Antibody data
- Antibody Data
- Antigen structure
- References [10]
- Comments [0]
- Validations
- Western blot [1]
- Immunohistochemistry [1]
Submit
Validation data
Reference
Comment
Report error
- Product number
- 10582-1-AP - Provider product page

- Provider
- Proteintech Group
- Proper citation
- Proteintech Cat#10582-1-AP, RRID:AB_2236833
- Product name
- PELO antibody
- Antibody type
- Polyclonal
- Description
- PELO antibody (Cat. #10582-1-AP) is a rabbit polyclonal antibody that shows reactivity with human, mouse, rat and has been validated for the following applications: IF, IHC, IP, WB, ELISA.
- Reactivity
- Human, Mouse, Rat
- Host
- Rabbit
- Conjugate
- Unconjugated
- Isotype
- IgG
- Vial size
- 20ul, 150ul
Submitted references Stalled translation by mitochondrial stress upregulates a CNOT4-ZNF598 ribosomal quality control pathway important for tissue homeostasis.
Single-molecule imaging reveals distinct elongation and frameshifting dynamics between frames of expanded RNA repeats in C9ORF72-ALS/FTD.
Genetic deficiency of ribosomal rescue factor HBS1L causes retinal dystrophy associated with Pelota and EDF1 depletion.
Ribosome-rescuer PELO catalyzes the oligomeric assembly of NOD-like receptor family proteins via activating their ATPase enzymatic activity.
Protocol for reconstitution of oligomeric assembly of NAIP5-NLRC4 inflammasome in vitro.
Unresolved stalled ribosome complexes restrict cell-cycle progression after genotoxic stress.
A role for the ribosome-associated complex in activation of the IRE1 branch of UPR.
Defects in translation-dependent quality control pathways lead to convergent molecular and neurodevelopmental pathology.
XAB2 depletion induces intron retention in POLR2A to impair global transcription and promote cellular senescence.
Mammalian Hbs1L deficiency causes congenital anomalies and developmental delay associated with Pelota depletion and 80S monosome accumulation.
Geng J, Li S, Li Y, Wu Z, Bhurtel S, Rimal S, Khan D, Ohja R, Brandman O, Lu B
Nature communications 2024 Feb 22;15(1):1637
Nature communications 2024 Feb 22;15(1):1637
Single-molecule imaging reveals distinct elongation and frameshifting dynamics between frames of expanded RNA repeats in C9ORF72-ALS/FTD.
Latallo MJ, Wang S, Dong D, Nelson B, Livingston NM, Wu R, Zhao N, Stasevich TJ, Bassik MC, Sun S, Wu B
Nature communications 2023 Sep 11;14(1):5581
Nature communications 2023 Sep 11;14(1):5581
Genetic deficiency of ribosomal rescue factor HBS1L causes retinal dystrophy associated with Pelota and EDF1 depletion.
Luo S, Alwattar B, Li Q, Bora K, Blomfield AK, Lin J, Fulton A, Chen J, Agrawal PB
bioRxiv : the preprint server for biology 2023 Oct 20;
bioRxiv : the preprint server for biology 2023 Oct 20;
Ribosome-rescuer PELO catalyzes the oligomeric assembly of NOD-like receptor family proteins via activating their ATPase enzymatic activity.
Wu X, Yang ZH, Wu J, Han J
Immunity 2023 May 9;56(5):926-943.e7
Immunity 2023 May 9;56(5):926-943.e7
Protocol for reconstitution of oligomeric assembly of NAIP5-NLRC4 inflammasome in vitro.
Wu X, Han J
STAR protocols 2023 Dec 15;4(4):102581
STAR protocols 2023 Dec 15;4(4):102581
Unresolved stalled ribosome complexes restrict cell-cycle progression after genotoxic stress.
Stoneley M, Harvey RF, Mulroney TE, Mordue R, Jukes-Jones R, Cain K, Lilley KS, Sawarkar R, Willis AE
Molecular cell 2022 Apr 21;82(8):1557-1572.e7
Molecular cell 2022 Apr 21;82(8):1557-1572.e7
A role for the ribosome-associated complex in activation of the IRE1 branch of UPR.
Wu IH, Yoon JS, Yang Q, Liu Y, Skach W, Thomas P
Cell reports 2021 Jun 8;35(10):109217
Cell reports 2021 Jun 8;35(10):109217
Defects in translation-dependent quality control pathways lead to convergent molecular and neurodevelopmental pathology.
Terrey M, Adamson SI, Chuang JH, Ackerman SL
eLife 2021 Apr 26;10
eLife 2021 Apr 26;10
XAB2 depletion induces intron retention in POLR2A to impair global transcription and promote cellular senescence.
Hou S, Qu D, Li Y, Zhu B, Liang D, Wei X, Tang W, Zhang Q, Hao J, Guo W, Wang W, Zhao S, Wang Q, Azam S, Khan M, Zhao H, Zhang L, Lei H
Nucleic acids research 2019 Sep 5;47(15):8239-8254
Nucleic acids research 2019 Sep 5;47(15):8239-8254
Mammalian Hbs1L deficiency causes congenital anomalies and developmental delay associated with Pelota depletion and 80S monosome accumulation.
O'Connell AE, Gerashchenko MV, O'Donohue MF, Rosen SM, Huntzinger E, Gleeson D, Galli A, Ryder E, Cao S, Murphy Q, Kazerounian S, Morton SU, Schmitz-Abe K, Gladyshev VN, Gleizes PE, Séraphin B, Agrawal PB
PLoS genetics 2019 Feb;15(2):e1007917
PLoS genetics 2019 Feb;15(2):e1007917
No comments: Submit comment
Supportive validation
- Submitted by
- Proteintech Group (provider)
- Main image

- Experimental details
- SKOV-3 cells were subjected to SDS PAGE followed by western blot with 10582-1-AP(PELO antibody) at dilution of 1:1000
- Sample type
- cell line
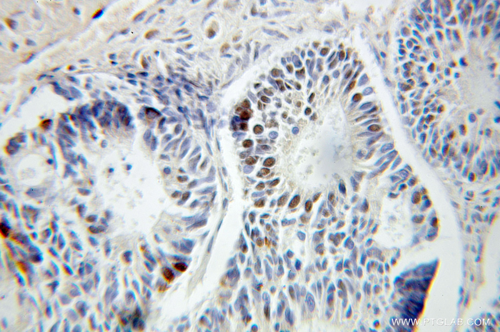
Supportive validation
- Submitted by
- Proteintech Group (provider)
- Main image

- Experimental details
- Immunohistochemical of paraffin-embedded human ovary tumor using 10582-1-AP(PELO antibody) at dilution of 1:100 (under 25x lens)
- Sample type
- tissue