Antibody data
- Antibody Data
- Antigen structure
- References [0]
- Comments [0]
- Validations
- Western blot [1]
- Immunocytochemistry [1]
- Immunohistochemistry [4]
Submit
Validation data
Reference
Comment
Report error
- Product number
- PA5-120179 - Provider product page

- Provider
- Invitrogen Antibodies
- Product name
- Thioredoxin 2 Polyclonal Antibody
- Antibody type
- Polyclonal
- Antigen
- Recombinant full-length protein
- Description
- Immunohistochemistry (PFA fixed): incubate antibody for 30 min RT. Staining of formalin-fixed tissues requires heating tissue sections in 10mM Tris with 1mM EDTA, pH 9.0, for 45 min at 95 degrees C followed by cooling at RT for 20 minutes.
- Reactivity
- Human
- Host
- Rabbit
- Isotype
- IgG
- Vial size
- 100 µL
- Concentration
- 1.37 mg/mL
- Storage
- -20° C, Avoid Freeze/Thaw Cycles
No comments: Submit comment
Supportive validation
- Submitted by
- Invitrogen Antibodies (provider)
- Main image

- Experimental details
- Western Blot analysis of Thioredoxin 2 in various cell lines using a Thioredoxin 2 Polyclonal antibody (Product # PA5-120179) at a dilution of 1:1,000. 25 µg of lysate or protein were loaded into each lane. A blocking buffer of 3% nonfat dry milk in TBST was used. An HRP conjugated Goat Anti-Rabbit IgG (H+L) secondary antibody was used at a 1:10,000 dilution. Chemiluminescent detection was performed for 30s.
Supportive validation
- Submitted by
- Invitrogen Antibodies (provider)
- Main image

- Experimental details
- Immunocytochemical analysis of Thioredoxin 2 in U2OS cells using a Thioredoxin 2 Polyclonal antibody (Product # PA5-120179). Blue: DAPI for nuclear staining.
Supportive validation
- Submitted by
- Invitrogen Antibodies (provider)
- Main image

- Experimental details
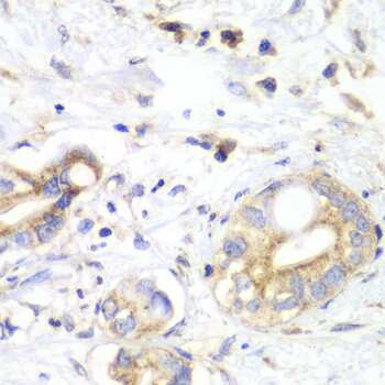
- Immunohistochemical analysis of Thioredoxin 2 in human colon carcinoma using a Polyclonal antibody (Product # PA5-120179) at a dilution of 1:100.
- Submitted by
- Invitrogen Antibodies (provider)
- Main image

- Experimental details
- Immunohistochemical analysis of Thioredoxin 2 in human colon carcinoma using a Polyclonal antibody (Product # PA5-120179) at a dilution of 1:100.
- Submitted by
- Invitrogen Antibodies (provider)
- Main image

- Experimental details
- Immunohistochemical analysis of Thioredoxin 2 in human colon carcinoma using a Polyclonal antibody (Product # PA5-120179) at a dilution of 1:100.
- Submitted by
- Invitrogen Antibodies (provider)
- Main image

- Experimental details
- Immunohistochemical analysis of Thioredoxin 2 in human colon carcinoma using a Polyclonal antibody (Product # PA5-120179) at a dilution of 1:100.