Antibody data
- Antibody Data
- Antigen structure
- References [0]
- Comments [0]
- Validations
- Western blot [1]
- Immunohistochemistry [5]
- Flow cytometry [3]
Submit
Validation data
Reference
Comment
Report error
- Product number
- NBP2-01077 - Provider product page

- Provider
- Novus Biologicals
- Product name
- Mouse Monoclonal UBOX5 Antibody
- Antibody type
- Monoclonal
- Description
- Affinity purified.
- Reactivity
- Human
- Host
- Mouse
- Isotype
- IgG
- Vial size
- 0.1 ml
- Concentration
- 1 mg/ml
- Storage
- Store at -20C. Avoid freeze-thaw cycles.
No comments: Submit comment
Supportive validation
- Submitted by
- Novus Biologicals (provider)
- Main image

- Experimental details
- Western Blot: UBOX5 Antibody (OTI1C5) [NBP2-01077] - HEK293T cells were transfected with the pCMV6-ENTRY control (Left lane) or pCMV6-ENTRY UBOX5 (Right lane) cDNA for 48 hrs and lysed. Equivalent amounts of cell lysates (5 ug per lane) were separated by SDS-PAGE and immunoblotted with anti-UBOX5.
Supportive validation
- Submitted by
- Novus Biologicals (provider)
- Main image

- Experimental details
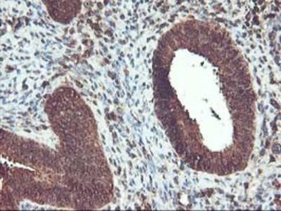
- Immunohistochemistry-Paraffin: UBOX5 Antibody (OTI1C5) [NBP2-01077] - Staining of paraffin-embedded Adenocarcinoma of Human endometrium tissue using anti-UBOX5 mouse monoclonal antibody.
- Submitted by
- Novus Biologicals (provider)
- Main image

- Experimental details
- Immunohistochemistry-Paraffin: UBOX5 Antibody (OTI1C5) [NBP2-01077] - Staining of paraffin-embedded Carcinoma of Human bladder tissue using anti-UBOX5 mouse monoclonal antibody.
- Submitted by
- Novus Biologicals (provider)
- Main image

- Experimental details
- Immunohistochemistry-Paraffin: UBOX5 Antibody (OTI1C5) [NBP2-01077] - Staining of paraffin-embedded Carcinoma of Human liver tissue using anti-UBOX5 mouse monoclonal antibody.
- Submitted by
- Novus Biologicals (provider)
- Main image

- Experimental details
- Immunohistochemistry-Paraffin: UBOX5 Antibody (OTI1C5) [NBP2-01077] - Staining of paraffin-embedded Carcinoma of Human prostate tissue using anti-UBOX5 mouse monoclonal antibody.
- Submitted by
- Novus Biologicals (provider)
- Main image

- Experimental details
- Immunohistochemistry-Paraffin: UBOX5 Antibody (OTI1C5) [NBP2-01077] - Staining of paraffin-embedded Human endometrium tissue using anti-UBOX5 mouse monoclonal antibody.
Supportive validation
- Submitted by
- Novus Biologicals (provider)
- Main image

- Experimental details
- Flow Cytometry: UBOX5 Antibody (OTI1C5) [NBP2-01077] - Analysis of Hela cells, using anti-UBOX5 antibody, (Red), compared to a nonspecific negative control antibody (Blue).
- Submitted by
- Novus Biologicals (provider)
- Main image

- Experimental details
- Flow Cytometry: UBOX5 Antibody (OTI1C5) [NBP2-01077] - Analysis of Jurkat cells, using anti-UBOX5 antibody, (Red), compared to a nonspecific negative control antibody (Blue).
- Submitted by
- Novus Biologicals (provider)
- Main image

- Experimental details
- Flow Cytometry: UBOX5 Antibody (OTI1C5) [NBP2-01077] - HEK293T cells transfected with either overexpression plasmid (Red) or empty vector control plasmid (Blue) were immunostained by anti-UBOX5 antibody, and then analyzed by flow cytometry.