Antibody data
- Antibody Data
- Antigen structure
- References [0]
- Comments [0]
- Validations
- Immunocytochemistry [2]
- Immunohistochemistry [1]
- Flow cytometry [2]
Submit
Validation data
Reference
Comment
Report error
- Product number
- PA5-72543 - Provider product page

- Provider
- Invitrogen Antibodies
- Product name
- NKG2A Polyclonal Antibody
- Antibody type
- Polyclonal
- Antigen
- Synthetic peptide
- Reactivity
- Human
- Host
- Rabbit
- Isotype
- IgG
- Vial size
- 200 μL
- Concentration
- 0.4 mg/mL
- Storage
- Store at 4°C short term. For long term storage, store at -20°C, avoiding freeze/thaw cycles.
No comments: Submit comment
Supportive validation
- Submitted by
- Invitrogen Antibodies (provider)
- Main image

- Experimental details
- Immunofluorescent analysis of KLRC1 in paraffin-embedded HeLa cells. Sample was 4% paraformaldehyde-fixed, permeabilized with 0.1% Triton X-100 and incubated with KLRC1 polyclonal antibody (Product # PA5-72543) using a 1:25 dilution. Dylight 488-conjugated goat anti-rabbit IgG was used as secondary antibody at a dilution of 1:200 dilution. Cytoplasmic actin is detected with Dylight 554 Phalloidin at 1:100 dilution (red) and the nuclear counter stain is DAPI (blue).
- Submitted by
- Invitrogen Antibodies (provider)
- Main image

- Experimental details
- Immunocytochemistry analysis of NKG2A in Hela (Human Cervical epithelial adenocarcinoma cell line) cells. Samples were incubated with NKG2A polyclonal antibody (Product # PA5-72543) using a dilution of 1:25 followed by Dylight® 488-conjugated goat anti-rabbit IgG at a dilution of 1:200 (green). Cells were 4% paraformaldehyde-fixed and 0.1% Triton X-100 permeabilized. Immunofluorescence image showing cytoplasm staining on HeLa cell line. Cytoplasmic actin is detected with Dylight® 554 Phalloidin at 1:100 dilution (red). The nuclear counter stain is DAPI (blue).
Supportive validation
- Submitted by
- Invitrogen Antibodies (provider)
- Main image

- Experimental details
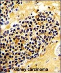
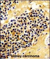
- Immunohistochemistry analysis of NKG2A in formalin-fixed and paraffin-embedded human kidney carcinoma. Samples were incubated with NKG2A polyclonal antibody (Product # PA5-72543) which was peroxidase-conjugated to the secondary antibody, followed by DAB staining. This data demonstrates the use of this antibody for immunohistochemistry; clinical relevance has not been evaluated.
Supportive validation
- Submitted by
- Invitrogen Antibodies (provider)
- Main image

- Experimental details
- Flow cytometry analysis of KLRC1 in Jurkat cells (green line). The cells were fixed with 2% paraformaldhyde (10 min) and permeabilized with 90% methanol (10 min). The sample was then incubated with 2% BSA followed by a KLRC1 polyclonal antibody (Product # PA5-72543) using a dilution of 1:25 for 60 min at 37°C. The secondary antibody used was goat-anti-rabbit IgG, DyLight 488 with a dilution of 1:200 for 40 min at 37°C. Isotype control antibody (blue line) was rabbit IgG (1 µg/1x10^6 cells) used under the same conditions with an acquisition of >10, 000 events.
- Submitted by
- Invitrogen Antibodies (provider)
- Main image

- Experimental details
- Flow cytometry of (overlay histogram) of NKG2A in Jurkat cells (green line). Samples were incubated with NKG2A polyclonal antibody (Product # PA5-72543) using a dilution of 1:25 dilution for 60 min at 37°C followed by Goat-Anti-Rabbit IgG, DyLight® 488 Conjugated Highly Cross-Adsorbed at 1:400 dilution for 40 min at 37°C. The cells were fixed with 2% paraformaldehyde (10 min). The cells were then incubated in 2% bovine serum albumin to block non-specific protein-protein interactions followed by the primary antibody. Isotype control antibody (blue line) was rabbit IgG (1 μg/1x10^6 cells) used under the same conditions. Acquisition of >10, 000 events was performed.