12024-1-AP
antibody from Proteintech Group
Targeting: NUSAP1
ANKT, BM037, FLJ13421, LNP, PRO0310p1, Q0310, SAPL
Antibody data
- Antibody Data
- Antigen structure
- References [40]
- Comments [0]
- Validations
- Western blot [1]
- Immunocytochemistry [1]
- Immunohistochemistry [1]
Submit
Validation data
Reference
Comment
Report error
- Product number
- 12024-1-AP - Provider product page

- Provider
- Proteintech Group
- Proper citation
- Proteintech Cat#12024-1-AP, RRID:AB_2157789
- Product name
- NUSAP1 antibody
- Antibody type
- Polyclonal
- Description
- KD/KO validated NUSAP1 antibody (Cat. #12024-1-AP) is a rabbit polyclonal antibody that shows reactivity with human, mouse, rat and has been validated for the following applications: IF, IHC, IP, WB,ELISA.
- Reactivity
- Human, Mouse, Rat
- Host
- Rabbit
- Conjugate
- Unconjugated
- Isotype
- IgG
- Vial size
- 20ul, 150ul
Submitted references Immunotherapeutic value of NUSAP1 associated with bladder cancer through a comprehensive analysis of 33 human cancer cases.
Unveiling NUSAP1 as a common gene signature linking chronic HBV infection and HBV-related HCC.
NUSAP1 promotes pancreatic ductal adenocarcinoma progression by drives the epithelial-mesenchymal transition and reduces AMPK phosphorylation.
Comprehensive pan-cancer analysis reveals NUSAP1 is a novel predictive biomarker for prognosis and immunotherapy response.
Expression Profile and Gene Regulation Network of NUSAP1 in Pan Cancers Based on Integrated Bioinformatics Analysis.
Bioinformatics-based screening of key genes for transformation of tyrosine kinase inhibitor-resistant lung adenocarcinoma to small cell lung cancer.
LINC01393, a Novel Long Non-Coding RNA, Promotes the Cell Proliferation, Migration and Invasion through MiR-128-3p/NUSAP1 Axis in Glioblastoma.
NUSAP1 regulates mouse oocyte meiotic maturation.
Non-canonical function of histone methyltransferase G9a in the translational regulation of chronic inflammation.
FoxM1 coordinates cell division, protein synthesis, and mitochondrial activity in a subset of β cells during acute metabolic stress.
NUSAP1 Could be a Potential Target for Preventing NAFLD Progression to Liver Cancer.
Knockdown of NUSAP1 inhibits cell proliferation and invasion through downregulation of TOP2A in human glioblastoma.
The mechanism of acentrosomal spindle assembly in human oocytes.
Identification and clinical validation of NUSAP1 as a novel prognostic biomarker in ovarian cancer.
Nucleolar and spindle‑associated protein 1 promotes non‑small cell lung cancer progression and serves as an effector of myocyte enhancer factor 2D.
AMD3465 (hexahydrobromide) rescues the MG63 osteoblasts against the apoptosis induced by high glucose.
Nucleolar and Spindle Associated Protein 1 (NUSAP1) Promotes Bladder Cancer Progression Through the TGF-β Signaling Pathway.
NUSAP1 Promotes Gastric Cancer Tumorigenesis and Progression by Stabilizing the YAP1 Protein.
RepoMan stimulates the chromosome-dependent pathway of microtubule assembly.
Novel gene-specific translation mechanism of dysregulated, chronic inflammation reveals promising, multifaceted COVID-19 therapeutics.
Single-cell transcriptome analysis reveals differential nutrient absorption functions in human intestine.
Knockdown of SP1/Syncytin1 axis inhibits the proliferation and metastasis through the AKT and ERK1/2 signaling pathways in non-small cell lung cancer.
Hepatitis B virus X protein enhances hepatocarcinogenesis by depressing the targeting of NUSAP1 mRNA by miR-18b.
Nucleolar spindle-associated protein 1 promotes tumorigenesis and predicts poor prognosis in human esophageal squamous cell carcinoma.
Downregulation of nucleolar and spindle-associated protein 1 expression suppresses liver cancer cell function.
Nucleolar and spindle-associated protein 1 is a tumor grade correlated prognosis marker for glioma patients.
High NUSAP1 expression predicts poor prognosis in colon cancer.
microRNA 193a-5p Regulates Levels of Nucleolar- and Spindle-Associated Protein 1 to Suppress Hepatocarcinogenesis.
