Antibody data
- Antibody Data
- Antigen structure
- References [2]
- Comments [0]
- Validations
- Western blot [2]
- Immunohistochemistry [8]
- Flow cytometry [1]
Submit
Validation data
Reference
Comment
Report error
- Product number
- NBP2-03905 - Provider product page

- Provider
- Novus Biologicals
- Product name
- Mouse Monoclonal RBPMS Antibody
- Antibody type
- Monoclonal
- Description
- Affinity purified.
- Reactivity
- Human, Mouse, Simian
- Host
- Mouse
- Isotype
- IgG
- Vial size
- 0.1 ml
- Concentration
- 1 mg/ml
- Storage
- Store at -20C. Avoid freeze-thaw cycles.
Submitted references Toll-like receptors 4, 5, 6 and 7 are constitutively expressed in non-human primate retinal neurons.
Ecel1 Knockdown With an AAV2-Mediated CRISPR/Cas9 System Promotes Optic Nerve Damage-Induced RGC Death in the Mouse Retina.
Sauter MM, Kolb AW, Brandt CR
Journal of neuroimmunology 2018 Sep 15;322:26-35
Journal of neuroimmunology 2018 Sep 15;322:26-35
Ecel1 Knockdown With an AAV2-Mediated CRISPR/Cas9 System Promotes Optic Nerve Damage-Induced RGC Death in the Mouse Retina.
Sato K, Shiga Y, Nakagawa Y, Fujita K, Nishiguchi KM, Tawarayama H, Murayama N, Maekawa S, Yabana T, Omodaka K, Katayama S, Feng Q, Tsuda S, Nakazawa T
Investigative ophthalmology & visual science 2018 Aug 1;59(10):3943-3951
Investigative ophthalmology & visual science 2018 Aug 1;59(10):3943-3951
No comments: Submit comment
Supportive validation
- Submitted by
- Novus Biologicals (provider)
- Main image

- Experimental details
- Western Blot: RBPMS Antibody (3B7) [NBP2-03905] - HEK293T cells were transfected with the pCMV6-ENTRY control (Left lane) or pCMV6-ENTRY RBPMS (Right lane) cDNA for 48 hrs and lysed. Equivalent amounts of cell lysates (5 ug per lane) were separated by SDS-PAGE and immunoblotted with anti-RBPMS.
- Submitted by
- Novus Biologicals (provider)
- Main image

- Experimental details
- Western Blot: RBPMS Antibody (3B7) [NBP2-03905] Analysis of extracts (35ug) from 9 different cell lines by using anti-RBPMS monoclonal antibody (HepG2: human; HeLa: human; SVT2: mouse; A549: human; COS7: monkey; Jurkat: human; MDCK: canine; PC12: rat; MCF7: human).
Supportive validation
- Submitted by
- Novus Biologicals (provider)
- Main image

- Experimental details
- Immunohistochemistry-Paraffin: RBPMS Antibody (3B7) [NBP2-03905] - Staining of paraffin-embedded Adenocarcinoma of Human endometrium tissue using anti-RBPMS mouse monoclonal antibody.
- Submitted by
- Novus Biologicals (provider)
- Main image

- Experimental details
- Immunohistochemistry-Paraffin: RBPMS Antibody (3B7) [NBP2-03905] - Staining of paraffin-embedded Adenocarcinoma of Human ovary tissue using anti-RBPMS mouse monoclonal antibody.
- Submitted by
- Novus Biologicals (provider)
- Main image

- Experimental details
- Immunohistochemistry-Paraffin: RBPMS Antibody (3B7) [NBP2-03905] - Staining of paraffin-embedded Carcinoma of Human kidney tissue using anti-RBPMS mouse monoclonal antibody.
- Submitted by
- Novus Biologicals (provider)
- Main image

- Experimental details
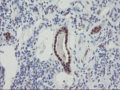
- Immunohistochemistry-Paraffin: RBPMS Antibody (3B7) [NBP2-03905] - Staining of paraffin-embedded Human Kidney tissue using anti-RBPMS mouse monoclonal antibody.
- Submitted by
- Novus Biologicals (provider)
- Main image

- Experimental details
- Immunohistochemistry-Paraffin: RBPMS Antibody (3B7) [NBP2-03905] - Staining of paraffin-embedded Human lung tissue using anti-RBPMS mouse monoclonal antibody.
- Submitted by
- Novus Biologicals (provider)
- Main image

- Experimental details
- Immunohistochemistry-Paraffin: RBPMS Antibody (3B7) [NBP2-03905] - Staining of paraffin-embedded Human pancreas tissue using anti-RBPMS mouse monoclonal antibody.
- Submitted by
- Novus Biologicals (provider)
- Main image

- Experimental details
- Immunohistochemistry-Paraffin: RBPMS Antibody (3B7) [NBP2-03905] - Staining of paraffin-embedded Human prostate tissue using anti-RBPMS mouse monoclonal antibody.
- Submitted by
- Novus Biologicals (provider)
- Main image

- Experimental details
- Immunohistochemistry-Paraffin: RBPMS Antibody (3B7) [NBP2-03905] - Human tonsil.
Supportive validation
- Submitted by
- Novus Biologicals (provider)
- Main image

- Experimental details
- Flow Cytometry: RBPMS Antibody (3B7) [NBP2-03905] - HEK293T cells transfected with either overexpression plasmid (Red) or empty vector control plasmid (Blue) were immunostained by anti-RBPMS antibody, and then analyzed by flow cytometry.