PA5-25747
antibody from Invitrogen Antibodies
Targeting: KCNJ6
BIR1, GIRK2, hiGIRK2, KATP2, KCNJ7, Kir3.2
Antibody data
- Antibody Data
- Antigen structure
- References [0]
- Comments [0]
- Validations
- Immunohistochemistry [1]
- Flow cytometry [1]
Submit
Validation data
Reference
Comment
Report error
- Product number
- PA5-25747 - Provider product page

- Provider
- Invitrogen Antibodies
- Product name
- Anti-KCNJ6 Polyclonal Antibody
- Antibody type
- Polyclonal
- Antigen
- Synthetic peptide
- Description
- This antibody is predicted to react with bovine, mouse, non-human primate and rat based on sequence homology.
- Reactivity
- Human
- Host
- Rabbit
- Isotype
- IgG
- Vial size
- 400 µL
- Concentration
- Lot Dependent
- Storage
- -20° C, Avoid Freeze/Thaw Cycles
No comments: Submit comment
Supportive validation
- Submitted by
- Invitrogen Antibodies (provider)
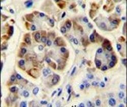
- Main image

- Experimental details
- Immunohistochemistry analysis in formalin-fixed, paraffin-embedded human pancreas tissue using a KCNJ6 polyclonal antibody (Product # PA5-25747), followed by HRP-conjugated secondary antibody and DAB staining.
Supportive validation
- Submitted by
- Invitrogen Antibodies (provider)
- Main image

- Experimental details
- Flow cytometry analysis of K562 cells using a KCNJ6 polyclonal antibody (Product # PA5-25747) (right) compared to a negative control cell (left) at a dilution of 1:10-50, followed by a FITC-conjugated goat anti-rabbit antibody