Antibody data
- Antibody Data
- Antigen structure
- References [0]
- Comments [0]
- Validations
- Western blot [1]
- Immunocytochemistry [1]
- Immunohistochemistry [12]
- Other assay [1]
Submit
Validation data
Reference
Comment
Report error
- Product number
- UM500090 - Provider product page

- Provider
- Invitrogen Antibodies
- Product name
- MRPS34 Monoclonal Antibody (UMAB125), UltraMAB™
- Antibody type
- Monoclonal
- Antigen
- Recombinant full-length protein
- Reactivity
- Human
- Host
- Mouse
- Isotype
- IgG
- Antibody clone number
- UMAB125
- Vial size
- 100 µL
- Concentration
- 0.5-1.0 mg/mL
- Storage
- -20° C, Avoid Freeze/Thaw Cycles
No comments: Submit comment
Supportive validation
- Submitted by
- Invitrogen Antibodies (provider)
- Main image

- Experimental details
- Western blot of cell lysates (35 µg) from 9 different cell lines (1: HepG2, 2: HeLa, 3: SV-T2, 4: A549. 5: COS7, 6: Jurkat, 7: MDCK, 8: PC-12, 9: MCF7).
Supportive validation
- Submitted by
- Invitrogen Antibodies (provider)
- Main image

- Experimental details
- Immunofluorescent staining of HeLa cells using anti-MRPS34 mouse monoclonal antibody (UM500090, green, 1:100). Actin filaments were labeled with Alexa Fluor 594 Phalloidin (red), and nuclear with DAPI (blue).
Supportive validation
- Submitted by
- Invitrogen Antibodies (provider)
- Main image

- Experimental details
- Immunohistochemical staining of paraffin-embedded human colon cancer using anti-MRPS34 clone UMAB125 mouse monoclonal antibody at 1:200 dilution 1mg/mL and detection with Polink2 Broad HRP DAB. UM500090 requires heat-induced epitope retrieval with citrate pH6.0 in a presure cooker for 3 minutes at 110°C. The image shows membranous and cytoplasmic staining in the tumor cells.
- Submitted by
- Invitrogen Antibodies (provider)
- Main image

- Experimental details
- Immunohistochemical staining of paraffin-embedded human colon normal adjacent using anti-MRPS34 clone UMAB125 mouse monoclonal antibody at 1:200 dilution 1mg/mL and detection with Polink2 Broad HRP DAB. UM500090 requires heat-induced epitope retrieval with citrate pH6.0 in a presure cooker for 3 minutes at 110°C. The image shows membranous and cytoplasmic staining in the normal epithelia cells.
- Submitted by
- Invitrogen Antibodies (provider)
- Main image

- Experimental details
- Immunohistochemical staining of paraffin-embedded human kidney normal adjacent using anti-MRPS34 clone UMAB125 mouse monoclonal antibody at 1:200 dilution 1mg/mL and detection with Polink2 Broad HRP DAB. UM500090 requires heat-induced epitope retrieval with citrate pH6.0 in a presure cooker for 3 minutes at 110°C. The image shows membranous and cytoplasmic staining in the normal kidney epithelia cells.
- Submitted by
- Invitrogen Antibodies (provider)
- Main image

- Experimental details
- Immunohistochemical staining of paraffin-embedded human liver normal adjacent using anti-MRPS34 clone UMAB125 mouse monoclonal antibody at 1:200 dilution 1mg/mL and detection with Polink2 Broad HRP DAB. UM500090 requires heat-induced epitope retrieval with citrate pH6.0 in a presure cooker for 3 minutes at 110°C. The image shows membranous and puntate cytoplasmic staining in hepatocyte cells.
- Submitted by
- Invitrogen Antibodies (provider)
- Main image

- Experimental details
- Immunohistochemical staining of paraffin-embedded human lung cancer using anti-MRPS34 clone UMAB125 mouse monoclonal antibody at 1:200 dilution 1mg/mL and detection with Polink2 Broad HRP DAB. UM500090 requires heat-induced epitope retrieval with citrate pH6.0 in a presure cooker for 3 minutes at 110°C. The image shows membranous and cytoplasmic staining in tumor cells.
- Submitted by
- Invitrogen Antibodies (provider)
- Main image

