Antibody data
- Antibody Data
- Antigen structure
- References [0]
- Comments [0]
- Validations
- Immunohistochemistry [1]
Submit
Validation data
Reference
Comment
Report error
- Product number
- M02530 - Provider product page

- Provider
- Boster Biological Technology
- Product name
- Anti-PELP1 Rabbit Monoclonal Antibody
- Antibody type
- Monoclonal
- Description
- Monoclonal antibody for PELP1 detection. Host: Rabbit.Size: 100ug/vial. Tested applications: IHC, WB. Reactive species: Human, Mouse, Rat PELP1 information: Molecular Weight: 119700 MW; Subcellular Localization: Nucleus, nucleoplasm . Nucleus. Cytoplasm. Mainly found in the nucleoplasm, with low levels detected in the cytoplasm (By similarity). Also found associated with the plasma membrane. Mainly in cytoplasm in a subset of breast tumors. Localization is widely deregulated in endometrial cancers with predominantly cytoplasm localization in high-grade endometrial tumors; Tissue Specificity: Widely expressed.
- Reactivity
- Mouse
- Host
- Rabbit
- Antibody clone number
- COD-16
- Vial size
- 100ug/vial
- Concentration
- 0.5-1mg/ml, actual concentration vary by lot. Use suggested dilution ratio to decide dilution procedure.
- Storage
- At -20°C for one year. Avoid repeated freezing and thawing.
No comments: Submit comment
Supportive validation
- Submitted by
- Boster Biological Technology (provider)
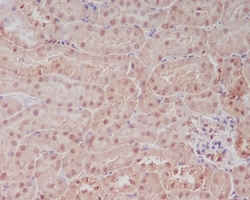
- Main image

- Experimental details
- Immunohistochemical analysis of paraffin-embedded mouse kidney, using PELP1 Antibody.
- Additional image
