Antibody data
- Antibody Data
- Antigen structure
- References [3]
- Comments [0]
- Validations
- Immunohistochemistry [2]
- Other assay [2]
Submit
Validation data
Reference
Comment
Report error
- Product number
- PA5-51179 - Provider product page

- Provider
- Invitrogen Antibodies
- Product name
- NDUFB10 Polyclonal Antibody
- Antibody type
- Polyclonal
- Antigen
- Other
- Description
- The antibody detects endogenous levels of total NDUFB10 protein.
- Reactivity
- Human
- Host
- Rabbit
- Isotype
- IgG
- Vial size
- 100 μL
- Concentration
- 2 mg/mL
- Storage
- -20°C
Submitted references Callyspongiolide kills cells by inducing mitochondrial dysfunction via cellular iron depletion.
Fascin Controls Metastatic Colonization and Mitochondrial Oxidative Phosphorylation by Remodeling Mitochondrial Actin Filaments.
The mitochondrial deoxyguanosine kinase is required for cancer cell stemness in lung adenocarcinoma.
Ha J, Park SB
Communications biology 2021 Sep 23;4(1):1123
Communications biology 2021 Sep 23;4(1):1123
Fascin Controls Metastatic Colonization and Mitochondrial Oxidative Phosphorylation by Remodeling Mitochondrial Actin Filaments.
Lin S, Huang C, Gunda V, Sun J, Chellappan SP, Li Z, Izumi V, Fang B, Koomen J, Singh PK, Hao J, Yang S
Cell reports 2019 Sep 10;28(11):2824-2836.e8
Cell reports 2019 Sep 10;28(11):2824-2836.e8
The mitochondrial deoxyguanosine kinase is required for cancer cell stemness in lung adenocarcinoma.
Lin S, Huang C, Sun J, Bollt O, Wang X, Martine E, Kang J, Taylor MD, Fang B, Singh PK, Koomen J, Hao J, Yang S
EMBO molecular medicine 2019 Dec;11(12):e10849
EMBO molecular medicine 2019 Dec;11(12):e10849
No comments: Submit comment
Supportive validation
- Submitted by
- Invitrogen Antibodies (provider)
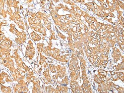
- Main image

- Experimental details
- Immunohistochemical analysis of NDUFB10 in paraffin embedded Human breast cancer tissue using NDUFB10 Polyclonal Antibody (Product # PA5-51179) at a 1:35 dilution.
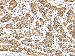
- Submitted by
- Invitrogen Antibodies (provider)
- Main image

- Experimental details
- Immunohistochemical analysis of NDUFB10 in paraffin embedded Human esophagus cancer tissue using NDUFB10 Polyclonal Antibody (Product # PA5-51179) at a 1:35 dilution.
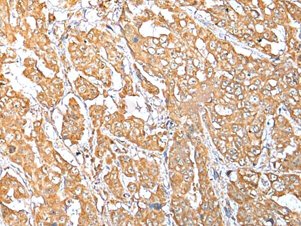
Supportive validation
- Submitted by
- Invitrogen Antibodies (provider)
- Main image

- Experimental details
- Figure 3 DGUOK is required for mitochondrial OXPHOS in lung adenocarcinoma cells A Waterfall plot showing fold changes of 17 mitochondrial proteins differentially regulated in DGUOK KO H1650 cells. Fold changes (log 2 ) are presented as mean +- SEM of results from two independent experiments. B Top enriched pathways in DGUOK high lung adenocarcinoma ( n = 100) compared to DGUOK low lung adenocarcinoma ( n = 100) based on Gene Set Enrichment Analysis on RNA-sequencing data from the TCGA database. NES, normalized enrichment score, Norm. p , normalized P value. C Enrichment score profile of the oxidative_phosphorylation pathway in GSEA in (B). D Western blotting showing the decrease in respiration complex I subunits in DGUOK KO H1650 cells. E The effects of DGUOK depletion on mitochondrial oxygen consumption rate in H1650 cells. n = 3 independent replicates per group. F The effects of DGUOK KO on mtDNA copies in H1650 cells. Two pairs of primers recognizing minor Arc (minArc) and major Arc (majArc) region of mtDNA were used for the qPCR quantitation. G The effect of DGUOK depletion on the activities of respiratory complexes I, II, III, and IV. H Representative IHC staining showing the expression of DGUOK and NDUFB8 in lung adenocarcinoma patient specimens. I Correlation between DGUOK staining intensity and NDUFB8 staining intensity in a cohort of 113 lung adenocarcinoma patients. r s = 0.728, P < 0.0001, as determined by Spearman's correlation test. Data information: Data are sh
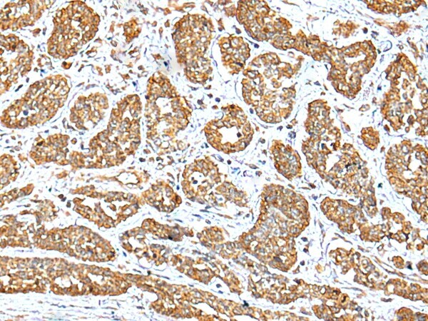
- Submitted by
- Invitrogen Antibodies (provider)
- Main image

- Experimental details
- Figure 4. Fascin and mtF-Actin Regulate the Biogenesis of Respiratory Complexes in NSCLC (A) Waterfall plot showing fold changes of 12 mitochondrial proteins differentially regulated in fascin KO H1650 cells. Fold changes (log 2 ) are presented as mean +- SEM of results from two independent samples. (B and C) Western blotting showing the decrease in respiration Complex I subunits in fascin KO H1650 (B) and H23 (C) cells. (D and E) Western blotting showing the increase in the levels of Complex I subunits in H23 cells overexpressing wild-type fascin (D) but not the S39E and 149-151A mutants (E). (F) shRNA knockdown of INF2-CAAX abrogated fascin-mediated increase in mt-ND1 and NDUFB8 in H1650 cells. (G and H) The effect of fascin (G) and INF2-CAAX (H) depletion on the levels of respiratory super complexes in H1650 cells, as determined by BN-PAGE and western blotting using anti-OXPHOS antibody cocktails (recognized all 5 complexes) and antibodies specific for each respiratory complex (Cx I-V). S. C. indicates respirasomes consisting of Complex I, III, and IV. Representative results from at least three independent experiments are shown.