Antibody data
- Antibody Data
- Antigen structure
- References [0]
- Comments [0]
- Validations
- Immunocytochemistry [1]
- Immunohistochemistry [1]
Submit
Validation data
Reference
Comment
Report error
- Product number
- ABIN1105632 - Provider product page

- Provider
- antibodies-online
- Product name
- anti-Cadherin 23 (CDH23) (N-Term) antibody
- Antibody type
- Polyclonal
- Antigen
- Other
- Reactivity
- Human, Mouse, Rat
- Host
- Rabbit
- Isotype
- IgG
- Vial size
- 50 µg
No comments: Submit comment
Supportive validation
- Submitted by
- antibodies-online (provider)
- Main image

- Experimental details
- Immunofluorescence analysis of HeLa cells, using CDH23 Antibody. The picture on the right is treated with the synthesized peptide.
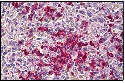
Supportive validation
- Submitted by
- antibodies-online (provider)
- Main image

- Experimental details
- Human Spleen: Formalin-Fixed, Paraffin-Embedded (FFPE)