- Experimental details
- Immunohistochemical staining of paraffin-embedded human thyroid cancer using anti-MRPS34 clone UMAB125 mouse monoclonal antibody at 1:200 dilution 1mg/mL and detection with Polink2 Broad HRP DAB. UM500090 requires heat-induced epitope retrieval with citrate pH6.0 in a presure cooker for 3 minutes at 110°C. The image shows membranous and cytoplasmic staining in tumor cells.
- Submitted by
- Invitrogen Antibodies (provider)
- Main image

- Experimental details
- Immunohistochemical staining of paraffin-embedded human breast normal adjacent using anti-MRPS34 clone UMAB125 mouse monoclonal antibody at 1:200 dilution 1mg/mL and detection with Polink2 Broad HRP DAB. UM500090 requires heat-induced epitope retrieval with citrate pH6.0 in a presure cooker for 3 minutes at 110°C. The image shows membranous and cytoplasmic staining in breast epithelia cells.
- Submitted by
- Invitrogen Antibodies (provider)
- Main image

- Experimental details
- Immunohistochemical staining of paraffin-embedded human brain using anti-MRPS34 clone UMAB125 mouse monoclonal antibody at 1:200 dilution 1mg/mL and detection with Polink2 Broad HRP DAB. UM500090 requires heat-induced epitope retrieval with citrate pH6.0 in a presure cooker for 3 minutes at 110°C. The image shows membranous and cytoplasmic staining in.
- Submitted by
- Invitrogen Antibodies (provider)
- Main image

- Experimental details
- Immunohistochemical staining of paraffin-embedded human pituitary using anti-MRPS34 clone UMAB125 mouse monoclonal antibody at 1:200 dilution 1mg/mL and detection with Polink2 Broad HRP DAB. UM500090 requires heat-induced epitope retrieval with citrate pH6.0 in a presure cooker for 3 minutes at 110°C. The image shows membranous and cytoplasmic staining in breast epithelia cells.
- Submitted by
- Invitrogen Antibodies (provider)
- Main image

- Experimental details
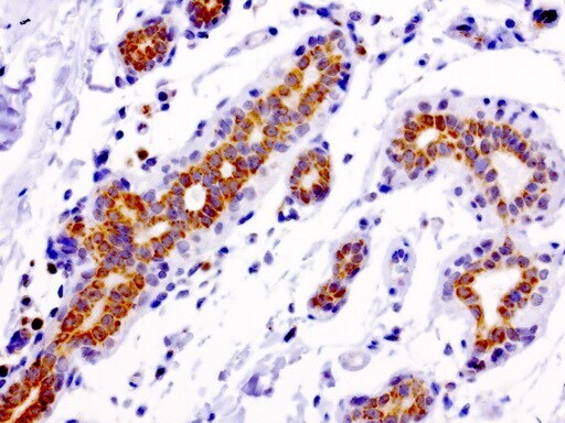
- Immunohistochemical staining of paraffin-embedded Carcinoma of Human pancreas tissue using anti-MRPS34 mouse monoclonal antibody. (UM500090; heat-induced epitope retrieval by 10mM citric buffer, pH6.0, 120°C for 3min)
- Submitted by
- Invitrogen Antibodies (provider)
- Main image

- Experimental details
- Immunohistochemical staining of paraffin-embedded Adenocarcinoma of Human colon tissue using anti-MRPS34 mouse monoclonal antibody. (UM500090; heat-induced epitope retrieval by 10mM citric buffer, pH6.0, 120°C for 3min)
- Submitted by
- Invitrogen Antibodies (provider)
- Main image

- Experimental details
- Immunohistochemical staining of paraffin-embedded Carcinoma of Human liver tissue using anti-MRPS34mouse monoclonal antibody. (UM500090; heat-induced epitope retrieval by 10mM citric buffer, pH6.0, 120°C for 3min)
Supportive validation
- Submitted by
- Invitrogen Antibodies (provider)
- Main image

- Experimental details
- OriGene overexpression protein microarray chip was immunostained with UltraMAB anti-MRPS34 mouse monoclonal antibody (UM500090). The positive reactive proteins are highlighted with two red arrows in the enlarged subarray. All the positive controls spotted in this subarray are also labeled for clarification.