NUSAP1 promotes invasion and metastasis of prostate cancer.
APLP2, RRM2, and PRC1: New Putative Markers for the Differential Diagnosis of Thyroid Follicular Lesions.
Targeting PI3K/mTOR signaling exerts potent antitumor activity in pheochromocytoma in vivo.
Down-Regulation of Nucleolar and Spindle-Associated Protein 1 (NUSAP1) Expression Suppresses Tumor and Cell Proliferation and Enhances Anti-Tumor Effect of Paclitaxel in Oral Squamous Cell Carcinoma.
High Levels of Nucleolar Spindle-Associated Protein and Reduced Levels of BRCA1 Expression Predict Poor Prognosis in Triple-Negative Breast Cancer.
The selective inhibition of protein phosphatase-1 results in mitotic catastrophe and impaired tumor growth.
NUSAP1 expression is upregulated by loss of RB1 in prostate cancer cells.
Enhanced protein degradation by branched ubiquitin chains.
Microtubule-dependent regulation of mitotic protein degradation.
Transcriptome analysis of MENX-associated rat pituitary adenomas identifies novel molecular mechanisms involved in the pathogenesis of human pituitary gonadotroph adenomas.
Increased expression of NuSAP in recurrent prostate cancer is mediated by E2F1.
Regulated degradation of spindle assembly factors by the anaphase-promoting complex.
Wen X, Hou J, Chu Y, Liao G, Wu G, Fang S, Xiao S, Qiu L, Xiong L
American journal of cancer research 2024;14(3):959-978
American journal of cancer research 2024;14(3):959-978
Unveiling NUSAP1 as a common gene signature linking chronic HBV infection and HBV-related HCC.
Meng J, Yang Z, Jiang X, Zou J
Discover oncology 2024 Mar 5;15(1):61
Discover oncology 2024 Mar 5;15(1):61
NUSAP1 promotes pancreatic ductal adenocarcinoma progression by drives the epithelial-mesenchymal transition and reduces AMPK phosphorylation.
Liu Y, Tang R, Meng QC, Shi S, Xu J, Yu XJ, Zhang B, Wang W
BMC cancer 2024 Jan 16;24(1):87
BMC cancer 2024 Jan 16;24(1):87
Comprehensive pan-cancer analysis reveals NUSAP1 is a novel predictive biomarker for prognosis and immunotherapy response.
Zheng H, Wang M, Zhang S, Hu D, Yang Q, Chen M, Zhang X, Zhang Y, Dai J, Liou YC
International journal of biological sciences 2023;19(14):4689-4708
International journal of biological sciences 2023;19(14):4689-4708
Expression Profile and Gene Regulation Network of NUSAP1 in Pan Cancers Based on Integrated Bioinformatics Analysis.
Zhu X, Wu Y, Liao L, Huang W, Yuan L, Huang J, Zhan Y, Liu L
International journal of general medicine 2023;16:4235-4248
International journal of general medicine 2023;16:4235-4248
Bioinformatics-based screening of key genes for transformation of tyrosine kinase inhibitor-resistant lung adenocarcinoma to small cell lung cancer.
Zhang Y, Chen Q, Huang T, Zhu D, Lu Y
Frontiers in medicine 2023;10:1203461
Frontiers in medicine 2023;10:1203461
LINC01393, a Novel Long Non-Coding RNA, Promotes the Cell Proliferation, Migration and Invasion through MiR-128-3p/NUSAP1 Axis in Glioblastoma.
Li D, Hu J, Li S, Zhou C, Feng M, Li L, Gao Y, Chen X, Wu X, Cao Y, Hao B, Chen L
International journal of molecular sciences 2023 Mar 20;24(6)
International journal of molecular sciences 2023 Mar 20;24(6)
NUSAP1 regulates mouse oocyte meiotic maturation.
Yu L, Kong N, Lin Y, Qiu P, Xu Q, Zhang Y, Zhen X, Yan G, Sun H, Mei J, Cao G
Journal of cellular biochemistry 2023 Dec;124(12):1931-1947
Journal of cellular biochemistry 2023 Dec;124(12):1931-1947
Non-canonical function of histone methyltransferase G9a in the translational regulation of chronic inflammation.
Muneer A, Wang L, Xie L, Zhang F, Wu B, Mei L, Lenarcic EM, Feng EH, Song J, Xiong Y, Yu X, Wang C, Jain K, Strahl BD, Cook JG, Wan YY, Moorman NJ, Song H, Jin J, Chen X
Cell chemical biology 2023 Dec 21;30(12):1525-1541.e7
Cell chemical biology 2023 Dec 21;30(12):1525-1541.e7
FoxM1 coordinates cell division, protein synthesis, and mitochondrial activity in a subset of β cells during acute metabolic stress.
