Antibody data
- Antibody Data
- Antigen structure
- References [0]
- Comments [0]
- Validations
- Western blot [3]
- Immunocytochemistry [2]
- Immunohistochemistry [10]
Submit
Validation data
Reference
Comment
Report error
- Product number
- LS-C313094 - Provider product page

- Provider
- LSBio
- Product name
- DDX4 / VASA Antibody (aa253-272) LS-C313094
- Antibody type
- Polyclonal
- Description
- Immunogen affinity purified
- Reactivity
- Human, Mouse, Rat
- Host
- Rabbit
- Storage
- At -20°C for 1 year. After reconstitution, at 4°C for 1 month. It can also be aliquotted and stored frozen at -20°C for a longer time. Avoid freeze-thaw cycles.
No comments: Submit comment
Enhanced validation
- Submitted by
- LSBio (provider)
- Enhanced method
- Genetic validation
- Main image

- Experimental details
- WB of DDX4 / VASA antibody. Lane 1: Rat Testis Tissue Lysate. Lane 2: Mouse Testis Tissue Lysate. Lane 3: HELA Cell Lysate.
- Submitted by
- LSBio (provider)
- Enhanced method
- Genetic validation
- Main image

- Experimental details
- Anti-DDX4/MVH antibody, Western blotting Lane 1: Rat Testis Tissue LysateLane 2: Mouse Testis Tissue LysateLane 3: HELA Cell Lysate
- Submitted by
- LSBio (provider)
- Enhanced method
- Genetic validation
- Main image

- Experimental details
- Anti-DDX4/MVH antibody, Western blotting Lane 1: Rat Testis Tissue LysateLane 2: Mouse Testis Tissue LysateLane 3: Mouse Ovary Tissue Lysate
Supportive validation
- Submitted by
- LSBio (provider)
- Enhanced method
- Genetic validation
- Main image

- Experimental details
- DDX4 / VASA antibody. ICC: MCF-7 Cell.
- Submitted by
- LSBio (provider)
- Main image

- Experimental details
- DDX4 / VASA antibody. ICC: MCF-7 Cell.
Supportive validation
- Submitted by
- LSBio (provider)
- Enhanced method
- Genetic validation
- Main image

- Experimental details
- DDX4 / VASA antibody. IHC(P): Rat Ovary Tissue.
- Submitted by
- LSBio (provider)
- Enhanced method
- Genetic validation
- Main image

- Experimental details
- DDX4 / VASA antibody. IHC(P): Rat Testis Tissue.
- Submitted by
- LSBio (provider)
- Enhanced method
- Genetic validation
- Main image

- Experimental details
- DDX4 / VASA antibody. IHC(F): Rat Intestine Tissue.
- Submitted by
- LSBio (provider)
- Enhanced method
- Genetic validation
- Main image

- Experimental details
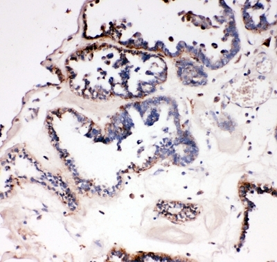
- IHC analysis of DDX4/MVH using anti-DDX4/MVH antibody. DDX4/MVH was detected in paraffin-embedded section of human ovarian cancer tissue. Heat mediated antigen retrieval was performed in citrate buffer (pH6, epitope retrieval solution) for 20 mins. The tissue section was blocked with 10% goat serum. The tissue section was then incubated with 1µg/ml rabbit anti-DDX4/MVH antibody overnight at 4°C. Biotinylated goat anti-rabbit IgG was used as secondary antibody and incubated for 30 minutes at 37°C. The tissue section was developed using Strepavidin-Biotin-Complex (SABC) with DAB as the chromogen.
- Submitted by
- LSBio (provider)
- Enhanced method
- Genetic validation
- Main image

- Experimental details
- DDX4 / VASA antibody. IHC(P): Rat Testis Tissue.
- Submitted by
- LSBio (provider)
- Enhanced method
- Genetic validation
- Main image

- Experimental details
- IHC analysis of DDX4/MVH using anti-DDX4/MVH antibody. DDX4/MVH was detected in paraffin-embedded section of human ovarian cancer tissue. Heat mediated antigen retrieval was performed in citrate buffer (pH6, epitope retrieval solution) for 20 mins. The tissue section was blocked with 10% goat serum. The tissue section was then incubated with 1µg/ml rabbit anti-DDX4/MVH antibody overnight at 4°C. Biotinylated goat anti-rabbit IgG was used as secondary antibody and incubated for 30 minutes at 37°C. The tissue section was developed using Strepavidin-Biotin-Complex (SABC) with DAB as the chromogen.
- Submitted by
- LSBio (provider)
- Enhanced method
- Genetic validation
- Main image

- Experimental details
- DDX4 / VASA antibody. IHC(P): Rat Ovary Tissue.
- Submitted by
- LSBio (provider)
- Enhanced method
- Genetic validation
- Main image

- Experimental details
- DDX4 / VASA antibody. IHC(P): Rat Testis Tissue.
- Submitted by
- LSBio (provider)
- Enhanced method
- Genetic validation
- Main image

- Experimental details
- DDX4 / VASA antibody. IHC(F): Rat Intestine Tissue.
- Submitted by
- LSBio (provider)
- Enhanced method
- Genetic validation
- Main image

- Experimental details
- IHC analysis of DDX4/MVH using anti-DDX4/MVH antibody. DDX4/MVH was detected in paraffin-embedded section of human ovarian cancer tissue. Heat mediated antigen retrieval was performed in citrate buffer (pH6, epitope retrieval solution) for 20 mins. The tissue section was blocked with 10% goat serum. The tissue section was then incubated with 1µg/ml rabbit anti-DDX4/MVH antibody overnight at 4°C. Biotinylated goat anti-rabbit IgG was used as secondary antibody and incubated for 30 minutes at 37°C. The tissue section was developed using Strepavidin-Biotin-Complex (SABC) with DAB as the chromogen.