Antibody data
- Antibody Data
- Antigen structure
- References [0]
- Comments [0]
- Validations
- Western blot [1]
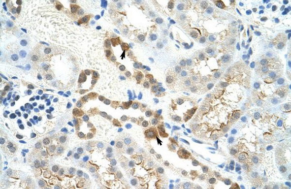
- Immunohistochemistry [2]
Submit
Validation data
Reference
Comment
Report error
- Product number
- TA342319 - Provider product page

- Provider
- OriGene
- Product name
- Rabbit Polyclonal Anti-MYBBP1A Antibody
- Antibody type
- Polyclonal
- Description
- Rabbit Polyclonal Anti-MYBBP1A Antibody
- Host
- Rabbit
- Conjugate
- Unconjugated
- Epitope
- Mybbp1a
- Isotype
- IgG
- Antibody clone number
- NULL
- Vial size
- 100 µl
- Concentration
- NULL
No comments: Submit comment
Supportive validation
- Submitted by
- OriGene (provider)
- Main image

- Experimental details
- WB Suggested Anti-MYBBP1A Antibody Titration: 1.25 ug/ml; Positive Control: SP2/0 cell lysate
- Validation comment
- WB

