Antibody data
- Antibody Data
- Antigen structure
- References [1]
- Comments [0]
- Validations
- Western blot [1]
- Immunohistochemistry [2]
Submit
Validation data
Reference
Comment
Report error
- Product number
- NBP1-32773 - Provider product page

- Provider
- Novus Biologicals
- Proper citation
- Novus Cat#NBP1-32773, RRID:AB_2254401
- Product name
- Rabbit Polyclonal SEC23A Antibody
- Antibody type
- Polyclonal
- Description
- Immunogen affinity purified.
- Reactivity
- Human, Mouse
- Host
- Rabbit
- Isotype
- IgG
- Vial size
- 100 ul
- Storage
- Aliquot and store at -20C or -80C. Avoid freeze-thaw cycles.
Submitted references ZEB1-repressed microRNAs inhibit autocrine signaling that promotes vascular mimicry of breast cancer cells.
Langer EM, Kendsersky ND, Daniel CJ, Kuziel GM, Pelz C, Murphy KM, Capecchi MR, Sears RC
Oncogene 2018 Feb 22;37(8):1005-1019
Oncogene 2018 Feb 22;37(8):1005-1019
No comments: Submit comment
Supportive validation
- Submitted by
- Novus Biologicals (provider)
- Main image

- Experimental details
- Western Blot: SEC23A Antibody [NBP1-32773] - (30 ug of whole cell lysate) A: Molt-4 7.5% SDS PAGE diluted at 1:10000
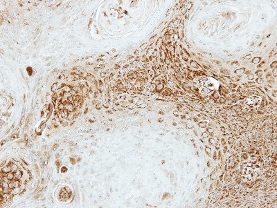
Supportive validation
- Submitted by
- Novus Biologicals (provider)
- Main image

- Experimental details
- Immunohistochemistry-Paraffin: SEC23A Antibody [NBP1-32773] - Paraffin-embedded Cal27 xenograft, using antibody at 1:500 dilution.
- Submitted by
- Novus Biologicals (provider)
- Main image

- Experimental details
- Immunohistochemistry-Paraffin: SEC23A Antibody [NBP1-32773] - Paraffin-embedded mouse intestine dilution: 1:500.