Antibody data
- Antibody Data
- Antigen structure
- References [0]
- Comments [0]
- Validations
- Western blot [1]
- Immunocytochemistry [1]
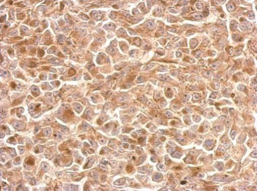
- Immunohistochemistry [1]
Submit
Validation data
Reference
Comment
Report error
- Product number
- GTX108498 - Provider product page

- Provider
- GeneTex
- Proper citation
- GeneTex Cat#GTX108498, RRID:AB_2037523
- Product name
- NKG2A antibody [N1N2], N-term
- Antibody type
- Polyclonal
- Reactivity
- Human
- Host
- Rabbit
No comments: Submit comment
Supportive validation
- Submitted by
- GeneTex (provider)
- Main image

- Experimental details
- Sample (30 ug of whole cell lysate) A: A431 (GTX27909) B: Hep G2 (GTX27900) 12% SDS PAGE NKG2-A (CD159a) antibody GTX108498 diluted at 1:1000
Supportive validation
- Submitted by
- GeneTex (provider)
- Main image

- Experimental details
- Immunofluorescence analysis of methanol-fixed HeLa, using KLRC1(GTX108498) antibody at 1:200 dilution.
Supportive validation
- Submitted by
- GeneTex (provider)
- Main image

- Experimental details
- KLRC1 antibody [N1N2], N-term detects KLRC1 protein at cytosol on H1299 xenograft by immunohistochemical analysis. Sample: Paraffin-embedded H1299 xenograft. KLRC1 antibody [N1N2], N-term (GTX108498) dilution: 1:500.