Antibody data
- Antibody Data
- Antigen structure
- References [1]
- Comments [0]
- Validations
- Western blot [2]
- Immunohistochemistry [2]
- Flow cytometry [2]
Submit
Validation data
Reference
Comment
Report error
- Product number
- NBP2-45354 - Provider product page

- Provider
- Novus Biologicals
- Product name
- Mouse Monoclonal HNF-3 alpha/FoxA1 Antibody
- Antibody type
- Monoclonal
- Description
- Protein G purified.
- Reactivity
- Human
- Host
- Mouse
- Isotype
- IgG
- Vial size
- 0.1 mg
- Concentration
- 1.0 mg/ml
- Storage
- Store at 4C short term. Aliquot and store at -20C long term. Avoid freeze-thaw cycles.
Submitted references FOXA1 mutations alter pioneering activity, differentiation and prostate cancer phenotypes.
Adams EJ, Karthaus WR, Hoover E, Liu D, Gruet A, Zhang Z, Cho H, DiLoreto R, Chhangawala S, Liu Y, Watson PA, Davicioni E, Sboner A, Barbieri CE, Bose R, Leslie CS, Sawyers CL
Nature 2019 Jul;571(7765):408-412
Nature 2019 Jul;571(7765):408-412
No comments: Submit comment
Supportive validation
- Submitted by
- Novus Biologicals (provider)
- Main image

- Experimental details
- Western Blot: HNF-3 alpha/FoxA1 Antibody (3B3NB) [NBP2-45354] - (1) Whole cell protein from PC3 and (2) MCF7 was separated on a 7.5% gel by SDS-PAGE, transferred to PVDF membrane and blocked in 5% non-fat milk in TBST. The membrane was probed with 4 ug/ml anti-hFOXA1 (3B3NB) in 1% milk and detected with an anti-mouse HRP secondary antibody using chemiluminescence.
- Submitted by
- Novus Biologicals (provider)
- Main image

- Experimental details
- Western Blot: HNF-3 alpha/FoxA1 Antibody (3B3NB) [NBP2-45354] - Analysis of FOXA1 (3B3NB) in partial recombinant FOXA1 protein and PC3 lysate, respectivetly.
Supportive validation
- Submitted by
- Novus Biologicals (provider)
- Main image

- Experimental details
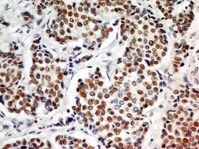
- Immunohistochemistry-Paraffin: HNF-3 alpha/FoxA1 Antibody (3B3NB) [NBP2-45354] - Analysis of FoxA1 in human breast adenocarcinoma.
- Submitted by
- Novus Biologicals (provider)
- Main image

- Experimental details
- Immunohistochemistry-Paraffin: HNF-3 alpha/FoxA1 Antibody (3B3NB) [NBP2-45354] - Analysis of FoxA1 in human prostate.
Supportive validation
- Submitted by
- Novus Biologicals (provider)
- Main image

- Experimental details
- Flow Cytometry: HNF-3 alpha/FoxA1 Antibody (3B3NB) [NBP2-45354] - Analysis using the Azide Free version of NBP2-45354. Staining of HepG2 cells (1 x 10^6 cells/ml) with FOXA1 antibody, clone 3B11NB (orange), shown with the negative control (blue).
- Submitted by
- Novus Biologicals (provider)
- Main image

- Experimental details
- Flow Cytometry: HNF-3 alpha/FoxA1 Antibody (3B3NB) [NBP2-45354] - Analysis using the Azide Free version of NBP2-45354. Staining of LnCAP cells (1 x 10^6 cells/ml) with FOXA1 antibody, clone 3B11NB (orange), shown with the negative control (blue).