Kobiita A, Silva PN, Schmid MW, Stoffel M
Cell reports 2023 Aug 29;42(8):112986
Cell reports 2023 Aug 29;42(8):112986
NUSAP1 Could be a Potential Target for Preventing NAFLD Progression to Liver Cancer.
Zeng T, Chen G, Qiao X, Chen H, Sun L, Ma Q, Li N, Wang J, Dai C, Xu F
Frontiers in pharmacology 2022;13:823140
Frontiers in pharmacology 2022;13:823140
Knockdown of NUSAP1 inhibits cell proliferation and invasion through downregulation of TOP2A in human glioblastoma.
Hu Y, Xue Z, Qiu C, Feng Z, Qi Q, Wang J, Jin W, Zhong Z, Liu X, Li W, Zhang Q, Huang B, Chen A, Wang J, Yang N, Zhou W
Cell cycle (Georgetown, Tex.) 2022 Sep;21(17):1842-1855
Cell cycle (Georgetown, Tex.) 2022 Sep;21(17):1842-1855
The mechanism of acentrosomal spindle assembly in human oocytes.
Wu T, Dong J, Fu J, Kuang Y, Chen B, Gu H, Luo Y, Gu R, Zhang M, Li W, Dong X, Sun X, Sang Q, Wang L
Science (New York, N.Y.) 2022 Nov 18;378(6621):eabq7361
Science (New York, N.Y.) 2022 Nov 18;378(6621):eabq7361
Identification and clinical validation of NUSAP1 as a novel prognostic biomarker in ovarian cancer.
Gou R, Zheng M, Hu Y, Gao L, Wang S, Liu O, Li X, Zhu L, Liu J, Lin B
BMC cancer 2022 Jun 23;22(1):690
BMC cancer 2022 Jun 23;22(1):690
Nucleolar and spindle‑associated protein 1 promotes non‑small cell lung cancer progression and serves as an effector of myocyte enhancer factor 2D.
Ling B, Wei P, Xiao J, Cen B, Wei H, Feng X, Ye G, Li S, Zhang Z, Liang W, Huang S, Huang W
Oncology reports 2021 Mar;45(3):1044-1058
Oncology reports 2021 Mar;45(3):1044-1058
AMD3465 (hexahydrobromide) rescues the MG63 osteoblasts against the apoptosis induced by high glucose.
Zhang Z, Wu H, Huang S, Chen L, Chen X, Zhang W, Liao L, Zhang X
Biomedicine & pharmacotherapy = Biomedecine & pharmacotherapie 2021 Jun;138:111476
Biomedicine & pharmacotherapy = Biomedecine & pharmacotherapie 2021 Jun;138:111476
Nucleolar and Spindle Associated Protein 1 (NUSAP1) Promotes Bladder Cancer Progression Through the TGF-β Signaling Pathway.
Gao S, Yin H, Tong H, Zhan K, Yang G, Hossain MA, Li T, Gou X, He W
OncoTargets and therapy 2020;13:813-825
OncoTargets and therapy 2020;13:813-825
NUSAP1 Promotes Gastric Cancer Tumorigenesis and Progression by Stabilizing the YAP1 Protein.
Guo H, Zou J, Zhou L, Zhong M, He Y, Huang S, Chen J, Li J, Xiong J, Fang Z, Xiang X
Frontiers in oncology 2020;10:591698
Frontiers in oncology 2020;10:591698
RepoMan stimulates the chromosome-dependent pathway of microtubule assembly.
De Munter S, Van der Hoeven G, Bollen M
Cell cycle (Georgetown, Tex.) 2020 Nov;19(22):3029-3041
Cell cycle (Georgetown, Tex.) 2020 Nov;19(22):3029-3041
Novel gene-specific translation mechanism of dysregulated, chronic inflammation reveals promising, multifaceted COVID-19 therapeutics.
Wang L, Muneer A, Xie L, Zhang F, Wu B, Mei L, Lenarcic EM, Feng EH, Song J, Xiong Y, Yu X, Wang C, Gheorghe C, Torralba K, Cook JG, Wan YY, Moorman NJ, Song H, Jin J, Chen X
bioRxiv : the preprint server for biology 2020 Nov 16;
bioRxiv : the preprint server for biology 2020 Nov 16;
Single-cell transcriptome analysis reveals differential nutrient absorption functions in human intestine.
