Antibody data
- Antibody Data
- Antigen structure
- References [1]
- Comments [0]
- Validations
- Western blot [1]
- Immunohistochemistry [2]
- Other assay [1]
Submit
Validation data
Reference
Comment
Report error
- Product number
- PA5-21408 - Provider product page

- Provider
- Invitrogen Antibodies
- Product name
- MLEC Polyclonal Antibody
- Antibody type
- Polyclonal
- Antigen
- Recombinant full-length protein
- Description
- Recommended positive controls: Raji. Predicted reactivity: Mouse (97%), Rat (99%), Xenopus laevis (88%), Bovine (99%). Store product as a concentrated solution. Centrifuge briefly prior to opening the vial.
- Reactivity
- Human
- Host
- Rabbit
- Isotype
- IgG
- Vial size
- 100 μL
- Concentration
- 0.45 mg/mL
- Storage
- Store at 4°C short term. For long term storage, store at -20°C, avoiding freeze/thaw cycles.
Submitted references Cyclophilin C Participates in the US2-Mediated Degradation of Major Histocompatibility Complex Class I Molecules.
Chapman DC, Stocki P, Williams DB
PloS one 2015;10(12):e0145458
PloS one 2015;10(12):e0145458
No comments: Submit comment
Supportive validation
- Submitted by
- Invitrogen Antibodies (provider)
- Main image

- Experimental details
- Western Blot using MLEC Polyclonal Antibody (Product # PA5-21408). Sample (30 µg of whole cell lysate). A: Raji. 12% SDS PAGE. MLEC Polyclonal Antibody (Product # PA5-21408) diluted at 1:200.
Supportive validation
- Submitted by
- Invitrogen Antibodies (provider)
- Main image

- Experimental details
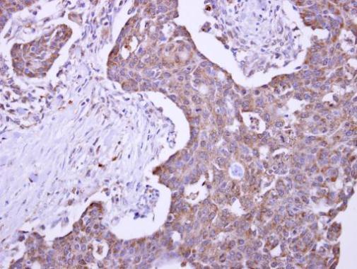
- MLEC Polyclonal Antibody detects KIAA0152 protein at cytosol on human colon carcinoma by immunohistochemical analysis. Sample: Paraffin-embedded colon carcinoma. MLEC Polyclonal Antibody (Product # PA5-21408) dilution: 1:500. Antigen Retrieval: EDTA based buffer, pH 8.0, 15 min.
- Submitted by
- Invitrogen Antibodies (provider)
- Main image

- Experimental details
- MLEC Polyclonal Antibody detects KIAA0152 protein at cytosol on human colon carcinoma by immunohistochemical analysis. Sample: Paraffin-embedded colon carcinoma. MLEC Polyclonal Antibody (Product # PA5-21408) dilution: 1:500. Antigen Retrieval: EDTA based buffer, pH 8.0, 15 min.
Supportive validation
- Submitted by
- Invitrogen Antibodies (provider)
- Main image

- Experimental details
- NULL