Antibody data
- Antibody Data
- Antigen structure
- References [0]
- Comments [0]
- Validations
- Western blot [1]
- Immunocytochemistry [1]
- Immunohistochemistry [1]
Submit
Validation data
Reference
Comment
Report error
- Product number
- PA5-60203 - Provider product page

- Provider
- Invitrogen Antibodies
- Product name
- CLCN7 Polyclonal Antibody
- Antibody type
- Polyclonal
- Antigen
- Recombinant full-length protein
- Description
- Immunogen sequence: LYDMHIQLQS VPFLHWEAPV TSHSLTAREV MSTPVTCLRR REKVGVIVDV LSDTASNHNG FPVVEHADDT QPARLQGLIL RSQLIVLLKH KVFVERS Highest antigen sequence identity to the following orthologs: Mouse - 96%, Rat - 96%.
- Reactivity
- Human
- Host
- Rabbit
- Isotype
- IgG
- Vial size
- 100 µL
- Concentration
- 0.1 mg/mL
- Storage
- Store at 4°C short term. For long term storage, store at -20°C, avoiding freeze/thaw cycles.
No comments: Submit comment
Supportive validation
- Submitted by
- Invitrogen Antibodies (provider)
- Main image

- Experimental details
- Western blot analysis of CLCN7 in control (vector only transfected HEK293T lysate) and CLCN7 over-expression lysate (Co-expressed with a C-terminal myc-DDK tag (~3.1 kDa) in mammalian HEK293T cells). Samples were probed using a CLCN7 Polyclonal Antibody (Product # PA5-60203).
Supportive validation
- Submitted by
- Invitrogen Antibodies (provider)
- Main image

- Experimental details
- Immunofluorescent staining of CLCN7 in human cell line A549 shows positivity in nucleus but excluded from the nucleoli. Samples were probed using a CLCN7 Polyclonal Antibody (Product # PA5-60203).
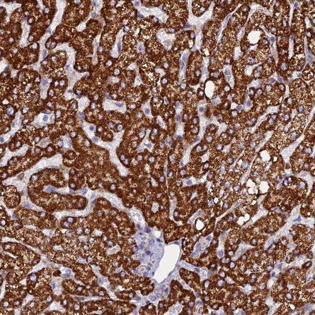
Supportive validation
- Submitted by
- Invitrogen Antibodies (provider)
- Main image

- Experimental details
- Immunohistochemical staining of CLCN7 in human liver tissue shows strong cytoplasmic positivity in hepatocytes. Samples were probed using a CLCN7 Polyclonal Antibody (Product # PA5-60203).