Wang Y, Song W, Wang J, Wang T, Xiong X, Qi Z, Fu W, Yang X, Chen YG
The Journal of experimental medicine 2020 Feb 3;217(2)
The Journal of experimental medicine 2020 Feb 3;217(2)
Knockdown of SP1/Syncytin1 axis inhibits the proliferation and metastasis through the AKT and ERK1/2 signaling pathways in non-small cell lung cancer.
Li X, Fu Y, Xia X, Zhang X, Xiao K, Zhuang X, Zhang Y
Cancer medicine 2019 Sep;8(12):5750-5759
Cancer medicine 2019 Sep;8(12):5750-5759
Hepatitis B virus X protein enhances hepatocarcinogenesis by depressing the targeting of NUSAP1 mRNA by miR-18b.
Yang Z, Li J, Feng G, Wang Y, Yang G, Liu Y, Zhang S, Feng J, Zhang X
Cancer biology & medicine 2019 May;16(2):276-287
Cancer biology & medicine 2019 May;16(2):276-287
Nucleolar spindle-associated protein 1 promotes tumorigenesis and predicts poor prognosis in human esophageal squamous cell carcinoma.
Guan C, Liu Z, Lu C, Xiao M, Shi H, Ni R, Bian Z
Journal of cellular biochemistry 2019 Jul;120(7):11726-11737
Journal of cellular biochemistry 2019 Jul;120(7):11726-11737
Downregulation of nucleolar and spindle-associated protein 1 expression suppresses liver cancer cell function.
Wang Y, Ju L, Xiao F, Liu H, Luo X, Chen L, Lu Z, Bian Z
Experimental and therapeutic medicine 2019 Apr;17(4):2969-2978
Experimental and therapeutic medicine 2019 Apr;17(4):2969-2978
Nucleolar and spindle-associated protein 1 is a tumor grade correlated prognosis marker for glioma patients.
Zhu T, Xie P, Gao YF, Huang MS, Li X, Zhang W, Zhou HH, Liu ZQ
CNS neuroscience & therapeutics 2018 Mar;24(3):178-186
CNS neuroscience & therapeutics 2018 Mar;24(3):178-186
High NUSAP1 expression predicts poor prognosis in colon cancer.
Liu Z, Guan C, Lu C, Liu Y, Ni R, Xiao M, Bian Z
Pathology, research and practice 2018 Jul;214(7):968-973
Pathology, research and practice 2018 Jul;214(7):968-973
microRNA 193a-5p Regulates Levels of Nucleolar- and Spindle-Associated Protein 1 to Suppress Hepatocarcinogenesis.
Roy S, Hooiveld GJ, Seehawer M, Caruso S, Heinzmann F, Schneider AT, Frank AK, Cardenas DV, Sonntag R, Luedde M, Trautwein C, Stein I, Pikarsky E, Loosen S, Tacke F, Ringelhan M, Avsaroglu SK, Goga A, Buendia MA, Vucur M, Heikenwalder M, Zucman-Rossi J, Zender L, Roderburg C, Luedde T
Gastroenterology 2018 Dec;155(6):1951-1966.e26
Gastroenterology 2018 Dec;155(6):1951-1966.e26
NUSAP1 promotes invasion and metastasis of prostate cancer.
Gordon CA, Gong X, Ganesh D, Brooks JD
Oncotarget 2017 May 2;8(18):29935-29950
Oncotarget 2017 May 2;8(18):29935-29950
APLP2, RRM2, and PRC1: New Putative Markers for the Differential Diagnosis of Thyroid Follicular Lesions.
Castelblanco E, Zafon C, Maravall J, Gallel P, Martinez M, Capel I, Bella MR, Halperin I, Temprana J, Iglesias C, Puig-Domingo M, Robledo M, Matias-Guiu X, Mauricio D
Thyroid : official journal of the American Thyroid Association 2017 Jan;27(1):59-66
Thyroid : official journal of the American Thyroid Association 2017 Jan;27(1):59-66
Targeting PI3K/mTOR signaling exerts potent antitumor activity in pheochromocytoma in vivo.
