Antibody data
- Antibody Data
- Antigen structure
- References [0]
- Comments [0]
- Validations
- Western blot [1]
- Immunocytochemistry [1]
- Immunohistochemistry [2]
Submit
Validation data
Reference
Comment
Report error
- Product number
- 21085-1-AP - Provider product page

- Provider
- Proteintech Group
- Product name
- TBC1D19 antibody
- Antibody type
- Polyclonal
- Description
- TBC1D19 antibody (Cat. #21085-1-AP) is a rabbit polyclonal antibody that shows reactivity with human, mouse, rat and has been validated for the following applications: IF, IHC, WB,ELISA.
- Reactivity
- Human, Mouse, Rat
- Host
- Rabbit
- Conjugate
- Unconjugated
- Isotype
- IgG
- Vial size
- 20ul, 150ul
No comments: Submit comment
Supportive validation
- Submitted by
- Proteintech Group (provider)
- Main image

- Experimental details
- mouse brain tissue were subjected to SDS PAGE followed by western blot with 21085-1-AP( TBC1D19 Antibody) at dilution of 1:300
- Validation comment
- WB
Supportive validation
- Submitted by
- Proteintech Group (provider)
- Main image

- Experimental details
- Immunofluorescent analysis of HepG2 cells using 21085-1-AP( TBC1D19 Antibody) at dilution of 1:50 and Alexa Fluor 488-congugated AffiniPure Goat Anti-Rabbit IgG(H+L)
- Validation comment
- IF
Supportive validation
Supportive validation
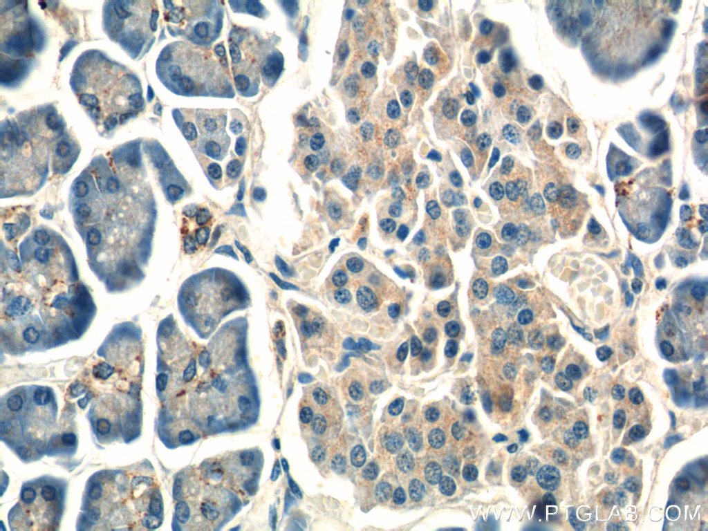
- Submitted by
- Proteintech Group (provider)
- Main image

- Experimental details
- Immunohistochemistry of paraffin-embedded human pancreas tissue slide using 21085-1-AP( TBC1D19 Antibody) at dilution of 1:50 (under 10x lens)
- Validation comment
- IHC
Supportive validation
- Submitted by
- Proteintech Group (provider)
- Main image

- Experimental details
- Immunohistochemistry of paraffin-embedded human pancreas tissue slide using 21085-1-AP( TBC1D19 Antibody) at dilution of 1:50 (under 40x lens)
- Validation comment
- IHC