Antibody data
- Antibody Data
- Antigen structure
- References [1]
- Comments [0]
- Validations
- Immunohistochemistry [2]
- Other assay [2]
Submit
Validation data
Reference
Comment
Report error
- Product number
- PA5-67631 - Provider product page

- Provider
- Invitrogen Antibodies
- Product name
- UNC5B Polyclonal Antibody
- Antibody type
- Polyclonal
- Antigen
- Synthetic peptide
- Description
- Predicted to react with Mouse samples.
- Reactivity
- Human, Mouse
- Host
- Rabbit
- Isotype
- IgG
- Vial size
- 100 μL
- Concentration
- 0.5 mg/mL
- Storage
- -20°C
Submitted references High expression of UNC5B enhances tumor proliferation, increases metastasis, and worsens prognosis in breast cancer.
Wu S, Guo X, Zhou J, Zhu X, Chen H, Zhang K, Lu Y, Chen Y
Aging 2020 Sep 9;12(17):17079-17098
Aging 2020 Sep 9;12(17):17079-17098
No comments: Submit comment
Supportive validation
- Submitted by
- Invitrogen Antibodies (provider)
- Main image

- Experimental details
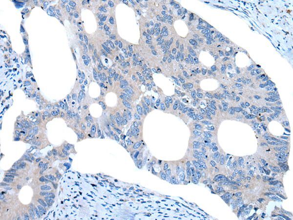
- Immunohistochemical analysis of UNC5B in paraffin-embedded Human colorectal cancer tissue using (left) UNC5B Polyclonal Antibody (Product # PA5-67631) at a 1:25 dilution and (right) is treated with synthetic peptide. (Original magnification: x200).
- Submitted by
- Invitrogen Antibodies (provider)
- Main image

- Experimental details
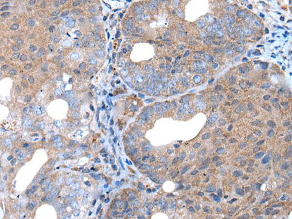
- Immunohistochemical analysis of UNC5B in paraffin-embedded Human ovarian cancer tissue using (left) UNC5B Polyclonal Antibody (Product # PA5-67631) at a 1:25 dilution and (right) is treated with synthetic peptide. (Original magnification: x200).
Supportive validation
- Submitted by
- Invitrogen Antibodies (provider)
- Main image

- Experimental details
- Figure 3 UNC5B protein expression in breast cancer (Western blot and IHC). ( A ) UNC5B expression in MCF 10A cells and diverse breast cancer cell lines. ( B ) The relative UNC5B protein expression in MCF 10A cells and diverse breast cancer cell lines. ( C ) Representative IHC image of UNC5B expression in breast cancer tissues and normal breast tissues.
- Submitted by
- Invitrogen Antibodies (provider)
- Main image

- Experimental details
- Figure 4 The prognostic value of UNC5B expression in breast cancer (GEPIA and IHC). ( A ) The prognostic value of UNC5B mRNA expression in breast cancer patients, analyzed by GEPIA. ( B ) The prognostic value of UNC5B protein expression in breast cancer patients. ( C ) Representative IHC images of high expression and low expression of UNC5B in breast cancer tissues.