Antibody data
- Antibody Data
- Antigen structure
- References [0]
- Comments [0]
- Validations
- Western blot [1]
- Immunohistochemistry [10]
- Flow cytometry [1]
Submit
Validation data
Reference
Comment
Report error
- Product number
- NBP2-46118 - Provider product page

- Provider
- Novus Biologicals
- Product name
- Mouse monoclonal NDUFB10 Antibody
- Antibody type
- Monoclonal
- Description
- Affinity purified.
- Reactivity
- Human
- Host
- Mouse
- Isotype
- IgG
- Vial size
- 0.1 ml
- Concentration
- 1 mg/ml
- Storage
- Store at -20C. Avoid freeze-thaw cycles.
No comments: Submit comment
Supportive validation
- Submitted by
- Novus Biologicals (provider)
- Main image

- Experimental details
- Western Blot: NDUFB10 Antibody (1H6) [NBP2-46118] - Analysis of HEK293T cells were transfected with the pCMV6-ENTRY control (Left lane) or pCMV6-ENTRY NDUFB10.
Supportive validation
- Submitted by
- Novus Biologicals (provider)
- Main image

- Experimental details
- Immunohistochemistry: NDUFB10 Antibody (1H6) [NBP2-46118] - Analysis of Adenocarcinoma of Human endometrium tissue.
- Submitted by
- Novus Biologicals (provider)
- Main image

- Experimental details
- Immunohistochemistry: NDUFB10 Antibody (1H6) [NBP2-46118] - Analysis of Adenocarcinoma of Human colon tissue.
- Submitted by
- Novus Biologicals (provider)
- Main image

- Experimental details
- Immunohistochemistry: NDUFB10 Antibody (1H6) [NBP2-46118] - Analysis of Adenocarcinoma of Human ovary tissue.
- Submitted by
- Novus Biologicals (provider)
- Main image

- Experimental details
- Immunohistochemistry: NDUFB10 Antibody (1H6) [NBP2-46118] - Analysis of Carcinoma of Human kidney tissue.
- Submitted by
- Novus Biologicals (provider)
- Main image

- Experimental details
- Immunohistochemistry: NDUFB10 Antibody (1H6) [NBP2-46118] - Analysis of Human prostate tissue.
- Submitted by
- Novus Biologicals (provider)
- Main image

- Experimental details
- Immunohistochemistry: NDUFB10 Antibody (1H6) [NBP2-46118] - Analysis of Human pancreas tissue.
- Submitted by
- Novus Biologicals (provider)
- Main image

- Experimental details
- Immunohistochemistry: NDUFB10 Antibody (1H6) [NBP2-46118] - Analysis of Human breast tissue.
- Submitted by
- Novus Biologicals (provider)
- Main image

- Experimental details
- Immunohistochemistry: NDUFB10 Antibody (1H6) [NBP2-46118] - Analysis of Human Kidney tissue.
- Submitted by
- Novus Biologicals (provider)
- Main image

- Experimental details
- Immunohistochemistry: NDUFB10 Antibody (1H6) [NBP2-46118] - Analysis of Human liver tissue.
- Submitted by
- Novus Biologicals (provider)
- Main image

- Experimental details
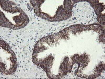
- Immunohistochemistry: NDUFB10 Antibody (1H6) [NBP2-46118] - Analysis of Carcinoma of Human prostate tissue.
Supportive validation
- Submitted by
- Novus Biologicals (provider)
- Main image

- Experimental details
- Flow Cytometry: NDUFB10 Antibody (1H6) [NBP2-46118] - Analysis of HEK293T cells transfected with either overexpress plasmid(Red) or empty vector control plasmid(Blue) were immunostained by NDUFB10 antibody.