Lee M, Minaskan N, Wiedemann T, Irmler M, Beckers J, Yousefi BH, Kaissis G, Braren R, Laitinen I, Pellegata NS
Endocrine-related cancer 2017 Jan;24(1):1-15
Endocrine-related cancer 2017 Jan;24(1):1-15
Down-Regulation of Nucleolar and Spindle-Associated Protein 1 (NUSAP1) Expression Suppresses Tumor and Cell Proliferation and Enhances Anti-Tumor Effect of Paclitaxel in Oral Squamous Cell Carcinoma.
Okamoto A, Higo M, Shiiba M, Nakashima D, Koyama T, Miyamoto I, Kasama H, Kasamatsu A, Ogawara K, Yokoe H, Tanzawa H, Uzawa K
PloS one 2015;10(11):e0142252
PloS one 2015;10(11):e0142252
High Levels of Nucleolar Spindle-Associated Protein and Reduced Levels of BRCA1 Expression Predict Poor Prognosis in Triple-Negative Breast Cancer.
Chen L, Yang L, Qiao F, Hu X, Li S, Yao L, Yang XL, Shao ZM
PloS one 2015;10(10):e0140572
PloS one 2015;10(10):e0140572
The selective inhibition of protein phosphatase-1 results in mitotic catastrophe and impaired tumor growth.
Winkler C, De Munter S, Van Dessel N, Lesage B, Heroes E, Boens S, Beullens M, Van Eynde A, Bollen M
Journal of cell science 2015 Dec 15;128(24):4526-37
Journal of cell science 2015 Dec 15;128(24):4526-37
NUSAP1 expression is upregulated by loss of RB1 in prostate cancer cells.
Gordon CA, Gulzar ZG, Brooks JD
The Prostate 2015 Apr 1;75(5):517-26
The Prostate 2015 Apr 1;75(5):517-26
Enhanced protein degradation by branched ubiquitin chains.
Meyer HJ, Rape M
Cell 2014 May 8;157(4):910-21
Cell 2014 May 8;157(4):910-21
Microtubule-dependent regulation of mitotic protein degradation.
Song L, Craney A, Rape M
Molecular cell 2014 Jan 23;53(2):179-92
Molecular cell 2014 Jan 23;53(2):179-92
Transcriptome analysis of MENX-associated rat pituitary adenomas identifies novel molecular mechanisms involved in the pathogenesis of human pituitary gonadotroph adenomas.
Lee M, Marinoni I, Irmler M, Psaras T, Honegger JB, Beschorner R, Anastasov N, Beckers J, Theodoropoulou M, Roncaroli F, Pellegata NS
Acta neuropathologica 2013 Jul;126(1):137-50
Acta neuropathologica 2013 Jul;126(1):137-50
Increased expression of NuSAP in recurrent prostate cancer is mediated by E2F1.
Gulzar ZG, McKenney JK, Brooks JD
Oncogene 2013 Jan 3;32(1):70-7
Oncogene 2013 Jan 3;32(1):70-7
Regulated degradation of spindle assembly factors by the anaphase-promoting complex.
Song L, Rape M
Molecular cell 2010 May 14;38(3):369-82
Molecular cell 2010 May 14;38(3):369-82
No comments: Submit comment
Supportive validation
- Submitted by
- Proteintech Group (provider)
- Main image

- Experimental details
- rat colon tissue were subjected to SDS PAGE followed by western blot with 12024-1-AP( NUSAP1 Antibody) at dilution of 1:1000
- Sample type
- tissue
Supportive validation
- Submitted by
- Proteintech Group (provider)
- Main image

- Experimental details
- Immunofluorescent analysis of HepG2 cells, using NUSAP1 antibody 12024-1-AP at 1:50 dilution and Rhodamine-labeled goat anti-rabbit IgG (red).
- Sample type
- cell line
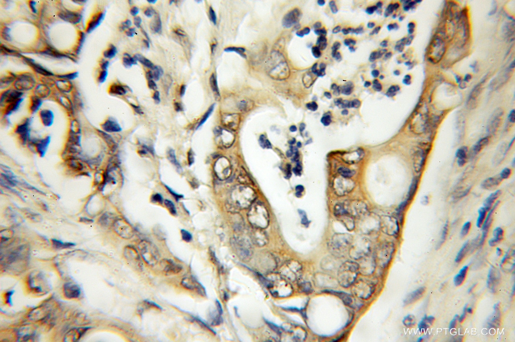
Supportive validation
- Submitted by
- Proteintech Group (provider)
- Main image

- Experimental details
- Immunohistochemical of paraffin-embedded human colon cancer using 12024-1-AP(NUSAP1 antibody) at dilution of 1:50 (under 10x lens)
- Sample type
- tissue