Antibody data
- Antibody Data
- Antigen structure
- References [0]
- Comments [0]
- Validations
- Western blot [1]
- Immunocytochemistry [1]
- Immunohistochemistry [7]
- Flow cytometry [3]
Submit
Validation data
Reference
Comment
Report error
- Product number
- TA504240 - Provider product page

- Provider
- Invitrogen Antibodies
- Product name
- TLE2 Monoclonal Antibody (OTI5A6), TrueMAB™
- Antibody type
- Monoclonal
- Antigen
- Recombinant full-length protein
- Reactivity
- Human
- Host
- Mouse
- Isotype
- IgG
- Antibody clone number
- OTI5A6
- Vial size
- 100 µL
- Concentration
- 0.85 mg/mL
- Storage
- -20° C, Avoid Freeze/Thaw Cycles
No comments: Submit comment
Supportive validation
- Submitted by
- Invitrogen Antibodies (provider)
- Main image

- Experimental details
- HEK293T cells were transfected with the pCMV6-ENTRY control (Left lane) or pCMV6-ENTRY TLE2 (RC202474, Right lane) cDNA for 48 hrs and lysed. Equivalent amounts of cell lysates (5 µg per lane) were separated by SDS-PAGE and immunoblotted with anti-TLE2. Positive lysates LY401124 (100 µg) and LC401124 (20 µg) can be purchased separately from OriGene.
Supportive validation
- Submitted by
- Invitrogen Antibodies (provider)
- Main image

- Experimental details
- Anti-TLE2 mouse monoclonal antibody (TA504240) immunofluorescent staining of COS7 cells transiently transfected by pCMV6-ENTRY TLE2(RC202474).
Supportive validation
- Submitted by
- Invitrogen Antibodies (provider)
- Main image

- Experimental details
- Immunohistochemical staining of paraffin-embedded human pancreas tissue within the normal limits using anti-TLE2 mouse monoclonal antibody. (TA504240)
- Submitted by
- Invitrogen Antibodies (provider)
- Main image

- Experimental details
- Immunohistochemical staining of paraffin-embedded Adenocarcinoma of Human endometrium tissue using anti-TLE2 mouse monoclonal antibody. (TA504240)
- Submitted by
- Invitrogen Antibodies (provider)
- Main image

- Experimental details
- Immunohistochemical staining of paraffin-embedded human tonsil within the normal limits using anti-TLE2 mouse monoclonal antibody. (TA504240)
- Submitted by
- Invitrogen Antibodies (provider)
- Main image

- Experimental details
- Immunohistochemical staining of paraffin-embedded human Kidney tissue within the normal limits using anti-TLE2 mouse monoclonal antibody. (TA504240)
- Submitted by
- Invitrogen Antibodies (provider)
- Main image

- Experimental details
- Immunohistochemical staining of paraffin-embedded Carcinoma of Human kidney tissue using anti-TLE2 mouse monoclonal antibody. (TA504240)
- Submitted by
- Invitrogen Antibodies (provider)
- Main image

- Experimental details
- Immunohistochemical staining of paraffin-embedded human liver tissue within the normal limits using anti-TLE2 mouse monoclonal antibody. (TA504240)
- Submitted by
- Invitrogen Antibodies (provider)
- Main image

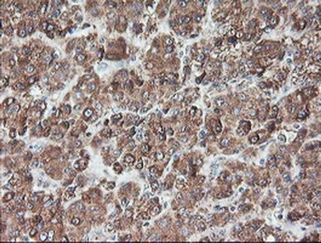
- Experimental details
- Immunohistochemical staining of paraffin-embedded Carcinoma of Human liver tissue using anti-TLE2 mouse monoclonal antibody. (TA504240)
Supportive validation
- Submitted by
- Invitrogen Antibodies (provider)
- Main image

- Experimental details
- Flow cytometric analysis of Hela cells, using anti-TLE2 antibody (TA504240), (Red), compared to a nonspecific negative control antibody, (Blue).
- Submitted by
- Invitrogen Antibodies (provider)
- Main image

- Experimental details
- HEK293T cells transfected with either RC202474 overexpress plasmid (Red) or empty vector control plasmid (Blue) were immunostained by anti-TLE2 antibody (TA504240), and then analyzed by flow cytometry.
- Submitted by
- Invitrogen Antibodies (provider)
- Main image

- Experimental details
- Flow cytometric analysis of Jurkat cells, using anti-TLE2 antibody (TA504240), (Red), compared to a nonspecific negative control antibody, (Blue).