main image

- Experimental details
- Immunohistochemistry-Paraffin: C1GALT1 Antibody [NBP1-88477] - Staining of human kidney.
- Submitted by
- Novus Biologicals (provider)
- Main image

- Experimental details
- Immunohistochemistry-Paraffin: C1GALT1 Antibody [NBP1-88477] - Staining of human cerebral cortex shows strong positivity in neuropil.
- Submitted by
- Novus Biologicals (provider)
- Main image

- Experimental details
- Immunohistochemistry-Paraffin: C1GALT1 Antibody [NBP1-88477] - Staining of human cerebral cortex, kidney, liver and parathyroid gland using Anti-C1GALT1 antibody NBP1-88477 (A) shows similar protein distribution across tissues to independent antibody NBP1-88476 (B).
- Submitted by
- Novus Biologicals (provider)
- Main image

- Experimental details
- Immunohistochemistry-Paraffin: C1GALT1 Antibody [NBP1-88477] - Staining of human kidney shows moderate to strong cytoplasmic positivity in cells in tubules.
- Submitted by
- Novus Biologicals (provider)
- Main image

- Experimental details
- Immunohistochemistry-Paraffin: C1GALT1 Antibody [NBP1-88477] - Staining of human liver shows moderate cytoplasmic positivity in hepatocytes.
- Submitted by
- Novus Biologicals (provider)
- Main image

- Experimental details
- Immunohistochemistry-Paraffin: C1GALT1 Antibody [NBP1-88477] - Staining of human parathyroid gland shows strong cytoplasmic positivity in glandular cells.
- Submitted by
- Novus Biologicals (provider)
- Main image

- Experimental details
- Immunohistochemistry-Paraffin: C1GALT1 Antibody [NBP1-88477] - Staining of human placenta shows strong cytoplasmic positivity in trophoblastic cells.