Antibody data
- Antibody Data
- Antigen structure
- References [0]
- Comments [0]
- Validations
- Western blot [2]
- Immunohistochemistry [2]
Submit
Validation data
Reference
Comment
Report error
- Product number
- BS-2957R - Provider product page

- Provider
- Invitrogen Antibodies
- Product name
- Alpha-ENaC Polyclonal Antibody
- Antibody type
- Polyclonal
- Antigen
- Synthetic peptide
- Reactivity
- Human, Mouse, Rat
- Host
- Rabbit
- Isotype
- IgG
- Vial size
- 100 µL
- Concentration
- 1 mg/mL
- Storage
- -20°C
No comments: Submit comment
Supportive validation
- Submitted by
- Invitrogen Antibodies (provider)
- Main image

- Experimental details
- Rat kidney lysate at 40µg; Probed with Alpha-ENaC Polyclonal Antibody, Unconjugated (bs-2957R) at 1:1000 overnight at 4°C followed by incubation with a conjugated secondary antibody at 1:20000 for 60 minutes at 37°C.
- Submitted by
- Invitrogen Antibodies (provider)
- Main image

- Experimental details
- Mouse kidney lysate at 40µg; Probed with Alpha-ENaC Polyclonal Antibody, Unconjugated (bs-2957R) at 1:1000 overnight at 4°C followed by incubation with a conjugated secondary antibody at 1:20000 for 60 minutes at 37°C.
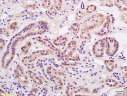
Supportive validation
- Submitted by
- Invitrogen Antibodies (provider)
- Main image

- Experimental details
- Formalin-fixed and paraffin embedded rat kidney labeled with Anti-Alpha-ENaC Polyclonal Antibody, Unconjugated (bs-2957R) at 1:200 followed by conjugation to the secondary antibody and DAB staining.
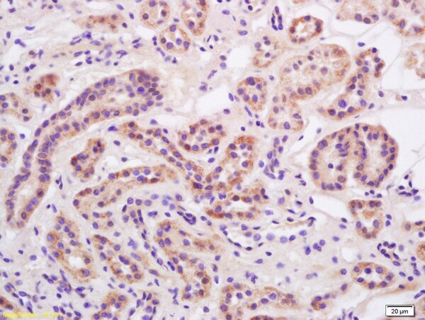
- Submitted by
- Invitrogen Antibodies (provider)
- Main image

- Experimental details
- Paraformaldehyde-fixed, paraffin embedded human kidney; Antigen retrieval by boiling in sodium citrate buffer (pH6) for 15min; Block endogenous peroxidase by 3% hydrogen peroxide for 30 minutes; Blocking buffer (normal goat serum) at 37°C for 20min; Antibody incubation with Alpha-ENaC Polyclonal Antibody, Unconjugated (bs-2957R) at 1:200 overnight at 4°C, followed by a conjugated secondary and DAB staining.